扫码关注公众号           扫码咨询技术支持           扫码咨询技术服务
  
客服热线:400-901-9800  客服QQ:4009019800  技术答疑  技术支持  质量反馈  人才招聘  关于我们  联系我们
产品中心-北京博奥森生物技术有限公司
首页 > 产品中心 > 一抗 > 产品信息
MYO16 Rabbit pAb (bs-19164R)  
订购热线:400-901-9800
订购邮箱:sales@bioss.com.cn
订购QQ:  400-901-9800
技术支持:techsupport@bioss.com.cn
50ul/1180.00元
100ul/1980.00元
200ul/2800.00元
大包装/询价

产品编号 bs-19164R
英文名称 MYO16 Rabbit pAb
中文名称 肌球蛋白16/Myosin XVI抗体
别    名 MYAP3; MYR8; Myo16b; NYAP3; PPP1R107; C230040D10Rik; Gm1105; mKIAA0865; MYO16_HUMAN; MYO16; Neuronal tyrosine-phosphorylated phosphoinositide-3-kinase adapter 3; Unconventional myosin-16; KIAA0865; MYO16_MOUSE; MYO16_RAT; Myosin heavy chain myr 8;   
研究领域 细胞生物  信号转导  
抗体来源 Rabbit
克隆类型 Polyclonal
克 隆 号
交叉反应 Mouse,Rat (predicted: Human,Zebrafish,Chicken,Fruit Fly)
产品应用 WB=1:500-2000,IHC-P=1:100-500,IHC-F=1:100-500,IF=1:100-500
not yet tested in other applications.
optimal dilutions/concentrations should be determined by the end user.
理论分子量 206 kDa
细胞定位 细胞浆 
性    状 Liquid
浓    度 1mg/ml
免 疫 原 KLH conjugated synthetic peptide derived from human MYO16: 1251-1350/1858 
亚    型 IgG
纯化方法 affinity purified by Protein A
缓 冲 液 0.01M TBS (pH7.4) with 1% BSA, 0.02% Proclin300 and 50% Glycerol.
保存条件 Shipped at 4℃. Store at -20℃ for one year. Avoid repeated freeze/thaw cycles.
注意事项 This product as supplied is intended for research use only, not for use in human, therapeutic or diagnostic applications.
PubMed PubMed
产品介绍 Myosin XVI is a 1,858 amino acid protein that localizes to the cytoplasm and contains one IQ domain, two myosin head-like domains and seven ANK repeats. Existing as an unconventional Myosin, Myosin XVI is involved in intracellular movements related to Actin filaments and is thought to interact specifically with PP1 alpha and PP1 gamma, possibly playing a role in PP1-associated brain development. Multiple isoforms of Myosin XVI exist due to alternative splicing events.

Subcellular Location:
Cytoplasm. Found in puncta in soma and processes of astrocytes and dissociated cerebellar cells with the morphology of migrating granule cells.

Similarity:
Contains 7 ANK repeats.
Contains 1 IQ domain.
Contains 2 myosin head-like domains.

SWISS:
Q9Y6X6

Gene ID:
23026

Database links:

Entrez Gene: 23026 Human

Entrez Gene: 244281 Mouse

Entrez Gene: 192253 Rat

SwissProt: Q9Y6X6 Human

SwissProt: Q5DU14 Mouse

SwissProt: Q9ERC1 Rat

Unigene: 656587 Human

Unigene: 422761 Mouse

Unigene: 207204 Rat



产品图片
Sample: Brain (Mouse) Lysate at 40 ug Brain (Rat) Lysate at 40 ug Primary: Anti-MYO16 (bs-19164R) at 1/300 dilution Secondary: IRDye800CW Goat Anti-Rabbit IgG at 1/20000 dilution Predicted band size: 206 kD Observed band size: 123 kD
Sample: Cerebrum (Mouse) Lysate at 40 ug Cerebrum (Rat) Lysate at 40 ug Primary: Anti-MYO16 (bs-19164R) at 1/300 dilution Secondary: IRDye800CW Goat Anti-Rabbit IgG at 1/20000 dilution Predicted band size: 206 kD Observed band size: 123 kD
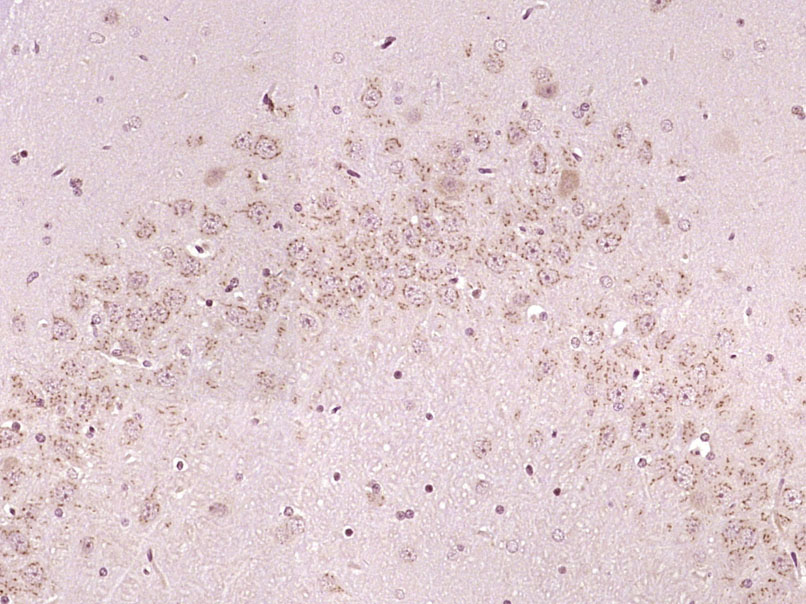
Paraformaldehyde-fixed, paraffin embedded (Rat brain); Antigen retrieval by boiling in sodium citrate buffer (pH6.0) for 15min; Block endogenous peroxidase by 3% hydrogen peroxide for 20 minutes; Blocking buffer (normal goat serum) at 37°C for 30min; Antibody incubation with (MYO16) Polyclonal Antibody, Unconjugated (bs-19164R) at 1:400 overnight at 4°C, followed by operating according to SP Kit(Rabbit) (sp-0023) instructionsand DAB staining.
版权所有 2004-2026 www.bioss.com.cn 北京博奥森生物技术有限公司
通过国际质量管理体系ISO 9001:2015 GB/T 19001-2016    证书编号: 00124Q34771R2M/1100
通过国际医疗器械-质量管理体系ISO 13485:2016 GB/T 42061-2022     证书编号: CQC24QY20047R0M/1100
京ICP备05066980号-1         京公网安备110107000727号