扫码关注公众号           扫码咨询技术支持           扫码咨询技术服务
  
客服热线:400-901-9800  客服QQ:4009019800  技术答疑  技术支持  质量反馈  关于我们  联系我们
产品中心-北京博奥森生物技术有限公司
首页 > 产品中心 > 一抗 > 产品信息
SMARCC1 Rabbit pAb (bs-19924R)  
订购热线:400-901-9800
订购邮箱:sales@bioss.com.cn
订购QQ:  400-901-9800
技术支持:techsupport@bioss.com.cn
50ul/1180.00元
100ul/1980.00元
200ul/2800.00元
大包装/询价

产品编号 bs-19924R
英文名称 SMARCC1 Rabbit pAb
中文名称 SWI/SNF相关基质关联肌动蛋白依赖染色质调控因子亚家族C1抗体
别    名 AI115498; BAF 155; BAF155; BRG 1 associated factor 155; BRG1 associated factor 155; BRG1-associated factor 155; Chromatin remodeling complex BAF155 subunit; CRACC 1; CRACC1; Mammalian chromatin remodeling complex BRG 1 associated factor 155; Mammalian chromatin remodeling complex BRG1 associated factor 155; Rsc 8; Rsc8; SMARC C1; SMARCC 1; SMARCC1; SMRC1_HUMAN; SRG 3; SRG3; SWI 3; SWI/SNF complex 155 kDa subunit; SWI/SNF complex subunit SMARCC1; SWI/SNF related matrix associated actin dependent regulator of chromatin c1; SWI/SNF related matrix associated actin dependent regulator of chromatin subfamily c member 1; SWI/SNF-related matrix-associated actin-dependent regulator of chromatin subfamily C member 1; SWI3.  
研究领域 细胞生物  神经生物学  转录调节因子  表观遗传学  
抗体来源 Rabbit
克隆类型 Polyclonal
克 隆 号
交叉反应 Rat (predicted: Human,Mouse,Rabbit,Sheep,Cow,Dog,Horse)
产品应用 IHC-P=1:100-500,IHC-F=1:100-500,IF=1:100-500
not yet tested in other applications.
optimal dilutions/concentrations should be determined by the end user.
理论分子量 123 kDa
检测分子量
细胞定位 细胞核 
性    状 Liquid
浓    度 1mg/ml
免 疫 原 KLH conjugated synthetic peptide derived from human SMARCC1: 301-400/1105 
亚    型 IgG
纯化方法 affinity purified by Protein A
缓 冲 液 0.01M TBS (pH7.4) with 1% BSA, 0.02% Proclin300 and 50% Glycerol.
保存条件 Shipped at 4℃. Store at -20℃ for one year. Avoid repeated freeze/thaw cycles.
注意事项 This product as supplied is intended for research use only, not for use in human, therapeutic or diagnostic applications.
PubMed PubMed
产品介绍 The protein encoded by this gene is a member of the SWI/SNF family of proteins, whose members display helicase and ATPase activities and which are thought to regulate transcription of certain genes by altering the chromatin structure around those genes. The encoded protein is part of the large ATP-dependent chromatin remodeling complex SNF/SWI and contains a predicted leucine zipper motif typical of many transcription factors. [provided by RefSeq, Jul 2008]

Function:
Involved in transcriptional activation and repression of select genes by chromatin remodeling (alteration of DNA-nucleosome topology). May stimulate the ATPase activity of the catalytic subunit of the complex. Also involved in vitamin D-coupled transcription regulation via its association with the WINAC complex, a chromatin-remodeling complex recruited by vitamin D receptor (VDR), which is required for the ligand-bound VDR-mediated transrepression of the CYP27B1 gene. Belongs to the neural progenitors-specific chromatin remodeling complex (npBAF complex) and the neuron-specific chromatin remodeling complex (nBAF complex). During neural development a switch from a stem/progenitor to a post-mitotic chromatin remodeling mechanism occurs as neurons exit the cell cycle and become committed to their adult state. The transition from proliferating neural stem/progenitor cells to post-mitotic neurons requires a switch in subunit composition of the npBAF and nBAF complexes. As neural progenitors exit mitosis and differentiate into neurons, npBAF complexes which contain ACTL6A/BAF53A and PHF10/BAF45A, are exchanged for homologous alternative ACTL6B/BAF53B and DPF1/BAF45B or DPF3/BAF45C subunits in neuron-specific complexes (nBAF). The npBAF complex is essential for the self-renewal/proliferative capacity of the multipotent neural stem cells. The nBAF complex along with CREST plays a role regulating the activity of genes essential for dendrite growth.

Subunit:
Component of a number of multiprotein

Subcellular Location:
Nucleus.

Tissue Specificity:
Expressed in brain, heart, muscle, placenta, lung, liver, muscle, kidney and pancreas.

Post-translational modifications:
Phosphorylated on undefined residues at the G2/M transition by ERK1 and other kinases. This may contribute to cell cycle specific inactivation of remodeling complexes containing the phosphorylated protein.

Similarity:
Belongs to the SMARCC family.
Contains 1 SANT domain.
Contains 1 SWIRM domain.

SWISS:
Q92922

Gene ID:
6599

Database links:

Entrez Gene: 6599 Human

Entrez Gene: 20588 Mouse

Entrez Gene: 301020 Rat

Omim: 601732 Human

SwissProt: Q92922 Human

SwissProt: P97496 Mouse

Unigene: 476179 Human

Unigene: 85410 Mouse

Unigene: 94211 Rat



产品图片
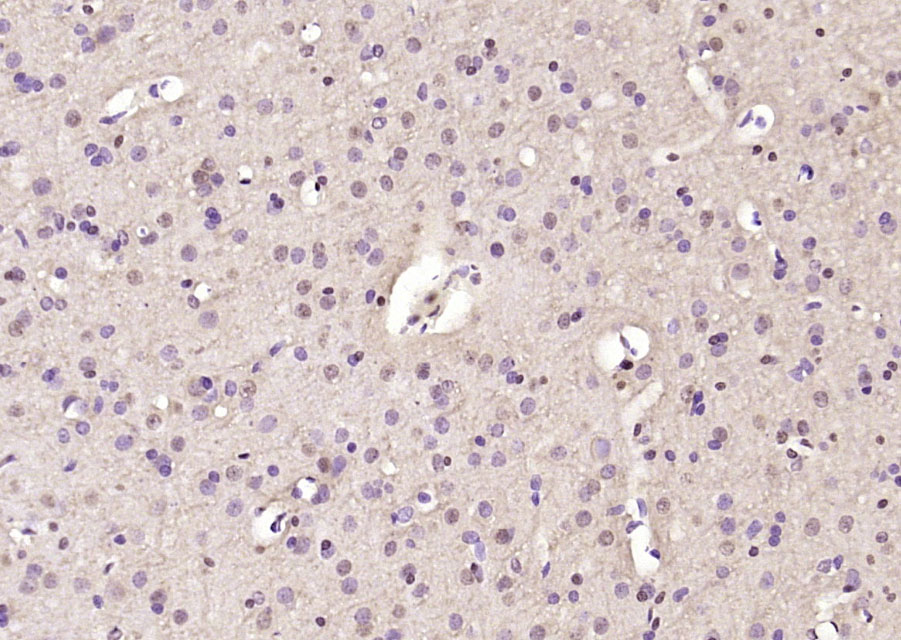
Paraformaldehyde-fixed, paraffin embedded (rat brain); Antigen retrieval by boiling in sodium citrate buffer (pH6.0) for 15min; Block endogenous peroxidase by 3% hydrogen peroxide for 20 minutes; Blocking buffer (normal goat serum) at 37°C for 30min; Antibody incubation with (SMARCC1) Polyclonal Antibody, Unconjugated (bs-19924R) at 1:200 overnight at 4°C, followed by operating according to SP Kit(Rabbit) (sp-0023) instructionsand DAB staining.
Paraformaldehyde-fixed, paraffin embedded (rat heart); Antigen retrieval by boiling in sodium citrate buffer (pH6.0) for 15min; Block endogenous peroxidase by 3% hydrogen peroxide for 20 minutes; Blocking buffer (normal goat serum) at 37°C for 30min; Antibody incubation with (SMARCC1) Polyclonal Antibody, Unconjugated (bs-19924R) at 1:200 overnight at 4°C, followed by operating according to SP Kit(Rabbit) (sp-0023) instructionsand DAB staining.
版权所有 2004-2026 www.bioss.com.cn 北京博奥森生物技术有限公司
通过国际质量管理体系ISO 9001:2015 GB/T 19001-2016    证书编号: 00124Q34771R2M/1100
通过国际医疗器械-质量管理体系ISO 13485:2016 GB/T 42061-2022     证书编号: CQC24QY20047R0M/1100
京ICP备05066980号-1         京公网安备110107000727号