扫码关注公众号           扫码咨询技术支持           扫码咨询技术服务
  
客服热线:400-901-9800  客服QQ:4009019800  技术答疑  技术支持  质量反馈  关于我们  联系我们
产品中心-北京博奥森生物技术有限公司
首页 > 产品中心 > 一抗 > 产品信息
PTS Rabbit pAb (bs-19592R)  
订购热线:400-901-9800
订购邮箱:sales@bioss.com.cn
订购QQ:  400-901-9800
技术支持:techsupport@bioss.com.cn
50ul/1180.00元
100ul/1980.00元
200ul/2800.00元
大包装/询价

产品编号 bs-19592R
英文名称 PTS Rabbit pAb
中文名称 6丙酮酰四氢蝶呤合成酶PTPS抗体
别    名 6 pyruvoyl tetrahydrobiopterin synthase; 6 pyruvoyl tetrahydropterin synthase; 6 pyruvoyltetrahydropterin synthase; 6-pyruvoyl tetrahydrobiopterin synthase; EC 4.2.3.12; FLJ97081; OTTHUMP00000235385; PTP synthase; PTPS; PTPS_HUMAN; PTS.  
研究领域 肿瘤  细胞生物  神经生物学  
抗体来源 Rabbit
克隆类型 Polyclonal
克 隆 号
交叉反应 Human,Mouse,Rat (predicted: Rabbit,Pig,Sheep,Cow,Dog,Horse)
产品应用 WB=1:500-2000,IHC-P=1:100-500,IHC-F=1:100-500,IF=1:100-500
not yet tested in other applications.
optimal dilutions/concentrations should be determined by the end user.
理论分子量 16 kDa
检测分子量
细胞定位 细胞浆 
性    状 Liquid
浓    度 1mg/ml
免 疫 原 KLH conjugated synthetic peptide derived from human PTS: 91-145/145 
亚    型 IgG
纯化方法 affinity purified by Protein A
缓 冲 液 0.01M TBS (pH7.4) with 1% BSA, 0.02% Proclin300 and 50% Glycerol.
保存条件 Shipped at 4℃. Store at -20℃ for one year. Avoid repeated freeze/thaw cycles.
注意事项 This product as supplied is intended for research use only, not for use in human, therapeutic or diagnostic applications.
PubMed PubMed
产品介绍 The enzyme encoded by this gene catalyzes the elimination of inorganic triphosphate from dihydroneopterin triphosphate, which is the second and irreversible step in the biosynthesis of tetrahydrobiopterin from GTP. Tetrahydrobiopterin, also known as BH(4), is an essential cofactor and regulator of various enzyme activities, including enzymes involved in serotonin biosynthesis and NO synthase activity. Mutations in this gene result in hyperphenylalaninemia. [provided by RefSeq, Oct 2008]

Function:
Involved in the biosynthesis of tetrahydrobiopterin, an essential cofactor of aromatic amino acid hydroxylases. Catalyzes the transformation of 7,8-dihydroneopterin triphosphate into 6-pyruvoyl tetrahydropterin.

Post-translational modifications:
Phosphorylation of Ser-19 is required for maximal enzyme activity.

DISEASE:
Defects in PTS are the cause of BH4-deficient hyperphenylalaninemia type A (HPABH4A) [MIM:261640]; also called 6-pyruvoyl-tetrahydropterin synthase deficiency (PTS deficiency) or hyperphenylalaninemia tetrahydrobiopterin-deficient due to PTS deficiency. HPABH4A is an autosomal recessive disorder characterized by depletion of the neurotransmitters dopamine and serotonin, and clinically by severe neurological symptoms unresponsive to the classic phenylalanine-low diet.

Similarity:
Belongs to the PTPS family.

SWISS:
Q03393

Gene ID:
5805

Database links:

Entrez Gene: 5805 Human

GenBank: NP_000308.1 Human

Omim: 612719 Human

SwissProt: Q03393 Human

Unigene: 503860 Human



产品图片
Sample: 293T(Human) Cell Lysate at 30 ug Primary: Anti-PTS (bs-19592R) at 1/1000 dilution Secondary: IRDye800CW Goat Anti-Rabbit IgG at 1/20000 dilution Predicted band size: 16 kD Observed band size: 16 kD
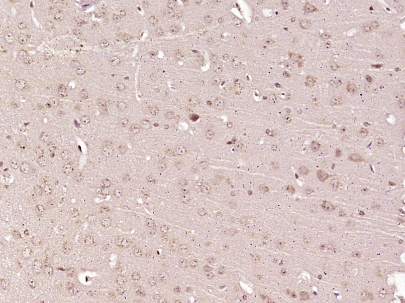
Paraformaldehyde-fixed, paraffin embedded (Rat brain); Antigen retrieval by boiling in sodium citrate buffer (pH6.0) for 15min; Block endogenous peroxidase by 3% hydrogen peroxide for 20 minutes; Blocking buffer (normal goat serum) at 37°C for 30min; Antibody incubation with (PTS) Polyclonal Antibody, Unconjugated (bs-19592R) at 1:400 overnight at 4°C, followed by operating according to SP Kit(Rabbit) (sp-0023) instructionsand DAB staining.
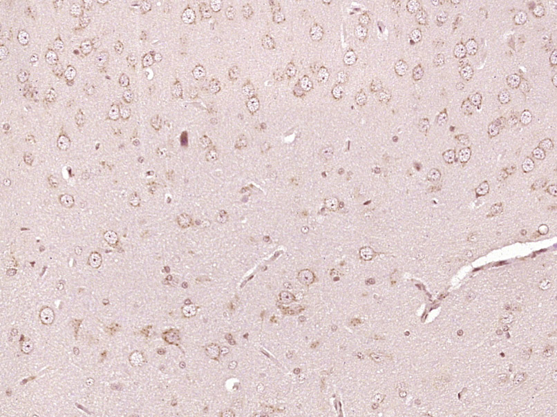
Paraformaldehyde-fixed, paraffin embedded (Mouse brain); Antigen retrieval by boiling in sodium citrate buffer (pH6.0) for 15min; Block endogenous peroxidase by 3% hydrogen peroxide for 20 minutes; Blocking buffer (normal goat serum) at 37°C for 30min; Antibody incubation with (PTS) Polyclonal Antibody, Unconjugated (bs-19592R) at 1:400 overnight at 4°C, followed by operating according to SP Kit(Rabbit) (sp-0023) instructionsand DAB staining.
版权所有 2004-2026 www.bioss.com.cn 北京博奥森生物技术有限公司
通过国际质量管理体系ISO 9001:2015 GB/T 19001-2016    证书编号: 00124Q34771R2M/1100
通过国际医疗器械-质量管理体系ISO 13485:2016 GB/T 42061-2022    证书编号: CQC24QY10047R0M/1100
京ICP备05066980号-1         京公网安备110107000727号