扫码关注公众号           扫码咨询技术支持           扫码咨询技术服务
  
客服热线:400-901-9800  客服QQ:4009019800  技术答疑  技术支持  质量反馈  关于我们  联系我们
产品中心-北京博奥森生物技术有限公司
首页 > 产品中心 > 一抗 > 产品信息
PCBD1 Rabbit pAb (bs-19905R)  
订购热线:400-901-9800
订购邮箱:sales@bioss.com.cn
订购QQ:  400-901-9800
技术支持:techsupport@bioss.com.cn
50ul/1180.00元
100ul/1980.00元
200ul/2800.00元
大包装/询价

产品编号 bs-19905R
英文名称 PCBD1 Rabbit pAb
中文名称 蝶呤甲醇胺脱水酶1抗体
别    名 4 alpha hydroxy tetrahydropterin dehydratase; 4-alpha-hydroxy-tetrahydropterin dehydratase; 6 pyruvoyl tetrahydropterin synthase/dimerization cofactor of hepatocyte nuclear factor 1 alpha(TCF1); 6 pyruvoyl tetrahydropterin synthase/dimerization cofactor of hepatocyte nuclear factor 1 alpha; DCoH; Dimerization cofactor of hepatic nuclear factor 1 alpha; Dimerization cofactor of hepatocyte nuclear factor 1 alpha; Dimerization cofactor of hepatocyte nuclear factor 1-alpha; Dimerization cofactor of HNF1; Dimerizing cofactor for HNF1; PCBD 1; PCBD; PCBD1; PCD; Phenylalanine hydroxylase stimulating protein; Phenylalanine hydroxylase-stimulating protein; PHS; PHS_HUMAN; Pterin 4 alpha carbinolamine dehydratase; Pterin 4 alpha carbinolamine dehydratase/dimerization cofactor of hepatocyte nuclear factor 1 alpha(TCF1); Pterin 4 alpha carbinolamine dehydratase/dimerization cofactor of hepatocyte nuclear factor 1 alpha; Pterin carbinolamine dehydratase; Pterin-4-alpha-carbinolamine dehydratase.  
研究领域 肿瘤  细胞生物  信号转导  表观遗传学  
抗体来源 Rabbit
克隆类型 Polyclonal
克 隆 号
交叉反应 Mouse (predicted: Human,Rat,Rabbit,Cow)
产品应用 WB=1:500-2000,IHC-P=1:100-500,IHC-F=1:100-500,IF=1:100-500
not yet tested in other applications.
optimal dilutions/concentrations should be determined by the end user.
理论分子量 12 kDa
检测分子量
细胞定位 细胞核 细胞浆 
性    状 Liquid
浓    度 1mg/ml
免 疫 原 KLH conjugated synthetic peptide derived from human PCBD1: 2-50/104 
亚    型 IgG
纯化方法 affinity purified by Protein A
缓 冲 液 0.01M TBS (pH7.4) with 1% BSA, 0.02% Proclin300 and 50% Glycerol.
保存条件 Shipped at 4℃. Store at -20℃ for one year. Avoid repeated freeze/thaw cycles.
注意事项 This product as supplied is intended for research use only, not for use in human, therapeutic or diagnostic applications.
PubMed PubMed
产品介绍 This gene encodes a member of the pterin-4-alpha-carbinolamine dehydratase family. The encoded protein has been identified as a moonlighting protein based on its ability to perform mechanistically distinct functions. The encoded protein functions as both a dehydratase involved in tetrahydrobiopterin biosynthesis, and as a cofactor for HNF1A-dependent transcription. A deficiency of this enzyme leads to hyperphenylalaninemia. Alternative splicing results in multiple transcript variants. [provided by RefSeq, Jan 2014]

Function:
Involved in tetrahydrobiopterin biosynthesis. Seems to both prevent the formation of 7-pterins and accelerate the formation of quinonoid-BH2. Coactivator for HNF1A-dependent transcription. Regulates the dimerization of homeodomain protein HNF1A and enhances its transcriptional activity.

Subcellular Location:
Cytoplasm. Nucleus. Cytoplasmic and/or nuclear.

DISEASE:
Defects in PCBD1 are the cause of BH4-deficient hyperphenylalaninemia type D (HPABH4D) [MIM:264070]; also known as hyperphenylalaninemia with primapterinuria. HPABH4D is characterized by the excretion of 7-substituted pterins in the urine of affected patients.

Similarity:
Belongs to the pterin-4-alpha-carbinolamine dehydratase family.

SWISS:
P61457

Gene ID:
5092

Database links:

Entrez Gene: 395729 Chicken

Entrez Gene: 5092 Human

Entrez Gene: 13180 Mouse

Entrez Gene: 29700 Rat

Omim: 126090 Human

SwissProt: P61457 Human

SwissProt: P61458 Mouse

SwissProt: P61459 Rat

Unigene: 3192 Human

Unigene: 39473 Mouse

Unigene: 81180 Rat



产品图片
Sample: Testis (Mouse) Lysate at 40 ug Primary: Anti-PCBD1 (bs-19905R) at 1/300 dilution Secondary: IRDye800CW Goat Anti-Rabbit IgG at 1/20000 dilution Predicted band size: 12 kD Observed band size: 12 kD
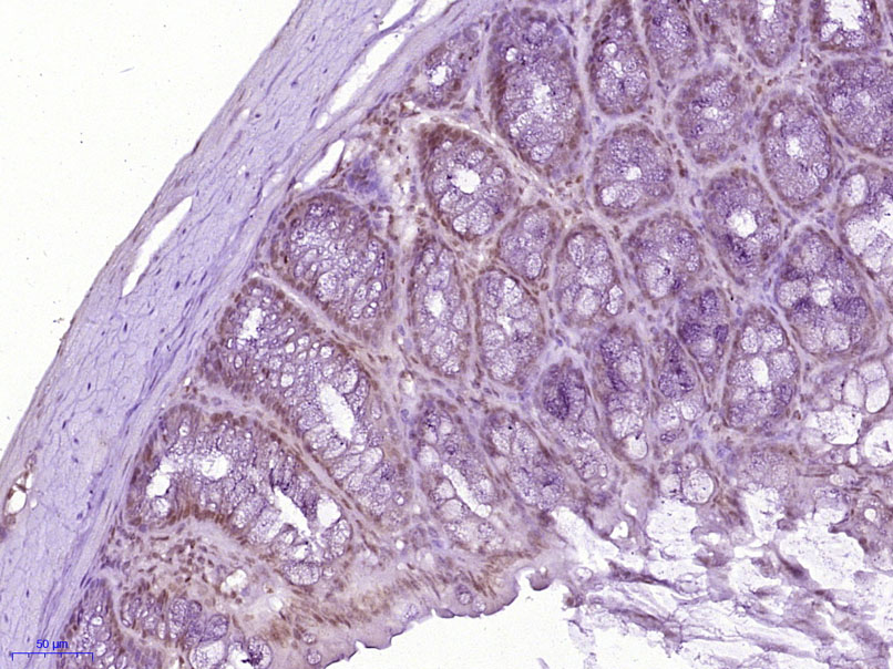
Paraformaldehyde-fixed, paraffin embedded (Mouse colon); Antigen retrieval by boiling in sodium citrate buffer (pH6.0) for 15min; Block endogenous peroxidase by 3% hydrogen peroxide for 20 minutes; Blocking buffer (normal goat serum) at 37°C for 30min; Antibody incubation with (PCBD1) Polyclonal Antibody, Unconjugated (bs-19905R) at 1:400 overnight at 4°C, followed by operating according to SP Kit(Rabbit) (sp-0023) instructionsand DAB staining.
版权所有 2004-2026 www.bioss.com.cn 北京博奥森生物技术有限公司
通过国际质量管理体系ISO 9001:2015 GB/T 19001-2016    证书编号: 00124Q34771R2M/1100
通过国际医疗器械-质量管理体系ISO 13485:2016 GB/T 42061-2022     证书编号: CQC24QY20047R0M/1100
京ICP备05066980号-1         京公网安备110107000727号