扫码关注公众号           扫码咨询技术支持           扫码咨询技术服务
  
客服热线:400-901-9800  客服QQ:4009019800  技术答疑  技术支持  质量反馈  关于我们  联系我们
产品中心-北京博奥森生物技术有限公司
首页 > 产品中心 > 一抗 > 产品信息
PPP3CC Rabbit pAb (bs-19973R)  
订购热线:400-901-9800
订购邮箱:sales@bioss.com.cn
订购QQ:  400-901-9800
技术支持:techsupport@bioss.com.cn
50ul/1180.00元
100ul/1980.00元
200ul/2800.00元
大包装/询价

产品编号 bs-19973R
英文名称 PPP3CC Rabbit pAb
中文名称 蛋白磷酸酶3调节亚基C抗体
别    名 calcineurin A gamma; CALCINEURIN A3; Calcineurin; Calcineurin testis specific catalytic subunit; Calmodulin dependent calcineurin A subunit gamma isoform; Calmodulin-dependent calcineurin A subunit gamma isoform; CALNA3; CAM PRP catalytic subunit; CAM-PRP catalytic subunit; CNA3; pp2b gamma; ; PP2BC_HUMAN; PP2Bgamma; ; PPP3CC; protein phosphatase 3(formerly 2B) catalytic subunit gamma isoform(calcineurin A gamma); protein phosphatase 3(formerly 2B) catalytic subunit gamma isoform; Serine/threonine-protein phosphatase 2B catalytic subunit gamma isoform; testis-specific catalytic subunit.  
Specific References  (1)     |     bs-19973R has been referenced in 1 publications.
[IF=3.509] Xin Shan. et al. Proteomic analysis of healthy and atretic porcine follicular granulosa cells. J Proteomics. 2021 Feb;232:104027  WB ;  Pig.  
研究领域 细胞生物  信号转导  激酶和磷酸酶  
抗体来源 Rabbit
克隆类型 Polyclonal
克 隆 号
交叉反应 Human,Mouse,Rat (predicted: Rabbit,Pig,Sheep,Cow,Dog,Horse)
产品应用 WB=1:500-2000,IHC-P=1:100-500,IHC-F=1:100-500,IF=1:100-500
not yet tested in other applications.
optimal dilutions/concentrations should be determined by the end user.
理论分子量 58 kDa
检测分子量
细胞定位 细胞浆 
性    状 Liquid
浓    度 1mg/ml
免 疫 原 KLH conjugated synthetic peptide derived from human PPP3CC: 51-150/512 
亚    型 IgG
纯化方法 affinity purified by Protein A
缓 冲 液 0.01M TBS (pH7.4) with 1% BSA, 0.02% Proclin300 and 50% Glycerol.
保存条件 Shipped at 4℃. Store at -20℃ for one year. Avoid repeated freeze/thaw cycles.
注意事项 This product as supplied is intended for research use only, not for use in human, therapeutic or diagnostic applications.
PubMed PubMed
产品介绍 Calcineurin is a calcium-dependent, calmodulin-stimulated protein phosphatase involved in the downstream regulation of dopaminergic signal transduction. Calcineurin is composed of a regulatory subunit and a catalytic subunit. The protein encoded by this gene represents one of the regulatory subunits that has been found for calcineurin. Three transcript variants encoding different isoforms have been found for this gene. [provided by RefSeq, Sep 2011]

Function:
Calcium-dependent, calmodulin-stimulated protein phosphatase. This subunit may have a role in the calmodulin activation of calcineurin.

Subunit:
Composed of two components (A and B), the A component is the catalytic subunit and the B component confers calcium sensitivity.

Tissue Specificity:
Testis.

Similarity:
Belongs to the PPP phosphatase family. PP-2B subfamily.

SWISS:
P48454

Gene ID:
5533

Database links:

Entrez Gene: 5533 Human

Entrez Gene: 19057 Mouse

Entrez Gene: 171378 Rat

Omim: 114107 Human

SwissProt: P48454 Human

SwissProt: P48455 Mouse

Unigene: 728861 Human

Unigene: 731683 Human

Unigene: 439683 Mouse



产品图片
Sample: Testis(Mouse)Lysate at 40 ug Primary: Anti-PPP3CC(bs-19973R)at 1/300 dilution Secondary: IRDye800CW Goat Anti-RabbitIgG at 1/20000 dilution Predicted band size: 58kD Observed band size: 58kD
Sample: Hela(Human) Cell Lysate at 40 ug Primary: Anti-PPP3CC (bs-19973R) at 1/300 dilution Secondary: IRDye800CW Goat Anti-Rabbit IgG at 1/20000 dilution Predicted band size: 58 kD Observed band size: 58 kD
Sample: DU145(Human) Cell Lysate at 40 ug Primary: Anti-PPP3CC (bs-19973R) at 1/300 dilution Secondary: IRDye800CW Goat Anti-Rabbit IgG at 1/20000 dilution Predicted band size: 58 kD Observed band size: 58 kD
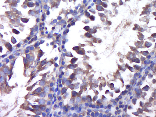
Paraformaldehyde-fixed, paraffin embedded (Rat testis); Antigen retrieval by boiling in sodium citrate buffer (pH6.0) for 15min; Block endogenous peroxidase by 3% hydrogen peroxide for 20 minutes; Blocking buffer (normal goat serum) at 37°C for 30min; Antibody incubation with (PPP3CC) Polyclonal Antibody, Unconjugated (bs-19973R) at 1:400 overnight at 4°C, followed by operating according to SP Kit(Rabbit) (sp-0023) instructions and DAB staining.
版权所有 2004-2026 www.bioss.com.cn 北京博奥森生物技术有限公司
通过国际质量管理体系ISO 9001:2015 GB/T 19001-2016    证书编号: 00124Q34771R2M/1100
通过国际医疗器械-质量管理体系ISO 13485:2016 GB/T 42061-2022    证书编号: CQC24QY10047R0M/1100
京ICP备05066980号-1         京公网安备110107000727号