扫码关注公众号           扫码咨询技术支持           扫码咨询技术服务
  
客服热线:400-901-9800  客服QQ:4009019800  技术答疑  技术支持  质量反馈  人才招聘  关于我们  联系我们
产品中心-北京博奥森生物技术有限公司
首页 > 产品中心 > 一抗 > 产品信息
SH3BP2 Rabbit pAb (bs-19749R)  
订购热线:400-901-9800
订购邮箱:sales@bioss.com.cn
订购QQ:  400-901-9800
技术支持:techsupport@bioss.com.cn
50ul/1180.00元
100ul/1980.00元
200ul/2800.00元
大包装/询价

产品编号 bs-19749R
英文名称 SH3BP2 Rabbit pAb
中文名称 SH3结构域结合蛋白2抗体
别    名 3BP-2; 3BP2; CRBM; CRPM; RES4-23; 3BP2_HUMAN; SH3BP2;   
研究领域 细胞生物  信号转导  转录调节因子  
抗体来源 Rabbit
克隆类型 Polyclonal
克 隆 号
交叉反应 Human,Rat (predicted: Mouse,Pig,Cow,Horse)
产品应用 WB=1:500-2000,IHC-P=1:100-500,IHC-F=1:100-500,IF=1:100-500
not yet tested in other applications.
optimal dilutions/concentrations should be determined by the end user.
理论分子量 62 kDa
细胞定位 细胞浆 
性    状 Liquid
浓    度 1mg/ml
免 疫 原 KLH conjugated synthetic peptide derived from human SH3BP2: 451-550/561 
亚    型 IgG
纯化方法 affinity purified by Protein A
缓 冲 液 0.01M TBS (pH7.4) with 1% BSA, 0.02% Proclin300 and 50% Glycerol.
保存条件 Shipped at 4℃. Store at -20℃ for one year. Avoid repeated freeze/thaw cycles.
注意事项 This product as supplied is intended for research use only, not for use in human, therapeutic or diagnostic applications.
PubMed PubMed
产品介绍 The protein encoded by this gene has an N-terminal pleckstrin homology (PH) domain, an SH3-binding proline-rich region, and a C-terminal SH2 domain. The protein binds to the SH3 domains of several proteins including the ABL1 and SYK protein tyrosine kinases , and functions as a cytoplasmic adaptor protein to positively regulate transcriptional activity in T, natural killer (NK), and basophilic cells. Mutations in this gene result in cherubism. Multiple transcript variants encoding different isoforms have been found for this gene. [provided by RefSeq, Mar 2009]

Function:
Binds differentially to the SH3 domains of certain proteins of signal transduction pathways. Binds to phosphatidylinositols; linking the hemopoietic tyrosine kinase fes to the cytoplasmic membrane in a phosphorylation dependent mechanism.

Tissue Specificity:
Expressed in a variety of tissues including lung, liver, skeletal muscle, kidney and pancreas.

Post-translational modifications:
Phosphorylated. Phosphorylation at Tyr-448 may stimulate the activity of the LYN kinase (By similarity).

DISEASE:
Defects in SH3BP2 are the cause of cherubism (CRBM) [MIM:118400]. CRBM is an autosomal dominant inherited syndrome characterized by excessive bone degradation of the upper and lower jaws, which often begins around three years of age. It is followed by development of fibrous tissue masses, which causes a characteristic facial swelling.

Similarity:
Contains 1 PH domain.
Contains 1 SH2 domain.

SWISS:
P78314

Gene ID:
6452

Database links:

Entrez Gene: 6452 Human

Entrez Gene: 24055 Mouse

Entrez Gene: 305450 Rat

Omim: 602104 Human

SwissProt: P78314 Human

SwissProt: Q06649 Mouse

Unigene: 167679 Human

Unigene: 5012 Mouse

Unigene: 212791 Rat



产品图片
Sample: A549 (human) Cell Lysate at 40 ug HepG2 (human) Cell Lysate at 40 ug Primary: Anti-SH3BP2 (bs-19749R) at 1/300 dilution Secondary: IRDye800CW Goat Anti-Rabbit IgG at 1/20000 dilution Predicted band size: 51 kD Observed band size: 51 kD
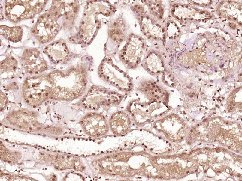
Paraformaldehyde-fixed, paraffin embedded (Human kidney); Antigen retrieval by boiling in sodium citrate buffer (pH6.0) for 15min; Block endogenous peroxidase by 3% hydrogen peroxide for 20 minutes; Blocking buffer (normal goat serum) at 37°C for 30min; Antibody incubation with (SH3BP2) Polyclonal Antibody, Unconjugated (bs-19749R) at 1:400 overnight at 4°C, followed by operating according to SP Kit(Rabbit) (sp-0023) instructionsand DAB staining.
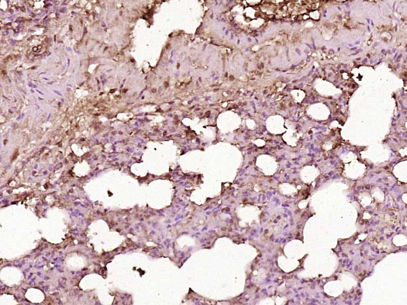
Paraformaldehyde-fixed, paraffin embedded (Rat lung); Antigen retrieval by boiling in sodium citrate buffer (pH6.0) for 15min; Block endogenous peroxidase by 3% hydrogen peroxide for 20 minutes; Blocking buffer (normal goat serum) at 37°C for 30min; Antibody incubation with (SH3BP2) Polyclonal Antibody, Unconjugated (bs-19749R) at 1:400 overnight at 4°C, followed by operating according to SP Kit(Rabbit) (sp-0023) instructionsand DAB staining.
版权所有 2004-2026 www.bioss.com.cn 北京博奥森生物技术有限公司
通过国际质量管理体系ISO 9001:2015 GB/T 19001-2016    证书编号: 00124Q34771R2M/1100
通过国际医疗器械-质量管理体系ISO 13485:2016 GB/T 42061-2022     证书编号: CQC24QY20047R0M/1100
京ICP备05066980号-1         京公网安备110107000727号