扫码关注公众号           扫码咨询技术支持           扫码咨询技术服务
  
客服热线:400-901-9800  客服QQ:4009019800  技术答疑  技术支持  质量反馈  关于我们  联系我们
产品中心-北京博奥森生物技术有限公司
首页 > 产品中心 > 一抗 > 产品信息
PEX14 Rabbit pAb (bs-12621R)  
订购热线:400-901-9800
订购邮箱:sales@bioss.com.cn
订购QQ:  400-901-9800
技术支持:techsupport@bioss.com.cn
50ul/1180.00元
100ul/1980.00元
200ul/2800.00元
大包装/询价

产品编号 bs-12621R
英文名称 PEX14 Rabbit pAb
中文名称 过氧化物酶体生物合成因子14抗体
别    名 dJ734G22.2; NAPP2; NF E2 associated polypeptide 2; Peroxin 14; Peroxin-14; Peroxisomal biogenesis factor 14; Peroxisomal membrane anchor protein PEX14; Peroxisomal membrane anchor protein Pex14p; Peroxisomal membrane protein PEX14; pex14; PEX14_HUMAN; Pex14p; PTS1 receptor docking protein; PTS1 receptor-docking protein.  
研究领域 细胞生物  转录调节因子  表观遗传学  
抗体来源 Rabbit
克隆类型 Polyclonal
克 隆 号
交叉反应 Rat (predicted: Human,Mouse,Rabbit,Sheep,Cow,Chicken,Dog,Horse)
产品应用 IHC-P=1:100-500,IHC-F=1:100-500,IF=1:100-500
not yet tested in other applications.
optimal dilutions/concentrations should be determined by the end user.
理论分子量 41 kDa
检测分子量
细胞定位 细胞浆 细胞膜 
性    状 Liquid
浓    度 1mg/ml
免 疫 原 KLH conjugated synthetic peptide derived from human PEX14: 151-250/377 
亚    型 IgG
纯化方法 affinity purified by Protein A
缓 冲 液 0.01M TBS (pH7.4) with 1% BSA, 0.02% Proclin300 and 50% Glycerol.
保存条件 Shipped at 4℃. Store at -20℃ for one year. Avoid repeated freeze/thaw cycles.
注意事项 This product as supplied is intended for research use only, not for use in human, therapeutic or diagnostic applications.
PubMed PubMed
产品介绍 This gene encodes an essential component of the peroxisomal import machinery. The protein is integrated into peroxisome membranes with its C-terminus exposed to the cytosol, and interacts with the cytosolic receptor for proteins containing a PTS1 peroxisomal targeting signal. The protein also functions as a transcriptional corepressor and interacts with a histone deacetylase. A mutation in this gene results in one form of Zellweger syndrome. [provided by RefSeq, Jul 2008]

Function:
Component of the peroxisomal translocation machinery with PEX13 and PEX17. Interacts with both the PTS1 and PTS2 receptors. Binds directly to PEX17.

Subcellular Location:
Peroxisome membrane.

DISEASE:
Defects in PEX14 are the cause of peroxisome biogenesis disorder complementation group K (PBD-CGK) [MIM:601791]. PBD-CGK is a peroxisomal disorder arising from a failure of protein import into the peroxisomal membrane or matrix. The peroxisome biogenesis disorders (PBD group) are genetically heterogeneous with at least 14 distinct genetic groups as concluded from complementation studies. Include disorders are: Zellweger syndrome (ZWS), neonatal adrenoleukodystrophy (NALD), infantile Refsum disease (IRD), and classical rhizomelic chondrodysplasia punctata (RCDP). ZWS, NALD and IRD are distinct from RCDP and constitute a clinical continuum of overlapping phenotypes known as the Zellweger spectrum (PBD-ZSS). Defects in PEX14 are a cause of Zellweger syndrome (ZWS) [MIM:214100]. ZWS is a fatal peroxisome biogenesis disorder characterized by dysmorphic facial features, hepatomegaly, ocular abnormalities, renal cysts, hearing impairment, profound psychomotor retardation, severe hypotonia and neonatal seizures. Death occurs within the first year of life.

Similarity:
Belongs to the peroxin-14 family.

SWISS:
O75381

Gene ID:
5195

Database links:

Entrez Gene: 5195 Human

Entrez Gene: 56273 Mouse

Entrez Gene: 64460 Rat

Omim: 601791 Human

SwissProt: O75381 Human

SwissProt: Q9R0A0 Mouse

SwissProt: Q642G4 Rat

Unigene: 149983 Human

Unigene: 184172 Mouse

Unigene: 7844 Rat



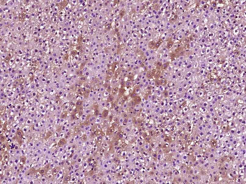
产品图片
Paraformaldehyde-fixed, paraffin embedded (Rat liver); Antigen retrieval by boiling in sodium citrate buffer (pH6.0) for 15min; Block endogenous peroxidase by 3% hydrogen peroxide for 20 minutes; Blocking buffer (normal goat serum) at 37°C for 30min; Antibody incubation with (PEX14) Polyclonal Antibody, Unconjugated (bs-12621R) at 1:400 overnight at 4°C, followed by operating according to SP Kit(Rabbit) (sp-0023) instructionsand DAB staining.
版权所有 2004-2026 www.bioss.com.cn 北京博奥森生物技术有限公司
通过国际质量管理体系ISO 9001:2015 GB/T 19001-2016    证书编号: 00124Q34771R2M/1100
通过国际医疗器械-质量管理体系ISO 13485:2016 GB/T 42061-2022     证书编号: CQC24QY20047R0M/1100
京ICP备05066980号-1         京公网安备110107000727号