扫码关注公众号           扫码咨询技术支持           扫码咨询技术服务
  
客服热线:400-901-9800  客服QQ:4009019800  技术答疑  技术支持  质量反馈  关于我们  联系我们
产品中心-北京博奥森生物技术有限公司
首页 > 产品中心 > 一抗 > 产品信息
PAPD4 Rabbit pAb (bs-21076R)  
订购热线:400-901-9800
订购邮箱:sales@bioss.com.cn
订购QQ:  400-901-9800
技术支持:techsupport@bioss.com.cn
50ul/1180.00元
100ul/1980.00元
200ul/2800.00元
大包装/询价

产品编号 bs-21076R
英文名称 PAPD4 Rabbit pAb
中文名称 PAP相关结构域蛋白4抗体
别    名 8030446C20Rik; AI649009; FLJ38499; GLD 2; Gld2; GLD2_HUMAN; hGLD 2; hGLD-2; MGC93684; PAD 4; PAP associated domain containing 4; PAP-associated domain-containing protein 4; papd4; Poly(A) RNA polymerase GLD2; Terminal uridylyltransferase 2; TUTase 2.  
研究领域 细胞生物  表观遗传学  
抗体来源 Rabbit
克隆类型 Polyclonal
克 隆 号
交叉反应 Mouse,Rat (predicted: Human,Rabbit,Pig,Sheep,Cow,Dog,Horse)
产品应用 IHC-P=1:100-500,IHC-F=1:100-500,IF=1:100-500
not yet tested in other applications.
optimal dilutions/concentrations should be determined by the end user.
理论分子量 56 kDa
检测分子量
细胞定位 细胞核 细胞浆 
性    状 Liquid
浓    度 1mg/ml
免 疫 原 KLH conjugated synthetic peptide derived from human PAPD4: 31-130/484 
亚    型 IgG
纯化方法 affinity purified by Protein A
缓 冲 液 0.01M TBS (pH7.4) with 1% BSA, 0.02% Proclin300 and 50% Glycerol.
保存条件 Shipped at 4℃. Store at -20℃ for one year. Avoid repeated freeze/thaw cycles.
注意事项 This product as supplied is intended for research use only, not for use in human, therapeutic or diagnostic applications.
PubMed PubMed
产品介绍 PAPD4 (Poly(A) RNA Polymerase D4, Non-Canonical) is a Protein Coding gene. GO annotations related to this gene include polynucleotide adenylyltransferase activity. An important paralog of this gene is ZCCHC6.

Function:
Cytoplasmic poly(A) RNA polymerase that adds successive AMP monomers to the 3'-end of specific RNAs, forming a poly(A) tail. In contrast to the canonical nuclear poly(A) RNA polymerase, it only adds poly(A) to selected cytoplasmic mRNAs. Does not play a role in replication-dependent histone mRNA degradation.

Subcellular Location:
Cytoplasm. Nucleus.

Tissue Specificity:
Expressed in brain. Within brain, it is expressed in cerebellum, hippocampus and medulla.

Similarity:
Belongs to the DNA polymerase type-B-like family. GLD2 subfamily.
Contains 1 PAP-associated domain.

SWISS:
Q6PIY7

Gene ID:
167153

Database links:

Entrez Gene: 167153 Human

Entrez Gene: 100715 Mouse

GenBank: BC026061 Human

SwissProt: Q6PIY7 Human

SwissProt: Q91YI6 Mouse

Unigene: 418198 Human

Unigene: 242865 Mouse



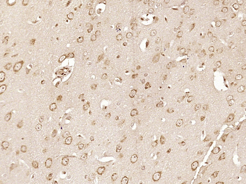
产品图片
Paraformaldehyde-fixed, paraffin embedded (Mouse brain); Antigen retrieval by boiling in sodium citrate buffer (pH6.0) for 15min; Block endogenous peroxidase by 3% hydrogen peroxide for 20 minutes; Blocking buffer (normal goat serum) at 37°C for 30min; Antibody incubation with (PAPD4) Polyclonal Antibody, Unconjugated (bs-21076R) at 1:400 overnight at 4°C, followed by operating according to SP Kit(Rabbit) (sp-0023) instructionsand DAB staining.
Paraformaldehyde-fixed, paraffin embedded (Rat brain); Antigen retrieval by boiling in sodium citrate buffer (pH6.0) for 15min; Block endogenous peroxidase by 3% hydrogen peroxide for 20 minutes; Blocking buffer (normal goat serum) at 37°C for 30min; Antibody incubation with (PAPD4) Polyclonal Antibody, Unconjugated (bs-21076R) at 1:400 overnight at 4°C, followed by operating according to SP Kit(Rabbit) (sp-0023) instructionsand DAB staining.
版权所有 2004-2026 www.bioss.com.cn 北京博奥森生物技术有限公司
通过国际质量管理体系ISO 9001:2015 GB/T 19001-2016    证书编号: 00124Q34771R2M/1100
通过国际医疗器械-质量管理体系ISO 13485:2016 GB/T 42061-2022     证书编号: CQC24QY20047R0M/1100
京ICP备05066980号-1         京公网安备110107000727号