扫码关注公众号           扫码咨询技术支持           扫码咨询技术服务
  
客服热线:400-901-9800  客服QQ:4009019800  技术答疑  技术支持  质量反馈  人才招聘  关于我们  联系我们
产品中心-北京博奥森生物技术有限公司
首页 > 产品中心 > 一抗 > 产品信息
SNRNP200 Rabbit pAb (bs-12657R)  
订购热线:400-901-9800
订购邮箱:sales@bioss.com.cn
订购QQ:  400-901-9800
技术支持:techsupport@bioss.com.cn
50ul/1180.00元
100ul/1980.00元
200ul/2800.00元
大包装/询价

产品编号 bs-12657R
英文名称 SNRNP200 Rabbit pAb
中文名称 SNRNP200蛋白抗体
别    名 ASCC3L1; BRR2; HELIC2; RP33; U5-200KD; A330064G03Rik; U5-200-KD; U520_HUMAN; SNRNP200; Activating signal cointegrator 1 complex subunit 3-like 1; BRR2 homolog; U5 snRNP-specific 200 kDa protein (U5-200KD); 3.6.4.13; KIAA0788; U520_MOUSE; U520_RAT;   
研究领域 细胞生物  表观遗传学  
抗体来源 Rabbit
克隆类型 Polyclonal
克 隆 号
交叉反应 Mouse,Rat (predicted: Human)
产品应用 IHC-P=1:100-500,IHC-F=1:100-500,IF=1:100-500
not yet tested in other applications.
optimal dilutions/concentrations should be determined by the end user.
理论分子量 244 kDa
细胞定位 细胞核 
性    状 Liquid
浓    度 1mg/ml
免 疫 原 KLH conjugated synthetic peptide derived from human SNRNP200: 801-900/2136 
亚    型 IgG
纯化方法 affinity purified by Protein A
缓 冲 液 0.01M TBS (pH7.4) with 1% BSA, 0.02% Proclin300 and 50% Glycerol.
保存条件 Shipped at 4℃. Store at -20℃ for one year. Avoid repeated freeze/thaw cycles.
注意事项 This product as supplied is intended for research use only, not for use in human, therapeutic or diagnostic applications.
PubMed PubMed
产品介绍 Pre-mRNA splicing is catalyzed by the spliceosome, a complex of specialized RNA and protein subunits that removes introns from a transcribed pre-mRNA segment. The spliceosome consists of small nuclear RNA proteins (snRNPs) U1, U2, U4, U5 and U6, together with approximately 80 conserved proteins. U5 snRNP contains nine specific proteins. This gene encodes one of the U5 snRNP-specific proteins. This protein belongs to the DEXH-box family of putative RNA helicases. It is a core component of U4/U6-U5 snRNPs and appears to catalyze an ATP-dependent unwinding of U4/U6 RNA duplices. Mutations in this gene cause autosomal-dominant retinitis pigmentosa. Alternatively spliced transcript variants encoding different isoforms have been found, but the full-length nature of these variants has not been determined. [provided by RefSeq, Mar 2010]

Function:
Putative RNA helicase involved in the second step of RNA splicing. May promote one or more conformational changes in the dynamic network of RNA-RNA interactions in the spliceosome. Appears to catalyze an ATP-dependent unwinding of U4/U6 RNA duplices.

Subcellular Location:
Nucleus.

Tissue Specificity:
Widely expressed.

DISEASE:
Defects in SNRNP200 are the cause of retinitis pigmentosa type 33 (RP33) [MIM:610359]. It is a retinal dystrophy belonging to the group of pigmentary retinopathies. Retinitis pigmentosa is characterized by retinal pigment deposits visible on fundus examination and primary loss of rod photoreceptor cells followed by secondary loss of cone photoreceptors. Patients typically have night vision blindness and loss of midperipheral visual field. As their condition progresses, they lose their far peripheral visual field and eventually central vision as well.

Similarity:
Belongs to the helicase family. SKI2 subfamily.
Contains 2 helicase ATP-binding domains.
Contains 2 helicase C-terminal domains.
Contains 2 SEC63 domains.

SWISS:
O75643

Gene ID:
23020

Database links:

Entrez Gene: 23020 Human

Entrez Gene: 320632 Mouse

Entrez Gene: 296126 Rat

Omim: 601664 Human

SwissProt: O75643 Human

SwissProt: Q6P4T2 Mouse

SwissProt: F1LNJ2 Rat

Unigene: 246112 Human



产品图片
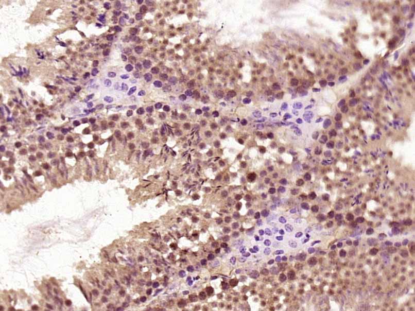
Paraformaldehyde-fixed, paraffin embedded (Mouse testis); Antigen retrieval by boiling in sodium citrate buffer (pH6.0) for 15min; Block endogenous peroxidase by 3% hydrogen peroxide for 20 minutes; Blocking buffer (normal goat serum) at 37°C for 30min; Antibody incubation with (SNRNP200) Polyclonal Antibody, Unconjugated (bs-12657R) at 1:400 overnight at 4°C, followed by operating according to SP Kit(Rabbit) (sp-0023) instructionsand DAB staining.
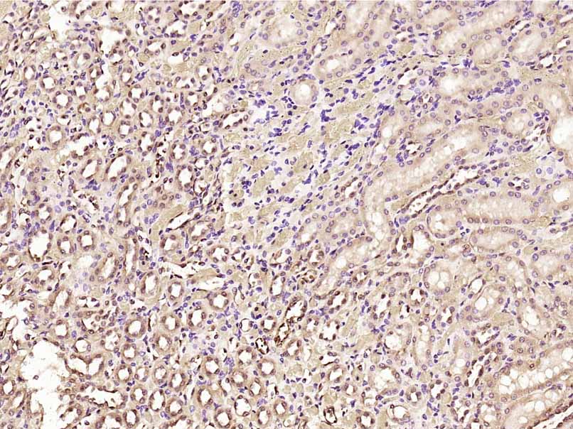
Paraformaldehyde-fixed, paraffin embedded (Rat kidney); Antigen retrieval by boiling in sodium citrate buffer (pH6.0) for 15min; Block endogenous peroxidase by 3% hydrogen peroxide for 20 minutes; Blocking buffer (normal goat serum) at 37°C for 30min; Antibody incubation with (SNRNP200) Polyclonal Antibody, Unconjugated (bs-12657R) at 1:400 overnight at 4°C, followed by operating according to SP Kit(Rabbit) (sp-0023) instructionsand DAB staining.
版权所有 2004-2026 www.bioss.com.cn 北京博奥森生物技术有限公司
通过国际质量管理体系ISO 9001:2015 GB/T 19001-2016    证书编号: 00124Q34771R2M/1100
通过国际医疗器械-质量管理体系ISO 13485:2016 GB/T 42061-2022     证书编号: CQC24QY20047R0M/1100
京ICP备05066980号-1         京公网安备110107000727号