扫码关注公众号           扫码咨询技术支持           扫码咨询技术服务
  
客服热线:400-901-9800  客服QQ:4009019800  技术答疑  技术支持  质量反馈  关于我们  联系我们
产品中心-北京博奥森生物技术有限公司
首页 > 产品中心 > 一抗 > 产品信息
Neural retinal specific leucine zipper/NRL Rabbit pAb (bs-19351R)  
订购热线:400-901-9800
订购邮箱:sales@bioss.com.cn
订购QQ:  400-901-9800
技术支持:techsupport@bioss.com.cn
50ul/1180.00元
100ul/1980.00元
200ul/2800.00元
大包装/询价

产品编号 bs-19351R
英文名称 Neural retinal specific leucine zipper/NRL Rabbit pAb
中文名称 神经视网膜特定亮氨酸拉链蛋白抗体
别    名 D14S46E; Neural retina-specific leucine zipper protein; Neural retinal specific leucine zipper; NRL; NRL MAF; NRL_HUMAN; RP27.  
研究领域 细胞生物  神经生物学  转录调节因子  表观遗传学  
抗体来源 Rabbit
克隆类型 Polyclonal
克 隆 号
交叉反应 Human,Rat (predicted: Mouse,Rabbit,Pig,Sheep,Cow,Dog)
产品应用 WB=1:500-2000,IHC-P=1:100-500,IHC-F=1:100-500,IF=1:100-500
not yet tested in other applications.
optimal dilutions/concentrations should be determined by the end user.
理论分子量 26 kDa
检测分子量
细胞定位 细胞核 
性    状 Liquid
浓    度 1mg/ml
免 疫 原 KLH conjugated synthetic peptide derived from human Neural retinal specific leucine zipper/NRL: 151-237/237 
亚    型 IgG
纯化方法 affinity purified by Protein A
缓 冲 液 0.01M TBS (pH7.4) with 1% BSA, 0.02% Proclin300 and 50% Glycerol.
保存条件 Shipped at 4℃. Store at -20℃ for one year. Avoid repeated freeze/thaw cycles.
注意事项 This product as supplied is intended for research use only, not for use in human, therapeutic or diagnostic applications.
PubMed PubMed
产品介绍 This gene encodes a basic motif-leucine zipper transcription factor of the Maf subfamily. The encoded protein is conserved among vertebrates and is a critical intrinsic regulator of photoceptor development and function. Mutations in this gene have been associated with retinitis pigmentosa and retinal degenerative diseases. [provided by RefSeq, Jul 2008]

Function:
Transcription factor which regulates the expression of several rod-specific genes, in cluding RHO and PDE6B.

Subcellular Location:
Nucleus.

Tissue Specificity:
Neural retina.

DISEASE:
Defects in NRL are the cause of retinitis pigmentosa type 27 (RP27) [MIM:162080]. RP leads to degeneration of retinal photoreceptor cells. Patients typically have night vision blindness and loss of midperipheral visual field. As their condition progresses, they lose their far peripheral visual field and eventually central vision as well. RP27 inheritance is autosomal dominant.

Similarity:
Belongs to the bZIP family.
Contains 1 bZIP domain.

SWISS:
P54845

Gene ID:
4901

Database links:

Entrez Gene: 4901 Human

Entrez Gene: 18185 Mouse

Omim: 162080 Human

SwissProt: P54845 Human

SwissProt: P54846 Mouse

Unigene: 652297 Human

Unigene: 20422 Mouse



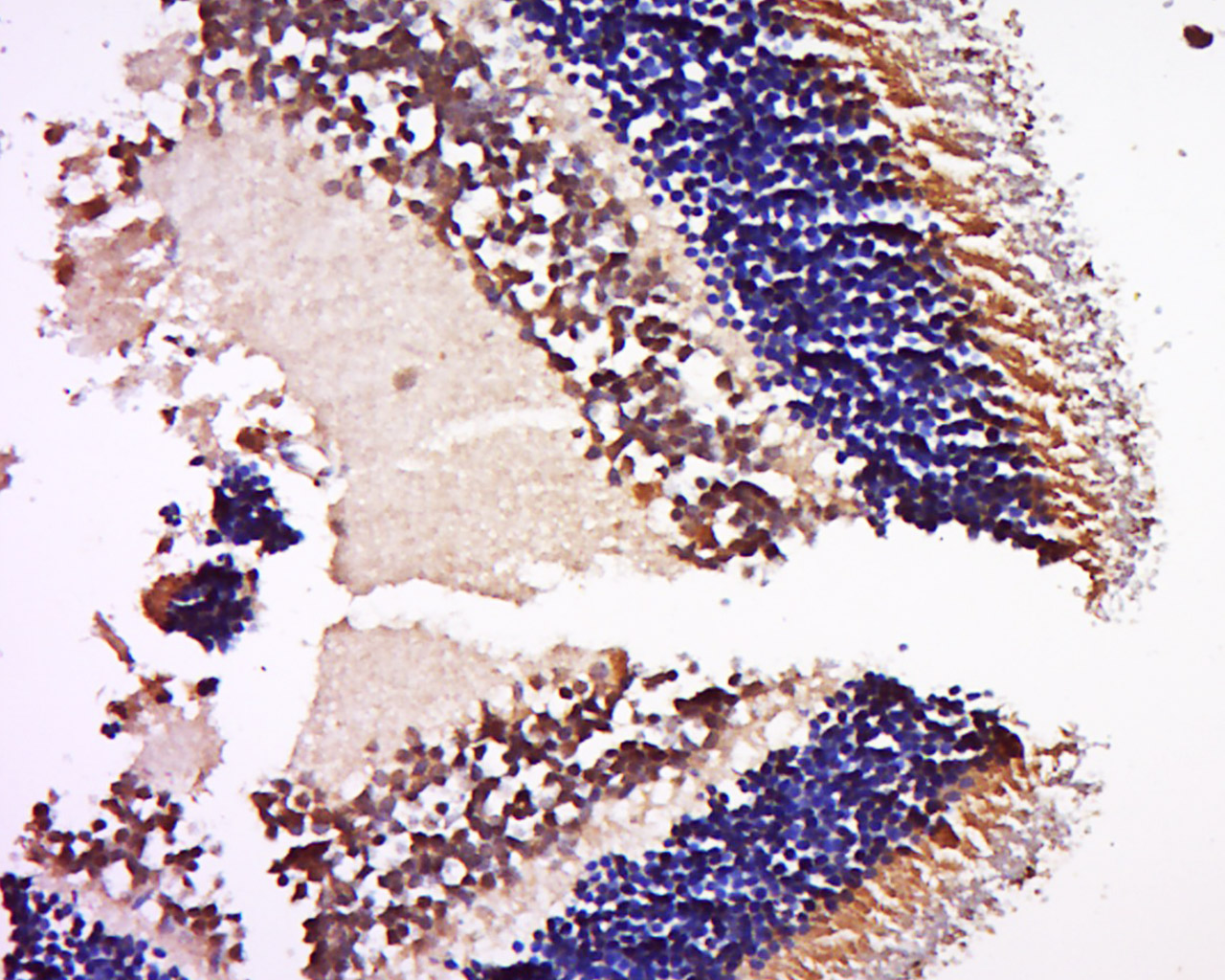
产品图片
Sample: Raji (human)cell Lysate at 40 ug Primary: Anti-NRL(bs-19351R) at 1/300 dilution Secondary: IRDye800CW Goat Anti-Rabbit IgG at 1/20000 dilution Predicted band size: 26 kD Observed band size: 30 kD
Tissue/cell: Rat eye tissue; 4% Paraformaldehyde-fixed and paraffin-embedded; Antigen retrieval: citrate buffer ( 0.01M, pH 6.0 ), Boiling bathing for 15min; Block endogenous peroxidase by 3% Hydrogen peroxide for 30min; Blocking buffer (normal goat serum,C-0005) at 37∩ for 20 min; Incubation: Anti-NRL Polyclonal Antibody, Unconjugated(bs-19351R) 1:500, overnight at 4∑C, followed by conjugation to the secondary antibody(SP-0023) and DAB(C-0010) staining
版权所有 2004-2026 www.bioss.com.cn 北京博奥森生物技术有限公司
通过国际质量管理体系ISO 9001:2015 GB/T 19001-2016    证书编号: 00124Q34771R2M/1100
通过国际医疗器械-质量管理体系ISO 13485:2016 GB/T 42061-2022     证书编号: CQC24QY20047R0M/1100
京ICP备05066980号-1         京公网安备110107000727号