扫码关注公众号           扫码咨询技术支持           扫码咨询技术服务
  
客服热线:400-901-9800  客服QQ:4009019800  技术答疑  技术支持  质量反馈  关于我们  联系我们
产品中心-北京博奥森生物技术有限公司
首页 > 产品中心 > 一抗 > 产品信息
RUVBL1 Rabbit pAb (bs-19936R)  
订购热线:400-901-9800
订购邮箱:sales@bioss.com.cn
订购QQ:  400-901-9800
技术支持:techsupport@bioss.com.cn
50ul/1180.00元
100ul/1980.00元
200ul/2800.00元
大包装/询价

产品编号 bs-19936R
英文名称 RUVBL1 Rabbit pAb
中文名称 RUVBL1抗体
别    名 ECP-54; ECP54; INO80H; NMP 238; NMP238; PONTIN; Pontin52; RVB1; TIH1; TIP49; TIP49A; RUVB1_HUMAN; RUVBL1; 49 kDa TATA box-binding protein-interacting protein (49 kDa TBP-interacting protein); 54 kDa erythrocyte cytosolic protein (ECP-54); INO80 complex su  
研究领域 肿瘤  细胞生物  信号转导  细胞凋亡  转录调节因子  
抗体来源 Rabbit
克隆类型 Polyclonal
克 隆 号
交叉反应 Mouse (predicted: Human,Rat,Rabbit,Pig,Sheep,Cow,Zebrafish,Chicken,Dog,Horse)
产品应用 WB=1:500-2000,IHC-P=1:100-500,IHC-F=1:100-500,IF=1:100-500
not yet tested in other applications.
optimal dilutions/concentrations should be determined by the end user.
理论分子量 50 kDa
细胞定位 细胞核 细胞浆 细胞膜 
性    状 Liquid
浓    度 1mg/ml
免 疫 原 KLH conjugated synthetic peptide derived from human RUVBL1: 101-200/456 
亚    型 IgG
纯化方法 affinity purified by Protein A
缓 冲 液 0.01M TBS (pH7.4) with 1% BSA, 0.02% Proclin300 and 50% Glycerol.
保存条件 Shipped at 4℃. Store at -20℃ for one year. Avoid repeated freeze/thaw cycles.
注意事项 This product as supplied is intended for research use only, not for use in human, therapeutic or diagnostic applications.
PubMed PubMed
产品介绍 This gene encodes a protein that has both DNA-dependent ATPase and DNA helicase activities and belongs to the ATPases associated with diverse cellular activities (AAA+) protein family. The encoded protein associates with several multisubunit transcriptional complexes and with protein complexes involved in both ATP-dependent remodeling and histone modification. Alternate splicing results in multiple transcript variants. [provided by RefSeq, Jan 2016]

Function:
Possesses single-stranded DNA-stimulated ATPase and ATP-dependent DNA helicase (3' to 5') activity. Component of the NuA4 histone acetyltransferase complex which is involved in transcriptional activation of select genes principally by acetylation of nucleosomal histones H4 and H2A. This modification may both alter nucleosome - DNA interactions and promote interaction of the modified histones with other proteins which positively regulate transcription. This complex may be required for the activation of transcriptional programs associated with oncogene and proto-oncogene mediated growth induction, tumor suppressor mediated growth arrest and replicative senescence, apoptosis, and DNA repair. The NuA4 complex ATPase and helicase activities seem to be, at least in part, contributed by the association of RUVBL1 and RUVBL2 with EP400. NuA4 may also play a direct role in DNA repair when recruited to sites of DNA damage. RUVBL1 plays an essential role in oncogenic transformation by MYC and also modulates transcriptional activation by the LEF1/TCF1-CTNNB1 complex. May be able to bind plasminogen at cell surface and enhance plasminogen activation.
Essential for cell proliferation.

Subcellular Location:
Nucleus matrix. Nucleus > nucleoplasm. Cytoplasm. Membrane. Cytoplasm > cytoskeleton > centrosome. Mainly localized in the nucleus, associated with nuclear matrix or in the nuclear cytosol, although it is also present in the cytoplasm and associated with the cell membranes. In prophase and prometaphase it is located at the centrosome and the branching microtubule spindles. After mitotic nuclear membrane disintigration it accumulates at the centrosome and sites of tubulin polymerization. As cells pass through metaphase and into telophase it is located close to the centrosome at the early phase of tubulin polymerization. In anaphase it accumulates at the zone of tubule interdigitation. In telophase it is found at polar tubule overlap, and it reappears at the site of chromosomal decondensation in the daughter cells.

Tissue Specificity:
Ubiquitously expressed with high expression in heart, skeletal muscle and testis.

Similarity:
Belongs to the ruvB family.

SWISS:
Q9Y265

Gene ID:
8607

Database links:

Entrez Gene: 8607 Human

Entrez Gene: 56505 Mouse

Entrez Gene: 65137 Rat

Omim: 603449 Human

SwissProt: Q9Y265 Human

SwissProt: P60122 Mouse

SwissProt: P60123 Rat

Unigene: 272822 Human

Unigene: 42195 Mouse

Unigene: 86410 Rat



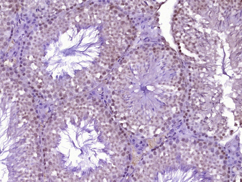
产品图片
Sample: Heart (Mouse) Lysate at 40 ug Muscle (Mouse) Lysate at 40 ug Heart (Mouse) Lysate at 40 ug Muscle (Mouse) Lysate at 40 ug Primary: Anti-TIP49A (bs-19936R) at 1/500 dilution Anti-TIP49A (bs-19936R) at 1/1000 dilution Secondary: IRDye800CW Goat Anti-Rabbit IgG at 1/20000 dilution Predicted band size: 50 kD Observed band size: 50 kD
Paraformaldehyde-fixed, paraffin embedded (Mouse testis); Antigen retrieval by boiling in sodium citrate buffer (pH6.0) for 15min; Block endogenous peroxidase by 3% hydrogen peroxide for 20 minutes; Blocking buffer (normal goat serum) at 37°C for 30min; Antibody incubation with (TIP49A) Polyclonal Antibody, Unconjugated (bs-19936R) at 1:400 overnight at 4°C, followed by operating according to SP Kit(Rabbit) (sp-0023) instructionsand DAB staining.
版权所有 2004-2026 www.bioss.com.cn 北京博奥森生物技术有限公司
通过国际质量管理体系ISO 9001:2015 GB/T 19001-2016    证书编号: 00124Q34771R2M/1100
通过国际医疗器械-质量管理体系ISO 13485:2016 GB/T 42061-2022     证书编号: CQC24QY20047R0M/1100
京ICP备05066980号-1         京公网安备110107000727号