扫码关注公众号           扫码咨询技术支持           扫码咨询技术服务
  
客服热线:400-901-9800  客服QQ:4009019800  技术答疑  技术支持  质量反馈  关于我们  联系我们
产品中心-北京博奥森生物技术有限公司
首页 > 产品中心 > 一抗 > 产品信息
NPAS2 Rabbit pAb (bs-19324R)  
订购热线:400-901-9800
订购邮箱:sales@bioss.com.cn
订购QQ:  400-901-9800
技术支持:techsupport@bioss.com.cn
50ul/1180.00元
100ul/1980.00元
200ul/2800.00元
大包装/询价

产品编号 bs-19324R
英文名称 NPAS2 Rabbit pAb
中文名称 神经细胞PAS结构域蛋白2抗体
别    名 Basic helix loop helix PAS protein MOP4; Basic-helix-loop-helix-PAS protein MOP4; bHLHe9; class E basic helix loop helix protein 9; Class E basic helix-loop-helix protein 9; FLJ23138; Member of PAS protein 4; Member of PAS superfamily 4; MGC71151; MOP4; Neuronal PAS domain containing protein 2; Neuronal PAS domain protein 2; Neuronal PAS domain-containing protein 2; Neuronal PAS2; NPAS2; NPAS2_HUMAN; PAS domain containing protein 4; PAS domain-containing protein 4; PASD4.  
Specific References  (1)     |     bs-19324R has been referenced in 1 publications.
[IF=4.315] Tong Xu. et al. A signature of circadian rhythm genes in driving anaplastic thyroid carcinoma malignant progression. CELL SIGNAL. 2022 Jul;95:110332  WB,IHC ;  Human.  
研究领域 细胞生物  神经生物学  转录调节因子  表观遗传学  
抗体来源 Rabbit
克隆类型 Polyclonal
克 隆 号
交叉反应 Human,Rat (predicted: Mouse,Dog)
产品应用 WB=1:500-2000,IHC-P=1:100-500,IHC-F=1:100-500,IF=1:100-500
not yet tested in other applications.
optimal dilutions/concentrations should be determined by the end user.
理论分子量 92 kDa
检测分子量
细胞定位 细胞核 
性    状 Liquid
浓    度 1mg/ml
免 疫 原 KLH conjugated synthetic peptide derived from human NPAS2: 631-730/824 
亚    型 IgG
纯化方法 affinity purified by Protein A
缓 冲 液 0.01M TBS (pH7.4) with 1% BSA, 0.02% Proclin300 and 50% Glycerol.
保存条件 Shipped at 4℃. Store at -20℃ for one year. Avoid repeated freeze/thaw cycles.
注意事项 This product as supplied is intended for research use only, not for use in human, therapeutic or diagnostic applications.
PubMed PubMed
产品介绍 The protein encoded by this gene is a member of the basic helix-loop-helix (bHLH)-PAS family of transcription factors. A similar mouse protein may play a regulatory role in the acquisition of specific types of memory. It also may function as a part of a molecular clock operative in the mammalian forebrain. [proBMAL1-NPAS2 heterodimers activate E-box element (3'-CACGTG-5') transcription of a number of proteins of the circadian clock. This transcription is inhibited in a feedback loop by PER, and also by CRY proteins.vided by RefSeq, Jul 2008]

Function:
Transcriptional activator which forms a core component of the circadian clock. The circadian clock, an internal time-keeping system, regulates various physiological processes through the generation of approximately 24 hour circadian rhythms in gene expression, which are translated into rhythms in metabolism and behavior. It is derived from the Latin roots 'circa' (about) and 'diem' (day) and acts as an important regulator of a wide array of physiological functions including metabolism, sleep, body temperature, blood pressure, endocrine, immune, cardiovascular, and renal function. Consists of two major components: the central clock, residing in the suprachiasmatic nucleus (SCN) of the brain, and the peripheral clocks that are present in nearly every tissue and organ system. Both the central and peripheral clocks can be reset by environmental cues, also known as Zeitgebers (German for 'timegivers'). The predominant Zeitgeber for the central clock is light, which is sensed by retina and signals directly to the SCN. The central clock entrains the peripheral clocks through neuronal and hormonal signals, body temperature and feeding-related cues, aligning all clocks with the external light/dark cycle. Circadian rhythms allow an organism to achieve temporal homeostasis with its environment at the molecular level by regulating gene expression to create a peak of protein expression once every 24 hours to control when a particular physiological process is most active with respect to the solar day. Transcription and translation of core clock components (CLOCK, NPAS2, ARNTL/BMAL1, ARNTL2/BMAL2, PER1, PER2, PER3, CRY1 and CRY2) plays a critical role in rhythm generation, whereas delays imposed by post-translational modifications (PTMs) are important for determining the period (tau) of the rhythms (tau refers to the period of a rhythm and is the length, in time, of one complete cycle). A diurnal rhythm is synchronized with the day/night cycle, while the ultradian and infradian rhythms have a period shorter and longer than 24 hours, respectively. Disruptions in the circadian rhythms contribute to the pathology of cardiovascular diseases, cancer, metabolic syndromes and aging. A transcription/translation feedback loop (TTFL) forms the core of the molecular circadian clock mechanism. Transcription factors, CLOCK or NPAS2 and ARNTL/BMAL1 or ARNTL2/BMAL2, form the positive limb of the feedback loop, act in the form of a heterodimer and activate the transcription of core clock genes and clock-controlled genes (involved in key metabolic processes), harboring E-box elements (5'-CACGTG-3') within their promoters. The core clock genes: PER1/2/3 and CRY1/2 which are transcriptional repressors form the negative limb of the feedback loop and interact with the CLOCK|NPAS2-ARNTL/BMAL1|ARNTL2/BMAL2 heterodimer inhibiting its activity and thereby negatively regulating their own expression. This heterodimer also activates nuclear receptors NR1D1/2 and RORA/B/G, which form a second feedback loop and which activate and repress ARNTL/BMAL1 transcription, respectively. The NPAS2-ARNTL/BMAL1 heterodimer positively regulates the expression of MAOA, F7 and LDHA and modulates the circadian rhythm of daytime contrast sensitivity by regulating the rhythmic expression of adenylate cyclase type 1 (ADCY1) in the retina. NPAS2 plays an important role in sleep homeostasis and in maintaining circadian behaviors in normal light/dark and feeding conditions and in the effective synchronization of feeding behavior with scheduled food availability. Regulates the gene transcription of key metabolic pathways in the liver and is involved in DNA damage response by regulating several cell cycle and DNA repair genes.

Subunit:
Component of the circadian clock oscillator which includes the CRY proteins, CLOCK or NPAS2, ARNTL/BMAL1 or ARNTL2/BMAL2, CSNK1D and/or CSNK1E, TIMELESS and the PER proteins. Efficient DNA binding requires dimerization with another Bhlh protein. Forms a heterodimer with ARNTL/BMAL1 and this heterodimerization is required for E-box-dependent transactivation. Interacts with NCOA3, KAT2B, CREBBP and EP300.

Subcellular Location:
Nucleus.

Similarity:
Contains 1 basic helix-loop-helix (bHLH) domain.
Contains 1 PAC (PAS-associated C-terminal) domain.
Contains 2 PAS (PER-ARNT-SIM) domains.

Gene ID:
4862

Database links:

Entrez Gene: 4862 Human

Entrez Gene: 18143 Mouse

Omim: 603347 Human

SwissProt: Q99743 Human

SwissProt: P97460 Mouse

Unigene: 156832 Human

Unigene: 705895 Human

Unigene: 2380 Mouse



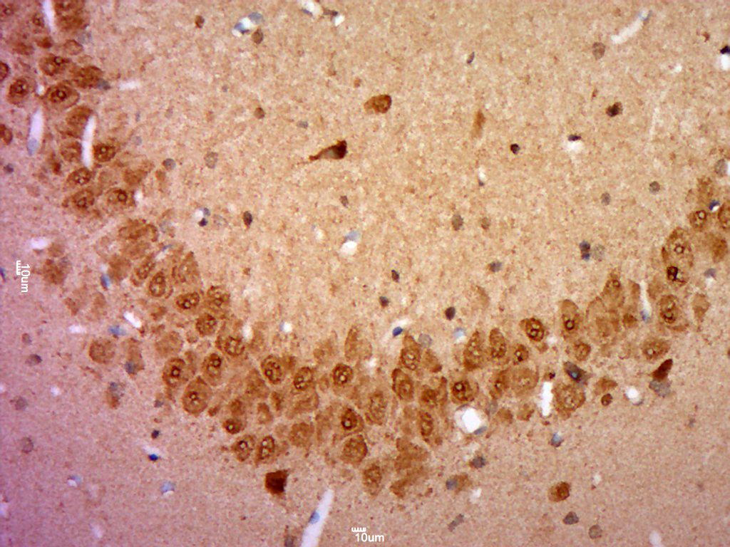
产品图片
Sample: Lane 1: Human A549 cell lysates Lane 2: Human HepG2 cell lysates Lane 3: Human HeLa cell lysates Lane 4: Human MCF-7 cell lysates Primary: Anti-NPAS2 (bs-19324R) at 1/1000 dilution Secondary: IRDye800CW Goat Anti-Rabbit IgG at 1/20000 dilution Predicted band size: 92 kDa Observed band size: 105 kDa
Paraformaldehyde-fixed, paraffin embedded (Rat brain); Antigen retrieval by boiling in sodium citrate buffer (pH6.0) for 15min; Block endogenous peroxidase by 3% hydrogen peroxide for 20 minutes; Blocking buffer (normal goat serum) at 37°C for 30min; Antibody incubation with (Neuronal PAS domain-containing protein 2; NPAS2) Polyclonal Antibody, Unconjugated (bs-19324R) at 1:400 overnight at 4°C, followed by a conjugated secondary (sp-0023) for 20 minutes and DAB staining.
版权所有 2004-2026 www.bioss.com.cn 北京博奥森生物技术有限公司
通过国际质量管理体系ISO 9001:2015 GB/T 19001-2016    证书编号: 00124Q34771R2M/1100
通过国际医疗器械-质量管理体系ISO 13485:2016 GB/T 42061-2022     证书编号: CQC24QY20047R0M/1100
京ICP备05066980号-1         京公网安备110107000727号