扫码关注公众号           扫码咨询技术支持           扫码咨询技术服务
  
客服热线:400-901-9800  客服QQ:4009019800  技术答疑  技术支持  质量反馈  关于我们  联系我们
产品中心-北京博奥森生物技术有限公司
首页 > 产品中心 > 一抗 > 产品信息
SMCHD1 Rabbit pAb (bs-19929R)  
订购热线:400-901-9800
订购邮箱:sales@bioss.com.cn
订购QQ:  400-901-9800
技术支持:techsupport@bioss.com.cn
50ul/1180.00元
100ul/1980.00元
200ul/2800.00元
大包装/询价

产品编号 bs-19929R
英文名称 SMCHD1 Rabbit pAb
中文名称 SMCHD1蛋白抗体
别    名 KIAA0650; SMC hinge domain containing 1; SMC hinge domain containing protein 1; Smchd1; SMHD1_HUMAN; Structural maintenance of chromosomes flexible hinge domain containing 1; Structural maintenance of chromosomes flexible hinge domain-containing protein 1.  
研究领域 细胞生物  表观遗传学  
抗体来源 Rabbit
克隆类型 Polyclonal
克 隆 号
交叉反应 Mouse,Rat (predicted: Human,Rabbit,Pig,Sheep,Cow,Dog,Horse)
产品应用 IHC-P=1:100-500,IHC-F=1:100-500,IF=1:100-500
not yet tested in other applications.
optimal dilutions/concentrations should be determined by the end user.
理论分子量 226 kDa
检测分子量
细胞定位 细胞核 
性    状 Liquid
浓    度 1mg/ml
免 疫 原 KLH conjugated synthetic peptide derived from human SMCHD1: 761-860/2005 
亚    型 IgG
纯化方法 affinity purified by Protein A
缓 冲 液 0.01M TBS (pH7.4) with 1% BSA, 0.02% Proclin300 and 50% Glycerol.
保存条件 Shipped at 4℃. Store at -20℃ for one year. Avoid repeated freeze/thaw cycles.
注意事项 This product as supplied is intended for research use only, not for use in human, therapeutic or diagnostic applications.
PubMed PubMed
产品介绍 This gene encodes a protein which contains a hinge region domain found in members of the SMC (structural maintenance of chromosomes) protein family. [provided by RefSeq, Dec 2011]

Function:
Required for maintenance of X inactivation in females and hypermethylation of CpG islands associated with inactive X. Involved in a pathway that mediates the methylation of a subset of CpG islands slowly and requires the de novo methyltransferase DNMT3B (By similarity). Required for DUX4 silencing in somatic cells.

Subcellular Location:
Chromosome

DISEASE:
The disease is caused by mutations affecting the gene represented in this entry. SMCHD1 mutations lead to DUX4 expression in somatic tissues, including muscle cells, when an haplotype on chromosome 4 is permissive for DUX4 expression. Ectopic expression of DUX4 in skeletal muscle activates the expression of stem cell and germline genes, and, when overexpressed in somatic cells, DUX4 can ultimately lead to cell death.
Disease description:A degenerative muscle disease characterized by slowly progressive weakness of the muscles of the face, upper-arm, and shoulder girdle. The onset of symptoms usually occurs in the first or second decade of life. Affected individuals usually present with impairment of upper extremity elevation. This tends to be followed by facial weakness, primarily involving the orbicularis oris and orbicularis oculi muscles.

SWISS:
A6NHR9

Gene ID:
23347

Database links:

Entrez Gene: 23347 Human

Entrez Gene: 74355 Mouse

Omim: 614982 Human

SwissProt: A6NHR9 Human

SwissProt: Q6P5D8 Mouse

Unigene: 8118 Human

Unigene: 194450 Mouse



产品图片
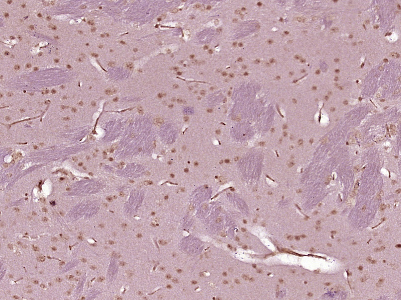
Paraformaldehyde-fixed, paraffin embedded (Mouse brain); Antigen retrieval by boiling in sodium citrate buffer (pH6.0) for 15min; Block endogenous peroxidase by 3% hydrogen peroxide for 20 minutes; Blocking buffer (normal goat serum) at 37°C for 30min; Antibody incubation with (SMCHD1) Polyclonal Antibody, Unconjugated (bs-19929R) at 1:400 overnight at 4°C, followed by operating according to SP Kit(Rabbit) (sp-0023) instructionsand DAB staining.
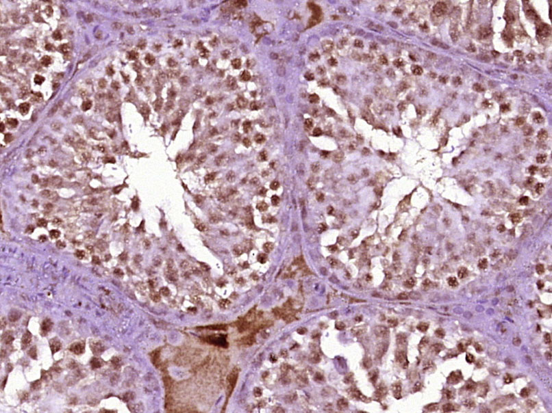
Paraformaldehyde-fixed, paraffin embedded (Rat testis); Antigen retrieval by boiling in sodium citrate buffer (pH6.0) for 15min; Block endogenous peroxidase by 3% hydrogen peroxide for 20 minutes; Blocking buffer (normal goat serum) at 37°C for 30min; Antibody incubation with (SMCHD1) Polyclonal Antibody, Unconjugated (bs-19929R) at 1:400 overnight at 4°C, followed by operating according to SP Kit(Rabbit) (sp-0023) instructionsand DAB staining.
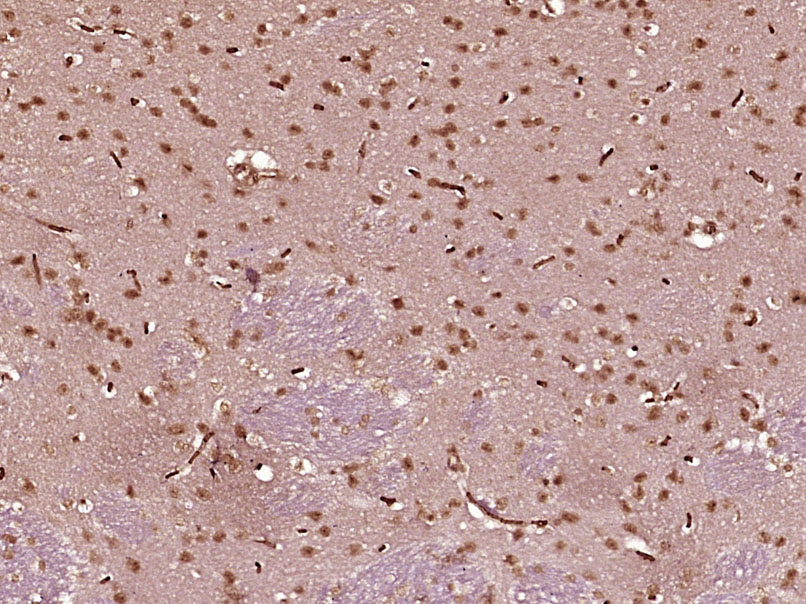
Paraformaldehyde-fixed, paraffin embedded (Rat brain); Antigen retrieval by boiling in sodium citrate buffer (pH6.0) for 15min; Block endogenous peroxidase by 3% hydrogen peroxide for 20 minutes; Blocking buffer (normal goat serum) at 37°C for 30min; Antibody incubation with (SMCHD1) Polyclonal Antibody, Unconjugated (bs-19929R) at 1:400 overnight at 4°C, followed by operating according to SP Kit(Rabbit) (sp-0023) instructionsand DAB staining.
版权所有 2004-2026 www.bioss.com.cn 北京博奥森生物技术有限公司
通过国际质量管理体系ISO 9001:2015 GB/T 19001-2016    证书编号: 00124Q34771R2M/1100
通过国际医疗器械-质量管理体系ISO 13485:2016 GB/T 42061-2022     证书编号: CQC24QY20047R0M/1100
京ICP备05066980号-1         京公网安备110107000727号