扫码关注公众号           扫码咨询技术支持           扫码咨询技术服务
  
客服热线:400-901-9800  客服QQ:4009019800  技术答疑  技术支持  质量反馈  关于我们  联系我们
产品中心-北京博奥森生物技术有限公司
首页 > 产品中心 > 一抗 > 产品信息
EDC4 Rabbit pAb (bs-10953R)  
订购热线:400-901-9800
订购邮箱:sales@bioss.com.cn
订购QQ:  400-901-9800
技术支持:techsupport@bioss.com.cn
50ul/1180.00元
100ul/1980.00元
200ul/2800.00元
大包装/询价

产品编号 bs-10953R
英文名称 EDC4 Rabbit pAb
中文名称 自身抗原EDC4抗体
别    名 GE1; Ge-1; HEDL5; HEDLS; RCD-8; RCD8; EDC4_HUMAN; EDC4; Autoantigen Ge-1; Autoantigen RCD-8; Human enhancer of decapping large subunit (Hedls); EDC4_MOUSE;   
研究领域 细胞生物  免疫学  
抗体来源 Rabbit
克隆类型 Polyclonal
克 隆 号
交叉反应 Human,Mouse,Rat (predicted: Rabbit,Pig,Sheep,Cow,Chicken,Dog)
产品应用 IHC-P=1:100-500,IHC-F=1:100-500,IF=1:100-500
not yet tested in other applications.
optimal dilutions/concentrations should be determined by the end user.
理论分子量 151 kDa
细胞定位 细胞核 细胞浆 
性    状 Liquid
浓    度 1mg/ml
免 疫 原 KLH conjugated synthetic peptide derived from human EDC4: 1-100/1401 
亚    型 IgG
纯化方法 affinity purified by Protein A
缓 冲 液 0.01M TBS (pH7.4) with 1% BSA, 0.02% Proclin300 and 50% Glycerol.
保存条件 Shipped at 4℃. Store at -20℃ for one year. Avoid repeated freeze/thaw cycles.
注意事项 This product as supplied is intended for research use only, not for use in human, therapeutic or diagnostic applications.
PubMed PubMed
产品介绍 The major eukaryotic mRNA decay pathway occurs through deadenylation, decapping, and 5' to 3' degradation of the mRNA. Decapping is a critical control point in this decay pathway. Edc4 (enhancer of mRNA decapping 4), also known as human enhancer of decapping large subunit (HEDLS), RCD-8 or Ge-1, is a 1,401 amino acid protein belonging to the WD repeat EDC4 family that is involved in mRNA decapping during mRNA degradation. As part of the mRNA degradation process, Edc4 becomes part of a complex that also contains hDcp1a, hDcp2a, RCK and Edc3. Localizing to P-body and cytoplasm, Edc4 contains a nuclear localization sequence (NLS) which enables it to selectively enter the nucleus as well. Edc4 becomes phosphorylated upon DNA damage and exists as two alternatively spliced isoforms that are encoded by a gene that maps to human chromosome 16q22.1.

Function:
In the process of mRNA degradation, seems to play a role in mRNA decapping. Component of a complex containing DCP2 and DCP1A which functions in decapping of ARE-containing mRNAs. Promotes complex formation between DCP1A and DCP2. Enhances the catalytic activity of DCP2 (in vitro).

Subunit:
Part of a decapping complex consisting of DCP1A, DCP2, EDC3, EDC4 and probably DDX6. Part of a complex consisting of DCP1A, EDC3, EDC4 and DDX6. Part of a complex consisting of DCP1B, EDC3, EDC4 and DDX6. Interacts with DCP2.

Subcellular Location:
Cytoplasm; P-body. Nucleus.

Post-translational modifications:
Phosphorylated upon DNA damage, probably by ATM or ATR.

Similarity:
Belongs to the WD repeat EDC4 family.
Contains 4 WD repeats.

SWISS:
Q6P2E9

Gene ID:
23644

Database links:

Entrez Gene: 23644 Human

Entrez Gene: 234699 Mouse

Entrez Gene: 701393 Rhesus monkey

Omim: 606030 Human

SwissProt: Q6P2E9 Human

SwissProt: Q3UJB9 Mouse

Unigene: 75682 Human

Unigene: 28979 Mouse



产品图片
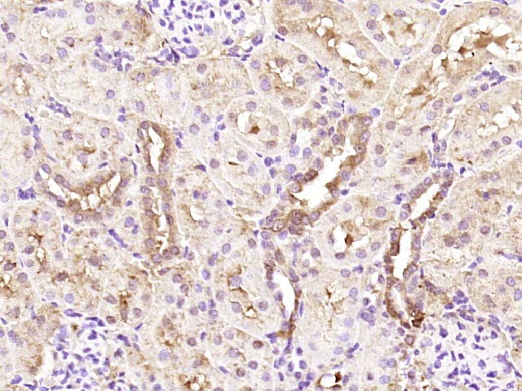
Paraformaldehyde-fixed, paraffin embedded (mouse kidney); Antigen retrieval by boiling in sodium citrate buffer (pH6.0) for 15min; Block endogenous peroxidase by 3% hydrogen peroxide for 20 minutes; Blocking buffer (normal goat serum) at 37°C for 30min; Antibody incubation with (EDC4) Polyclonal Antibody, Unconjugated (bs-10953R) at 1:200 overnight at 4°C, followed by operating according to SP Kit(Rabbit) (sp-0023) instructionsand DAB staining.
Paraformaldehyde-fixed, paraffin embedded (human tonsil); Antigen retrieval by boiling in sodium citrate buffer (pH6.0) for 15min; Block endogenous peroxidase by 3% hydrogen peroxide for 20 minutes; Blocking buffer (normal goat serum) at 37°C for 30min; Antibody incubation with (EDC4) Polyclonal Antibody, Unconjugated (bs-10953R) at 1:200 overnight at 4°C, followed by operating according to SP Kit(Rabbit) (sp-0023) instructionsand DAB staining.
Paraformaldehyde-fixed, paraffin embedded (rat kidney); Antigen retrieval by boiling in sodium citrate buffer (pH6.0) for 15min; Block endogenous peroxidase by 3% hydrogen peroxide for 20 minutes; Blocking buffer (normal goat serum) at 37°C for 30min; Antibody incubation with (EDC4) Polyclonal Antibody, Unconjugated (bs-10953R) at 1:200 overnight at 4°C, followed by operating according to SP Kit(Rabbit) (sp-0023) instructionsand DAB staining.
版权所有 2004-2026 www.bioss.com.cn 北京博奥森生物技术有限公司
通过国际质量管理体系ISO 9001:2015 GB/T 19001-2016    证书编号: 00124Q34771R2M/1100
通过国际医疗器械-质量管理体系ISO 13485:2016 GB/T 42061-2022     证书编号: CQC24QY20047R0M/1100
京ICP备05066980号-1         京公网安备110107000727号