扫码关注公众号           扫码咨询技术支持           扫码咨询技术服务
  
客服热线:400-901-9800  客服QQ:4009019800  技术答疑  技术支持  质量反馈  关于我们  联系我们
产品中心-北京博奥森生物技术有限公司
首页 > 产品中心 > 一抗 > 产品信息
PACSIN2 Rabbit pAb (bs-19998R)  
订购热线:400-901-9800
订购邮箱:sales@bioss.com.cn
订购QQ:  400-901-9800
技术支持:techsupport@bioss.com.cn
50ul/1180.00元
100ul/1980.00元
200ul/2800.00元
大包装/询价

产品编号 bs-19998R
英文名称 PACSIN2 Rabbit pAb
中文名称 胞浆磷蛋白PACSIN2抗体
别    名 cytoplasmic phosphoprotein PACSIN2; Moderately similar to h74 gene product; OTTHUMP00000198281; OTTHUMP00000198282; OTTHUMP00000198283; OTTHUMP00000198284; PACN2_HUMAN; Pacsin2; protein kinase C and casein kinase substrate in neurons 2; protein kinase C and casein kinase substrate in neurons 2; Protein kinase C and casein kinase substrate in neurons protein 2; Protein kinase C and casein kinase substrate in neurons protein; SDP II; SDPII; Syndapin II.  
研究领域 细胞生物  神经生物学  信号转导  
抗体来源 Rabbit
克隆类型 Polyclonal
克 隆 号
交叉反应 Mouse,Rat (predicted: Human,Rabbit,Pig,Sheep,Cow,Dog,Horse)
产品应用 WB=1:500-2000,IHC-P=1:100-500,IHC-F=1:100-500,IF=1:100-500
not yet tested in other applications.
optimal dilutions/concentrations should be determined by the end user.
理论分子量 56 kDa
检测分子量
细胞定位 细胞浆 
性    状 Liquid
浓    度 1mg/ml
免 疫 原 KLH conjugated synthetic peptide derived from human PACSIN2: 331-430/486 
亚    型 IgG
纯化方法 affinity purified by Protein A
缓 冲 液 0.01M TBS (pH7.4) with 1% BSA, 0.02% Proclin300 and 50% Glycerol.
保存条件 Shipped at 4℃. Store at -20℃ for one year. Avoid repeated freeze/thaw cycles.
注意事项 This product as supplied is intended for research use only, not for use in human, therapeutic or diagnostic applications.
PubMed PubMed
产品介绍 This gene is a member of the protein kinase C and casein kinase substrate in neurons family. The encoded protein is involved in linking the actin cytoskeleton with vesicle formation by regulating tubulin polymerization. Alternative splicing results in multiple transcript variants. [provided by RefSeq, May 2010]

Function:
May play a role in vesicle formation and transport.

Subunit:
Homodimer. May form heterooligomers with other PACSINs.Interacts (via NPF motifs) with EHD1 (via EH domain). Interacts with EHD3. Interacts (via the SH3 domain) with MICALL1. Interacts with RAC1. Interacts (via SH3 domain) with DNM1, SYN1, SYNJ1 and WASL. Interacts with CAV1. Interacts with TRPV4.

Subcellular Location:
Cytoplasmic vesicle. Vesicle-like cytoplasmic distribution.

Tissue Specificity:
Ubiquitously expressed.

Post-translational modifications:
Phosphorylated by casein kinase 2 (CK2) and protein kinase C (PKC).

Similarity:
Belongs to the PACSIN family.
Contains 1 FCH domain.
Contains 1 SH3 domain.

SWISS:
Q9UNF0

Gene ID:
11252

Database links:

Entrez Gene: 11252 Human

Entrez Gene: 23970 Mouse

Omim: 604960 Human

SwissProt: Q9UNF0 Human

SwissProt: Q9WVE8 Mouse

Unigene: 162877 Human

Unigene: 23978 Mouse



产品图片
Sample: Lung (mouse) Lysate at 40 ug Primary: Anti-PACSIN2 (bs-19998R)at 1/300 dilution Secondary: IRDye800CW Goat Anti-Rabbit IgG at 1/20000 dilution Predicted band size: 56kD Observed band size: 56kD
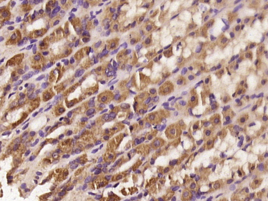
Paraformaldehyde-fixed, paraffin embedded (rat testis tissue); Antigen retrieval by boiling in sodium citrate buffer (pH6.0) for 15min; Block endogenous peroxidase by 3% hydrogen peroxide for 20 minutes; Blocking buffer (normal goat serum) at 37°C for 30min; Antibody incubation with (PACSIN2) Polyclonal Antibody, Unconjugated (bs-19998R) at 1:400 overnight at 4°C, followed by operating according to SP Kit(Rabbit) (sp-0023) instructionsand DAB staining.
Paraformaldehyde-fixed, paraffin embedded (rat stomach tissue); Antigen retrieval by boiling in sodium citrate buffer (pH6.0) for 15min; Block endogenous peroxidase by 3% hydrogen peroxide for 20 minutes; Blocking buffer (normal goat serum) at 37°C for 30min; Antibody incubation with (PACSIN2) Polyclonal Antibody, Unconjugated (bs-19998R) at 1:400 overnight at 4°C, followed by operating according to SP Kit(Rabbit) (sp-0023) instructionsand DAB staining.
版权所有 2004-2026 www.bioss.com.cn 北京博奥森生物技术有限公司
通过国际质量管理体系ISO 9001:2015 GB/T 19001-2016    证书编号: 00124Q34771R2M/1100
通过国际医疗器械-质量管理体系ISO 13485:2016 GB/T 42061-2022    证书编号: CQC24QY10047R0M/1100
京ICP备05066980号-1         京公网安备110107000727号