扫码关注公众号           扫码咨询技术支持           扫码咨询技术服务
  
客服热线:400-901-9800  客服QQ:4009019800  技术答疑  技术支持  质量反馈  关于我们  联系我们
产品中心-北京博奥森生物技术有限公司
首页 > 产品中心 > 一抗 > 产品信息
NR1D1 Rabbit pAb (bs-20222R)  
订购热线:400-901-9800
订购邮箱:sales@bioss.com.cn
订购QQ:  400-901-9800
技术支持:techsupport@bioss.com.cn
50ul/1180.00元
100ul/1980.00元
200ul/2800.00元
大包装/询价

产品编号 bs-20222R
英文名称 NR1D1 Rabbit pAb
中文名称 细胞核受体Rev-Erbα抗体
别    名 EAR-1; EAR1; ERBA-RELATED 1; hRev; Nr1d1; NR1D1_HUMAN; Nuclear Receptor Rev-ErbA alpha; Nuclear receptor subfamily 1 group D member 1; Orphan nuclear receptor NR1D1; Rev erbAalpha; Rev erbalpha; Rev-erbA-alpha; Rev-ErbAalpha; REV-ERBalpha; THRA1; THRAL; Thyroid hormone receptor alpha-like; Thyroid hormone receptor, alpha like; V-erbA related protein EAR-1; V-erbA-related protein 1.  
研究领域 细胞生物  免疫学  神经生物学  信号转导  表观遗传学  
抗体来源 Rabbit
克隆类型 Polyclonal
克 隆 号
交叉反应 Human,Rat (predicted: Mouse,Rabbit,Dog,Horse)
产品应用 IHC-P=1:100-500,IHC-F=1:100-500,IF=1:100-500,Flow-Cyt=1ug/Test
not yet tested in other applications.
optimal dilutions/concentrations should be determined by the end user.
理论分子量 67 kDa
检测分子量
细胞定位 细胞核 细胞浆 
性    状 Liquid
浓    度 1mg/ml
免 疫 原 KLH conjugated synthetic peptide derived from human NR1D1: 61-150/614 
亚    型 IgG
纯化方法 affinity purified by Protein A
缓 冲 液 0.01M TBS (pH7.4) with 1% BSA, 0.02% Proclin300 and 50% Glycerol.
保存条件 Shipped at 4℃. Store at -20℃ for one year. Avoid repeated freeze/thaw cycles.
注意事项 This product as supplied is intended for research use only, not for use in human, therapeutic or diagnostic applications.
PubMed PubMed
产品介绍 NR1D1, a NR1 Thyroid Hormone-Like Receptor, is encoded by the same genomic locus as, but transcribed from the opposite strand of, Thyroid Hormone Receptor Alpha (TR Alpha). NR1D1 is a target of Nuclear Receptor ROR Alpha and a transcription regulator that has been shown to affect myocyte differentiation, adipogenesis, and lipoprotein metabolism. Mice lacking NR1D1 show abnormal postnatal cerebellar development. NR1D1 expression has been documented in human skeletal muscle and a variety of mouse and rat tissues. ESTs have been isolated from human tissue libraries, including cancerous adrenal, blood, brain, breast, colon, duodenum, fetus, head/neck, kidney, lung, skeletal muscle, skin, synovium, uterus, normal brain, breast, colon, eye, heart, pancreas, pituitary, prostate, skeletal muscle, skin, testis and thyroid.

Function:
Functions as a constitutive transcriptional repressor. In collaboration with SP1, activates GJA1 transcription. Possible receptor for triiodothyronine.

Subunit:
Interacts with C1D and NR2E3. Interacts with SP1.

Subcellular Location:
Nucleus (Potential).

Tissue Specificity:
Expressed in all tissues and cell lines examined. Expressed at high levels in some squamous carcinoma cell lines.

Similarity:
Belongs to the nuclear hormone receptor family. NR1 subfamily.
Contains 1 nuclear receptor DNA-binding domain.

Gene ID:
9572

Database links:

Entrez Gene: 9572 Human

Entrez Gene: 768225 Cow

Entrez Gene: 217166 Mouse

Entrez Gene: 252917 Rat

Omim: 602408 Human

SwissProt: Q08E02 Cow

SwissProt: P20393 Human

SwissProt: Q3UV55 Mouse

SwissProt: Q63503 Rat

Unigene: 592130 Human

Unigene: 724 Human

Unigene: 390397 Mouse

Unigene: 29848 Rat



产品图片
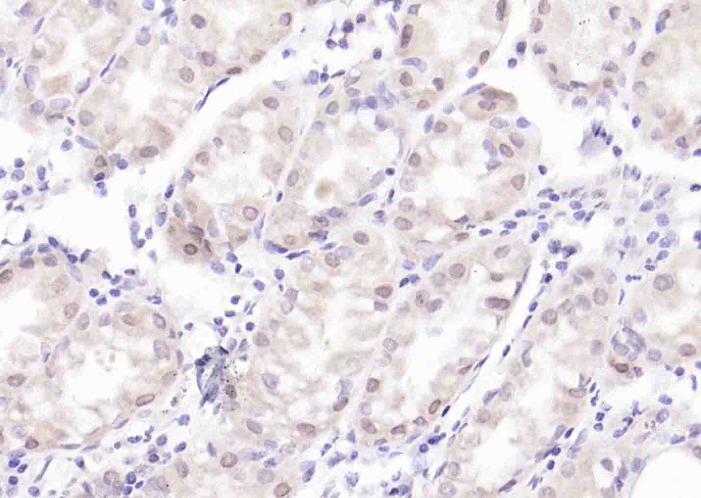
Paraformaldehyde-fixed, paraffin embedded (human stomach); Antigen retrieval by boiling in sodium citrate buffer (pH6.0) for 15min; Block endogenous peroxidase by 3% hydrogen peroxide for 20 minutes; Blocking buffer (normal goat serum) at 37°C for 30min; Antibody incubation with (NR1D1) Polyclonal Antibody, Unconjugated (bs-20222R) at 1:200 overnight at 4°C, followed by operating according to SP Kit(Rabbit) (sp-0023) instructionsand DAB staining.
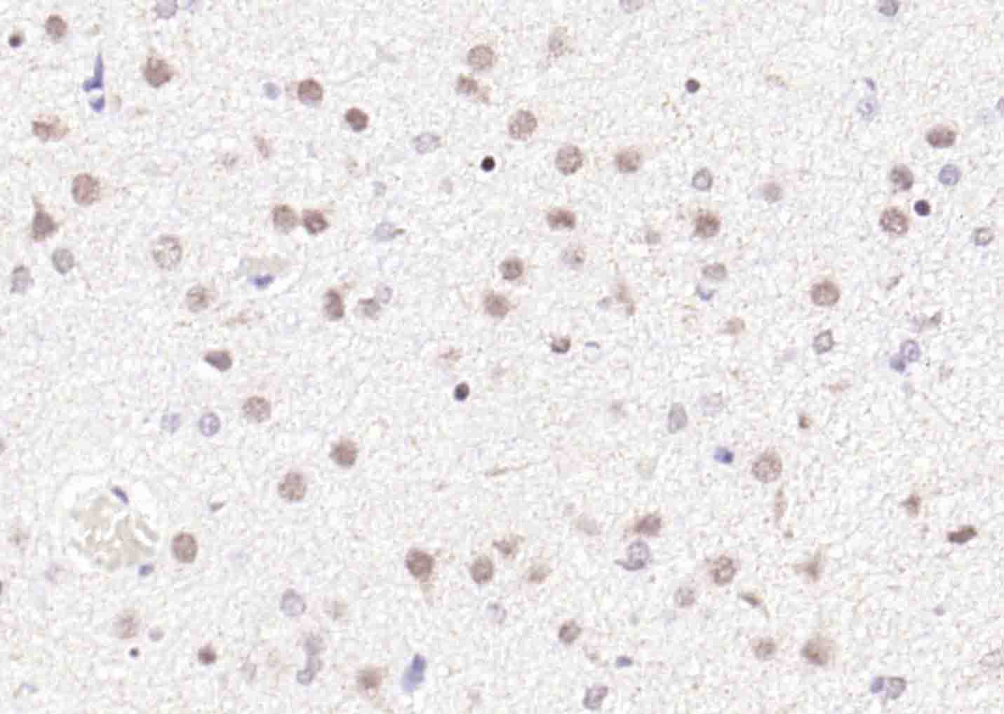
Paraformaldehyde-fixed, paraffin embedded (Rat hypothalamus); Antigen retrieval by boiling in sodium citrate buffer (pH6.0) for 15min; Block endogenous peroxidase by 3% hydrogen peroxide for 20 minutes; Blocking buffer (normal goat serum) at 37°C for 30min; Antibody incubation with (NR1D1) Polyclonal Antibody, Unconjugated (bs-20222R) at 1:200 overnight at 4°C, followed by operating according to SP Kit(Rabbit) (sp-0023) instructionsand DAB staining.
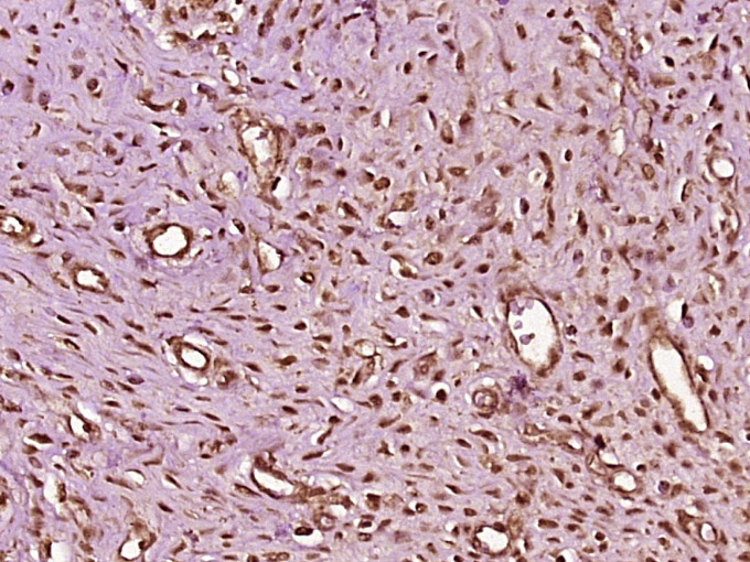
Paraformaldehyde-fixed, paraffin embedded (rat uterus tissue); Antigen retrieval by boiling in sodium citrate buffer (pH6.0) for 15min; Block endogenous peroxidase by 3% hydrogen peroxide for 20 minutes; Blocking buffer (normal goat serum) at 37°C for 30min; Antibody incubation with (NR1D1) Polyclonal Antibody, Unconjugated (bs-20222R) at 1:400 overnight at 4°C, followed by operating according to SP Kit(Rabbit) (sp-0023) instructionsand DAB staining.
Blank control(black line):Hela. Primary Antibody (green line): Rabbit Anti-NR1D1 antibody (bs-20222R) Dilution:1ug/Test; Secondary Antibody(white blue line): Goat anti-rabbit IgG-AF488 Dilution: 0.5ug/Test. Isotype control(orange line): Normal Rabbit IgG Protocol The cells were fixed with 4% PFA (10min at room temperature)and then permeabilized with 90% ice-cold methanol for 20 min at -20℃, The cells were then incubated in 5%BSA to block non-specific protein-protein interactions for 30 min at room temperature .Cells stained with Primary Antibody for 30 min at room temperature. The secondary antibody used for 40 min at room temperature. Acquisition of 20,000 events was performed.
版权所有 2004-2026 www.bioss.com.cn 北京博奥森生物技术有限公司
通过国际质量管理体系ISO 9001:2015 GB/T 19001-2016    证书编号: 00124Q34771R2M/1100
通过国际医疗器械-质量管理体系ISO 13485:2016 GB/T 42061-2022     证书编号: CQC24QY20047R0M/1100
京ICP备05066980号-1         京公网安备110107000727号