扫码关注公众号           扫码咨询技术支持           扫码咨询技术服务
  
客服热线:400-901-9800  客服QQ:4009019800  技术答疑  技术支持  质量反馈  人才招聘  关于我们  联系我们
产品中心-北京博奥森生物技术有限公司
首页 > 产品中心 > 一抗 > 产品信息
PDE1A Rabbit pAb (bs-9967R)  
订购热线:400-901-9800
订购邮箱:sales@bioss.com.cn
订购QQ:  400-901-9800
技术支持:techsupport@bioss.com.cn
50ul/1180.00元
100ul/1980.00元
200ul/2800.00元
大包装/询价

产品编号 bs-9967R
英文名称 PDE1A Rabbit pAb
中文名称 磷酸二酯酶1A抗体
别    名 PDE1; CAM-PDE 1A; CAM-PDE-1A; HCAM-1; HCAM1; HSPDE1A; 3'-RACEclone8phosphodiesterase1A; 3-RACEclone8phosphodiesterase1A; PDE1A_BOVIN; PDE1A; 61 kDa Cam-PDE; 3.1.4.17; PDE1A_HUMAN; PDE1A_MOUSE;   
研究领域 细胞生物  信号转导  
抗体来源 Rabbit
克隆类型 Polyclonal
克 隆 号
交叉反应 Human,Mouse,Rat (predicted: Rabbit,Pig,Sheep,Cow,Dog,Horse)
产品应用 WB=1:500-2000,IHC-P=1:100-500,IHC-F=1:100-500,IF=1:100-500
not yet tested in other applications.
optimal dilutions/concentrations should be determined by the end user.
理论分子量 61 kDa
细胞定位 细胞核 细胞浆 
性    状 Liquid
浓    度 1mg/ml
免 疫 原 KLH conjugated synthetic peptide derived from human PDE1A: 451-535/535 
亚    型 IgG
纯化方法 affinity purified by Protein A
缓 冲 液 0.01M TBS (pH7.4) with 1% BSA, 0.02% Proclin300 and 50% Glycerol.
保存条件 Shipped at 4℃. Store at -20℃ for one year. Avoid repeated freeze/thaw cycles.
注意事项 This product as supplied is intended for research use only, not for use in human, therapeutic or diagnostic applications.
PubMed PubMed
产品介绍 Cyclic nucleotide phosphodiesterases (PDEs) play a role in signal transduction by regulating intracellular cyclic nucleotide concentrations through hydrolysis of cAMP and/or cGMP to their respective nucleoside 5-prime monophosphates. Members of the PDE1 family, such as PDE1A, are Ca(2+)/calmodulin (see CALM1; MIM 114180)-dependent PDEs (CaM-PDEs) that are activated by calmodulin in the presence of Ca(2+) (Michibata et al., 2001 [PubMed 11342109]; Fidock et al., 2002 [PubMed 11747989]).[supplied by OMIM, Oct 2009]

Function:
Cyclic nucleotide phosphodiesterase with a dual-specificity for the second messengers cAMP and cGMP, which are key regulators of many important physiological processes. Has a higher affinity for cGMP than for cAMP.

Tissue Specificity:
Several tissues, including brain, kidney, testes and heart.

Similarity:
Belongs to the cyclic nucleotide phosphodiesterase family. PDE1 subfamily.

SWISS:
P54750

Gene ID:
5136

Database links:

Entrez Gene: 281969 Cow

Entrez Gene: 403652 Dog

Entrez Gene: 5136 Human

Entrez Gene: 18573 Mouse

Entrez Gene: 81529 Rat

GenBank: NP_005010.2 Human

Omim: 171890 Human

SwissProt: P14100 Cow

SwissProt: P54750 Human

SwissProt: Q61481 Mouse

Unigene: 191046 Human

Unigene: 680373 Human

Unigene: 40678 Mouse

Unigene: 204552 Rat



产品图片
Sample: A431(Human) Cell Lysate at 30 ug Primary: Anti-PDE1A  (bs-9967R) at 1/1000 dilution Secondary: IRDye800CW Goat Anti-Rabbit IgG at 1/20000 dilution Predicted band size: 61 kD Observed band size: 61 kD
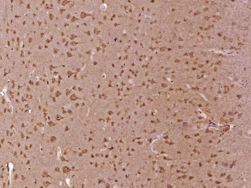
Paraformaldehyde-fixed, paraffin embedded (Mouse brain); Antigen retrieval by boiling in sodium citrate buffer (pH6.0) for 15min; Block endogenous peroxidase by 3% hydrogen peroxide for 20 minutes; Blocking buffer (normal goat serum) at 37°C for 30min; Antibody incubation with (PDE1A) Polyclonal Antibody, Unconjugated (bs-9967R) at 1:400 overnight at 4°C, followed by operating according to SP Kit(Rabbit) (sp-0023) instructionsand DAB staining.
Paraformaldehyde-fixed, paraffin embedded (Rat kidney); Antigen retrieval by boiling in sodium citrate buffer (pH6.0) for 15min; Block endogenous peroxidase by 3% hydrogen peroxide for 20 minutes; Blocking buffer (normal goat serum) at 37°C for 30min; Antibody incubation with (PDE1A) Polyclonal Antibody, Unconjugated (bs-9967R) at 1:400 overnight at 4°C, followed by operating according to SP Kit(Rabbit) (sp-0023) instructionsand DAB staining.
版权所有 2004-2026 www.bioss.com.cn 北京博奥森生物技术有限公司
通过国际质量管理体系ISO 9001:2015 GB/T 19001-2016    证书编号: 00124Q34771R2M/1100
通过国际医疗器械-质量管理体系ISO 13485:2016 GB/T 42061-2022     证书编号: CQC24QY20047R0M/1100
京ICP备05066980号-1         京公网安备110107000727号