扫码关注公众号           扫码咨询技术支持           扫码咨询技术服务
  
客服热线:400-901-9800  客服QQ:4009019800  技术答疑  技术支持  质量反馈  关于我们  联系我们
产品中心-北京博奥森生物技术有限公司
首页 > 产品中心 > 一抗 > 产品信息
TAF1A Rabbit pAb (bs-12894R)  
订购热线:400-901-9800
订购邮箱:sales@bioss.com.cn
订购QQ:  400-901-9800
技术支持:techsupport@bioss.com.cn
50ul/1180.00元
100ul/1980.00元
200ul/2800.00元
大包装/询价

产品编号 bs-12894R
英文名称 TAF1A Rabbit pAb
中文名称 TATA盒结合蛋白相关因子TAF1A抗体
别    名 TAF1 48; MGC:17061; RAFI48; RNA polymerase I-specific TBP-associated factor 48 kDa; SL1 48kD subunit; SL1; Taf1a; TAF1A_HUMAN; TAFI48; TATA box binding protein(TBP) associated factor RNA polymerase I, A 48kDa; TATA box binding protein(Tbp)-associated factor, RNA polymerase I, A; TATA box binding protein associated factor 1A; TATA box binding protein associated factor RNA polymerase I subunit A; TATA box-binding protein-associated factor 1A; TATA box-binding protein-associated factor RNA polymerase I subunit A; TBP associated factor RNA polymerase I 48 kDa; TBP-associated factor 1A; Transcription factor SL1; Transcription initiation factor SL1/TIF-IB subunit A.  
研究领域 转录调节因子  表观遗传学  
抗体来源 Rabbit
克隆类型 Polyclonal
克 隆 号
交叉反应 Human,Mouse,Rat
产品应用 WB=1:500-2000,IHC-P=1:100-500,IHC-F=1:100-500,IF=1:100-500
not yet tested in other applications.
optimal dilutions/concentrations should be determined by the end user.
理论分子量 53 kDa
检测分子量
细胞定位 细胞核 
性    状 Liquid
浓    度 1mg/ml
免 疫 原 KLH conjugated synthetic peptide derived from human TAF1A: 21-120/450 
亚    型 IgG
纯化方法 affinity purified by Protein A
缓 冲 液 0.01M TBS (pH7.4) with 1% BSA, 0.02% Proclin300 and 50% Glycerol.
保存条件 Shipped at 4℃. Store at -20℃ for one year. Avoid repeated freeze/thaw cycles.
注意事项 This product as supplied is intended for research use only, not for use in human, therapeutic or diagnostic applications.
PubMed PubMed
产品介绍 This gene encodes a subunit of the RNA polymerase I complex, Selectivity Factor I (SLI). The encoded protein is a TATA box-binding protein-associated factor that plays a role in the assembly of the RNA polymerase I preinitiation complex. Alternate splicing results in multiple transcript variants encoding multiple isoforms.[provided by RefSeq, Jan 2011]

Function:
Component of the transcription factor SL1/TIF-IB complex, which is involved in the assembly of the PIC (preinitiation complex) during RNA polymerase I-dependent transcription. The rate of PIC formation probably is primarily dependent on the rate of association of SL1/TIF-IB with the rDNA promoter. SL1/TIF-IB is involved in stabilization of nucleolar transcription factor 1/UBTF on rDNA. Formation of SL1/TIF-IB excludes the association of TBP with TFIID subunits.

Subunit:
Component of the transcription factor SL1/TIF-IB complex, composed of TBP and at least TAF1A, TAF1B, TAF1C and TAF1D. In the complex interacts directly with TBP, TAF1A and TAF1B. Interaction of the SL1/TIF-IB subunits with TBP excludes interaction of TBP with the transcription factor IID (TFIID) subunits. Interacts with UBFT.

Subcellular Location:
Nucleus

SWISS:
Q15573

Gene ID:
9015

Database links:

Entrez Gene: 9015 Human

Entrez Gene: 21339 Mouse

Omim: 604903 Human

SwissProt: Q15573 Human

SwissProt: P97357 Mouse

Unigene: 153088 Human

Unigene: 383556 Mouse



产品图片
Sample: U2OS Cell Lysate at 40 ug Hela Cell Lysate at 40 ug Primary: Anti-TAF1A (bs-12894R) at 1/300 dilution Secondary: IRDye800CW Goat Anti-Rabbit IgG at 1/20000 dilution Predicted band size: 53 kD Observed band size: 53 kD
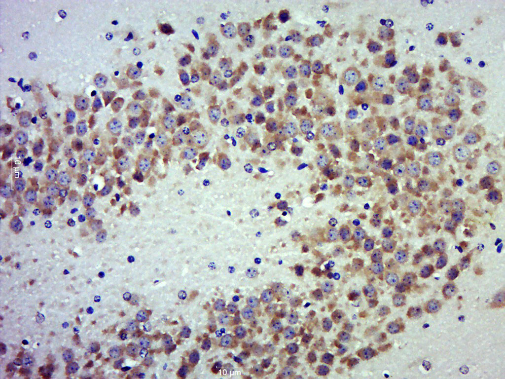
Paraformaldehyde-fixed, paraffin embedded (Mouse brain); Antigen retrieval by boiling in sodium citrate buffer (pH6.0) for 15min; Block endogenous peroxidase by 3% hydrogen peroxide for 20 minutes; Blocking buffer (normal goat serum) at 37°C for 30min; Antibody incubation with (TAF1A) Polyclonal Antibody, Unconjugated (bs-12894R) at 1:500 overnight at 4°C, followed by a conjugated secondary (sp-0023) for 20 minutes and DAB staining.
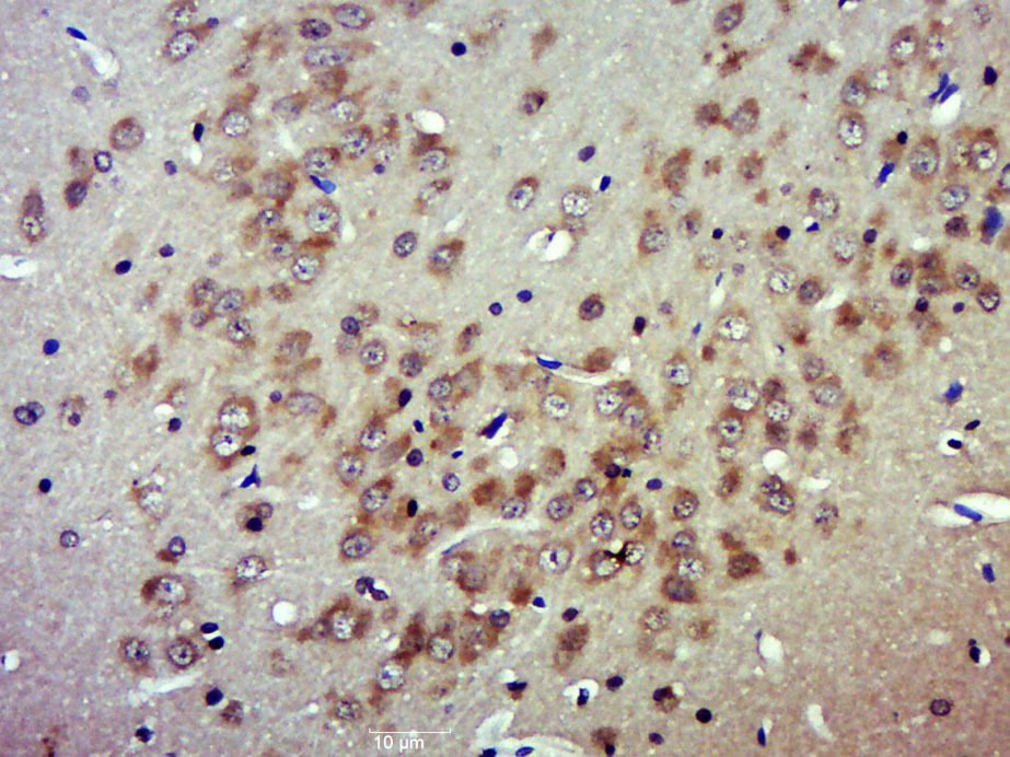
Paraformaldehyde-fixed, paraffin embedded (Rat brain); Antigen retrieval by boiling in sodium citrate buffer (pH6.0) for 15min; Block endogenous peroxidase by 3% hydrogen peroxide for 20 minutes; Blocking buffer (normal goat serum) at 37°C for 30min; Antibody incubation with (TAF1A) Polyclonal Antibody, Unconjugated (bs-12894R) at 1:500 overnight at 4°C, followed by a conjugated secondary (sp-0023) for 20 minutes and DAB staining.
版权所有 2004-2026 www.bioss.com.cn 北京博奥森生物技术有限公司
通过国际质量管理体系ISO 9001:2015 GB/T 19001-2016    证书编号: 00124Q34771R2M/1100
通过国际医疗器械-质量管理体系ISO 13485:2016 GB/T 42061-2022     证书编号: CQC24QY20047R0M/1100
京ICP备05066980号-1         京公网安备110107000727号