扫码关注公众号           扫码咨询技术支持           扫码咨询技术服务
  
客服热线:400-901-9800  客服QQ:4009019800  技术答疑  技术支持  质量反馈  关于我们  联系我们
产品中心-北京博奥森生物技术有限公司
首页 > 产品中心 > 一抗 > 产品信息
NCOA5 Rabbit pAb (bs-19052R)  
订购热线:400-901-9800
订购邮箱:sales@bioss.com.cn
订购QQ:  400-901-9800
技术支持:techsupport@bioss.com.cn
50ul/1180.00元
100ul/1980.00元
200ul/2800.00元
大包装/询价

产品编号 bs-19052R
英文名称 NCOA5 Rabbit pAb
中文名称 核受体共激活因子5抗体
别    名 bA465L10.6; CIA; Coactivator independent of AF 2; KIAA1637; MGC28864; NCoA 5; NCOA5; Nuclear receptor coactivator 5; OTTMUSP00000001057; RP23-61O3.13.  
研究领域 肿瘤  细胞生物  转录调节因子  表观遗传学  
抗体来源 Rabbit
克隆类型 Polyclonal
克 隆 号
交叉反应 Human,Mouse (predicted: Rat,Rabbit,Sheep,Cow,Dog,Horse,Ferret,Rhesus monkey,Gorilla, Orangutan,Elephant)
产品应用 IHC-P=1:100-500,IHC-F=1:100-500,IF=1:100-500
not yet tested in other applications.
optimal dilutions/concentrations should be determined by the end user.
理论分子量 66 kDa
检测分子量
细胞定位 细胞核 
性    状 Liquid
浓    度 1mg/ml
免 疫 原 KLH conjugated synthetic peptide derived from human NCOA5: 101-200/579 
亚    型 IgG
纯化方法 affinity purified by Protein A
缓 冲 液 0.01M TBS (pH7.4) with 1% BSA, 0.02% Proclin300 and 50% Glycerol.
保存条件 Shipped at 4℃. Store at -20℃ for one year. Avoid repeated freeze/thaw cycles.
注意事项 This product as supplied is intended for research use only, not for use in human, therapeutic or diagnostic applications.
PubMed PubMed
产品介绍 This gene encodes a coregulator for the alpha and beta estrogen receptors and the orphan nuclear receptor NR1D2. The protein localizes to the nucleus, and is thought to have both coactivator and corepressor functions. Its interaction with nuclear receptors is independent of the AF2 domain on the receptors, which is known to regulate interaction with other coreceptors. Two alternatively spliced transcript variants for this gene have been described. However, the full length nature of one of the variants has not been determined. [provided by RefSeq, Jul 2008]

Function:
Nuclear receptor coregulator that can have both coactivator and corepressor functions. Interacts with nuclear receptors for steroids (ESR1 and ESR2) independently of the steroid binding domain (AF-2) of the ESR receptors, and with the orphan nuclear receptor NR1D2. Involved in the coactivation of nuclear steroid receptors (ER) as well as the corepression of MYC in response to 17-beta-estradiol (E2).

Subunit:
Binds HTATIP2/TIP30. Interacts with YLPM1. Forms a complex with ILF2, ILF3, YLPM1, KHDRBS1, RBMX and PPP1CA.

Subcellular Location:
Nucleus.

Tissue Specificity:
Widely expressed.

SWISS:
Q9HCD5

Gene ID:
57727

Database links:

Entrez Gene: 57727 Human

SwissProt: Q9HCD5 Human

Unigene: 654991 Human



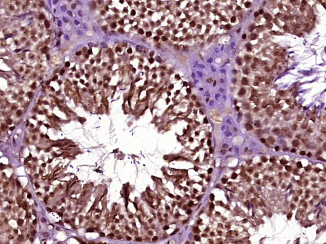
产品图片
Paraformaldehyde-fixed, paraffin embedded (mouse testis tissue); Antigen retrieval by boiling in sodium citrate buffer (pH6.0) for 15min; Block endogenous peroxidase by 3% hydrogen peroxide for 20 minutes; Blocking buffer (normal goat serum) at 37°C for 30min; Antibody incubation with (NCOA5) Polyclonal Antibody, Unconjugated (bs-19052R) at 1:400 overnight at 4°C, followed by operating according to SP Kit(Rabbit) (sp-0023) instructionsand DAB staining.
Paraformaldehyde-fixed, paraffin embedded (human brain glioma); Antigen retrieval by boiling in sodium citrate buffer (pH6.0) for 15min; Block endogenous peroxidase by 3% hydrogen peroxide for 20 minutes; Blocking buffer (normal goat serum) at 37°C for 30min; Antibody incubation with (NCOA5) Polyclonal Antibody, Unconjugated (bs-19052R) at 1:400 overnight at 4°C, followed by operating according to SP Kit(Rabbit) (sp-0023) instructionsand DAB staining.
版权所有 2004-2026 www.bioss.com.cn 北京博奥森生物技术有限公司
通过国际质量管理体系ISO 9001:2015 GB/T 19001-2016    证书编号: 00124Q34771R2M/1100
通过国际医疗器械-质量管理体系ISO 13485:2016 GB/T 42061-2022     证书编号: CQC24QY20047R0M/1100
京ICP备05066980号-1         京公网安备110107000727号