扫码关注公众号           扫码咨询技术支持           扫码咨询技术服务
  
客服热线:400-901-9800  客服QQ:4009019800  技术答疑  技术支持  质量反馈  关于我们  联系我们
产品中心-北京博奥森生物技术有限公司
首页 > 产品中心 > 一抗 > 产品信息
NFE2L1 Rabbit pAb (bs-19498R)  
订购热线:400-901-9800
订购邮箱:sales@bioss.com.cn
订购QQ:  400-901-9800
技术支持:techsupport@bioss.com.cn
50ul/1180.00元
100ul/1980.00元
200ul/2800.00元
大包装/询价

产品编号 bs-19498R
英文名称 NFE2L1 Rabbit pAb
中文名称 NFE2相关因子1抗体
别    名 Nuclear Factor Erythroid 2 Related Factor 1; erythroid derived 2; like 1; Locus control region factor 1; Locus control region-factor 1; NF-E2-related factor 1; NF2L1_HUMAN; NFE2 related factor 1; NFE2-related factor 1; NFE2L1; NRF1; Nuclear factor; Nuclear factor erythroid 2-related factor 1; Nuclear factor erythroid derived 2 like 1; TCF-11; TCF11; Transcription factor 11; Transcription factor HBZ17; Transcription factor LCR F1; Transcription factor LCR-F1.  
研究领域 细胞生物  染色质和核信号  转录调节因子  表观遗传学  
抗体来源 Rabbit
克隆类型 Polyclonal
克 隆 号
交叉反应 Mouse,Rat (predicted: Human,Rabbit)
产品应用 IHC-P=1:100-500,IHC-F=1:100-500,IF=1:100-500
not yet tested in other applications.
optimal dilutions/concentrations should be determined by the end user.
理论分子量 85 kDa
检测分子量
细胞定位 细胞核 
性    状 Liquid
浓    度 1mg/ml
免 疫 原 KLH conjugated synthetic peptide derived from human NFE2L1: 141-240/772 
亚    型 IgG
纯化方法 affinity purified by Protein A
缓 冲 液 0.01M TBS (pH7.4) with 1% BSA, 0.02% Proclin300 and 50% Glycerol.
保存条件 Shipped at 4℃. Store at -20℃ for one year. Avoid repeated freeze/thaw cycles.
注意事项 This product as supplied is intended for research use only, not for use in human, therapeutic or diagnostic applications.
PubMed PubMed
产品介绍 This gene encodes a protein that is involved in globin gene expression in erythrocytes. Confusion has occurred in bibliographic databases due to the shared symbol of NRF1 for this gene, NFE2L1, and for "nuclear respiratory factor 1" which has an official symbol of NRF1. [provided by RefSeq, Jul 2008]

Function:
Activates erythroid-specific, globin gene expression.

Subcellular Location:
Nucleus.

Similarity:
Belongs to the bZIP family. CNC subfamily.
Contains 1 bZIP domain.

SWISS:
Q14494

Gene ID:
4779

Database links:

Entrez Gene: 534582 Cow

Entrez Gene: 4779 Human

Entrez Gene: 403692 Dog

Entrez Gene: 18023 Mouse

Entrez Gene: 360610 Rat

Omim: 163260 Human

SwissProt: A5D7E9 Cow

SwissProt: Q14494 Human

SwissProt: Q61985 Mouse

Unigene: 514284 Human

Unigene: 6743 Mouse



产品图片
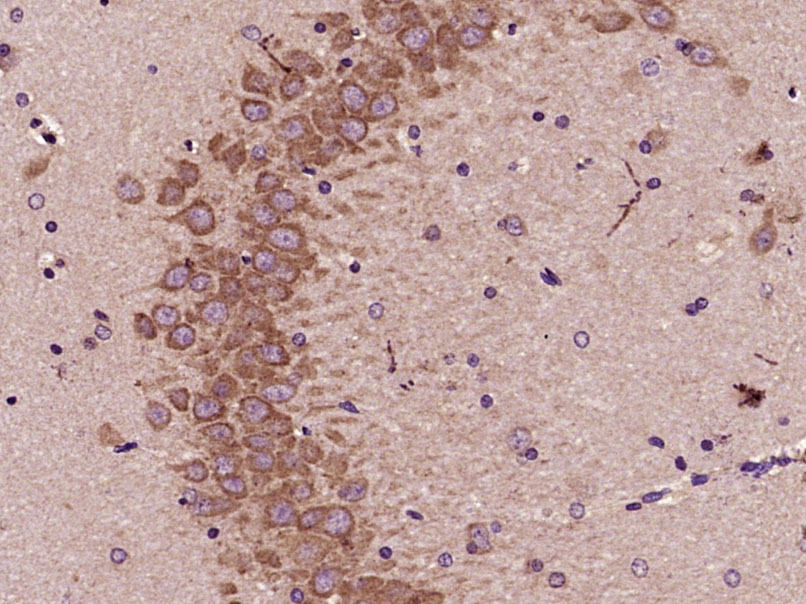
Paraformaldehyde-fixed, paraffin embedded (Mouse brain); Antigen retrieval by boiling in sodium citrate buffer (pH6.0) for 15min; Block endogenous peroxidase by 3% hydrogen peroxide for 20 minutes; Blocking buffer (normal goat serum) at 37°C for 30min; Antibody incubation with (NFE2L1) Polyclonal Antibody, Unconjugated (bs-19498R) at 1:400 overnight at 4°C, followed by operating according to SP Kit(Rabbit) (sp-0023) instructionsand DAB staining.
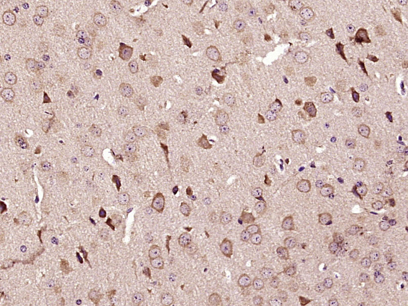
Paraformaldehyde-fixed, paraffin embedded (Rat brain); Antigen retrieval by boiling in sodium citrate buffer (pH6.0) for 15min; Block endogenous peroxidase by 3% hydrogen peroxide for 20 minutes; Blocking buffer (normal goat serum) at 37°C for 30min; Antibody incubation with (NFE2L1) Polyclonal Antibody, Unconjugated (bs-19498R) at 1:400 overnight at 4°C, followed by operating according to SP Kit(Rabbit) (sp-0023) instructionsand DAB staining.
版权所有 2004-2026 www.bioss.com.cn 北京博奥森生物技术有限公司
通过国际质量管理体系ISO 9001:2015 GB/T 19001-2016    证书编号: 00124Q34771R2M/1100
通过国际医疗器械-质量管理体系ISO 13485:2016 GB/T 42061-2022     证书编号: CQC24QY20047R0M/1100
京ICP备05066980号-1         京公网安备110107000727号