扫码关注公众号           扫码咨询技术支持           扫码咨询技术服务
  
客服热线:400-901-9800  客服QQ:4009019800  技术答疑  技术支持  质量反馈  关于我们  联系我们
产品中心-北京博奥森生物技术有限公司
首页 > 产品中心 > 一抗 > 产品信息
RBM14 Rabbit pAb (bs-19763R)  
订购热线:400-901-9800
订购邮箱:sales@bioss.com.cn
订购QQ:  400-901-9800
技术支持:techsupport@bioss.com.cn
50ul/1180.00元
100ul/1980.00元
200ul/2800.00元
大包装/询价

产品编号 bs-19763R
英文名称 RBM14 Rabbit pAb
中文名称 RNA结合蛋白14抗体
别    名 CoAA; Coactivator Activator; RBM 14; RBM14; RNA binding motif protein 14; RNA binding protein 14; RRM containing coactivator activator/modulator; SIP; Synaptotagmin interacting protein; SYT interacting protein 1; SYT interacting protein; SYT interacting protein SIP; SYTIP 1; SYTIP1.  
研究领域 细胞生物  信号转导  转录调节因子  表观遗传学  
抗体来源 Rabbit
克隆类型 Polyclonal
克 隆 号
交叉反应 Human,Mouse (predicted: Rat,Rabbit,Pig,Sheep,Cow,Dog,GuineaPig,Horse)
产品应用 WB=1:500-2000,IHC-P=1:100-500,IHC-F=1:100-500,IF=1:100-500
not yet tested in other applications.
optimal dilutions/concentrations should be determined by the end user.
理论分子量 69 kDa
检测分子量
细胞定位 细胞核 
性    状 Liquid
浓    度 1mg/ml
免 疫 原 KLH conjugated synthetic peptide derived from human RBM14: 101-200/669 
亚    型 IgG
纯化方法 affinity purified by Protein A
缓 冲 液 0.01M TBS (pH7.4) with 1% BSA, 0.02% Proclin300 and 50% Glycerol.
保存条件 Shipped at 4℃. Store at -20℃ for one year. Avoid repeated freeze/thaw cycles.
注意事项 This product as supplied is intended for research use only, not for use in human, therapeutic or diagnostic applications.
PubMed PubMed
产品介绍 This gene encodes a ribonucleoprotein that functions as a general nuclear coactivator, and an RNA splicing modulator. This protein contains two RNA recognition motifs (RRM) at the N-terminus, and multiple hexapeptide repeat domain at the C-terminus that interacts with thyroid hormone receptor-binding protein (TRBP), and is required for transcription activation. Alternatively spliced transcript variants encoding different isoforms (with opposing effects on transcription) have been described for this gene. [provided by RefSeq, Oct 2011]

Function:
Isoform 1 may function as a nuclear receptor coactivator, enhancing transcription through other coactivators such as NCOA6 and CITED1. Isoform 2, functions as a transcriptional repressor, modulating transcriptional activities of coactivators including isoform 1, NCOA6 and CITED1.

Subunit:
Isoform 1 interacts with NCOA6, CITED1 and XRCC5/KU86. Isoform 1 interacts with SS18 isoform 1. Isoform 1 interacts with SS18 isoform 2.

Subcellular Location:
Nuclear

Tissue Specificity:
Expressed in all tissues tested, including brain, heart, skeletal muscle, colon, thymus, spleen, kidney, liver, small intestine, placenta, lung and peripheral blood lymphocytes.

Similarity:
Contains 2 RRM (RNA recognition motif) domains.

SWISS:
Q96PK6

Gene ID:
10432

Database links:

Entrez Gene: 511512 Cow

Entrez Gene: 10432 Human

Entrez Gene: 56275 Mouse

Entrez Gene: 170900 Rat

Omim: 612409 Human

SwissProt: Q5EA36 Cow

SwissProt: Q96PK6 Human

SwissProt: Q8C2Q3 Mouse

Unigene: 533712 Human

Unigene: 8556 Rat



产品图片
Sample: Hela(Human) Cell Lysate at 40 ug 293T(Human) Cell Lysate at 40 ug Primary: Anti-RBM14 (bs-19763R) at 1/300 dilution Secondary: IRDye800CW Goat Anti-Rabbit IgG at 1/20000 dilution Predicted band size: 69 kD Observed band size: 69 kD
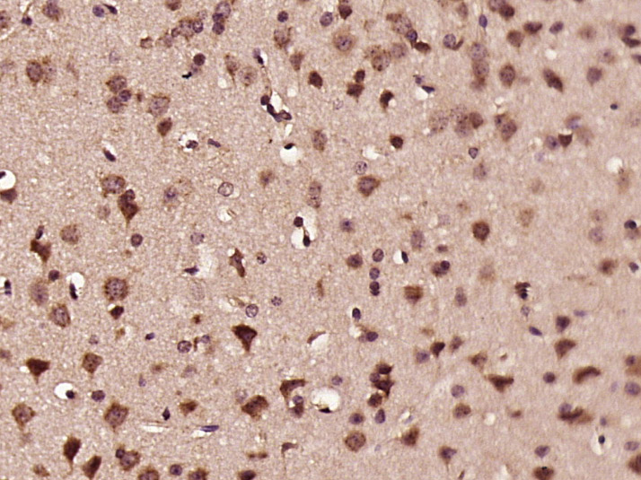
Paraformaldehyde-fixed, paraffin embedded (mouse brain tissue); Antigen retrieval by boiling in sodium citrate buffer (pH6.0) for 15min; Block endogenous peroxidase by 3% hydrogen peroxide for 20 minutes; Blocking buffer (normal goat serum) at 37°C for 30min; Antibody incubation with (RBM14) Polyclonal Antibody, Unconjugated (bs-19763R) at 1:400 overnight at 4°C, followed by operating according to SP Kit(Rabbit) (sp-0023) instructionsand DAB staining.
版权所有 2004-2026 www.bioss.com.cn 北京博奥森生物技术有限公司
通过国际质量管理体系ISO 9001:2015 GB/T 19001-2016    证书编号: 00124Q34771R2M/1100
通过国际医疗器械-质量管理体系ISO 13485:2016 GB/T 42061-2022     证书编号: CQC24QY20047R0M/1100
京ICP备05066980号-1         京公网安备110107000727号