扫码关注公众号           扫码咨询技术支持           扫码咨询技术服务
  
客服热线:400-901-9800  客服QQ:4009019800  技术答疑  技术支持  质量反馈  关于我们  联系我们
产品中心-北京博奥森生物技术有限公司
首页 > 产品中心 > 一抗 > 产品信息
NASP Rabbit pAb (bs-19026R)  
订购热线:400-901-9800
订购邮箱:sales@bioss.com.cn
订购QQ:  400-901-9800
技术支持:techsupport@bioss.com.cn
50ul/1180.00元
100ul/1980.00元
200ul/2800.00元
大包装/询价

产品编号 bs-19026R
英文名称 NASP Rabbit pAb
中文名称 核自身抗原精子蛋白NASP抗体
别    名 5033430J04Rik; AI131596; AI317140; D4Ertd767e; DKFZp547F162; Epcs32; FLB7527; FLJ31599; FLJ35510; MGC19722; MGC20372; MGC2297; MGC93869; NASP; NASP_HUMAN; nuclear autoantigenic sperm protein(histone binding); Nuclear autoantigenic sperm protein; PRO1999; RP23 233B9.9.  
研究领域 肿瘤  细胞生物  免疫学  染色质和核信号  转录调节因子  表观遗传学  
抗体来源 Rabbit
克隆类型 Polyclonal
克 隆 号
交叉反应 Human,Rat (predicted: Mouse,Rabbit,Sheep,Cow,Horse)
产品应用 IHC-P=1:100-500,IHC-F=1:100-500,IF=1:100-500
not yet tested in other applications.
optimal dilutions/concentrations should be determined by the end user.
理论分子量 85 kDa
检测分子量
细胞定位 细胞核 细胞浆 
性    状 Liquid
浓    度 1mg/ml
免 疫 原 KLH conjugated synthetic peptide derived from human NASP: 2-100/788 
亚    型 IgG
纯化方法 affinity purified by Protein A
缓 冲 液 0.01M TBS (pH7.4) with 1% BSA, 0.02% Proclin300 and 50% Glycerol.
保存条件 Shipped at 4℃. Store at -20℃ for one year. Avoid repeated freeze/thaw cycles.
注意事项 This product as supplied is intended for research use only, not for use in human, therapeutic or diagnostic applications.
PubMed PubMed
产品介绍 This gene encodes a H1 histone binding protein that is involved in transporting histones into the nucleus of dividing cells. Multiple isoforms are encoded by transcript variants of this gene. The somatic form is expressed in all mitotic cells, is localized to the nucleus, and is coupled to the cell cycle. The testicular form is expressed in embryonic tissues, tumor cells, and the testis. In male germ cells, this protein is localized to the cytoplasm of primary spermatocytes, the nucleus of spermatids, and the periacrosomal region of mature spermatozoa. [provided by RefSeq, Jul 2008]

Function:
Required for DNA replication, normal cell cycle progression and cell proliferation. Forms a cytoplasmic complex with HSP90 and H1 linker histones and stimulates HSP90 ATPase activity. NASP and H1 histone are subsequently released from the complex and translocate to the nucleus where the histone is released for binding to DNA.

Subcellular Location:
Cytoplasm. Nucleus.

Tissue Specificity:
Isoform 1 is testis- and sperm-specific.

Post-translational modifications:
Phosphorylated upon DNA damage, probably by ATM or ATR.

Similarity:
Belongs to the NASP family.
Contains 3 TPR repeats.

SWISS:
P49321

Gene ID:
4678

Database links:

Entrez Gene: 4678 Human

Entrez Gene: 512427 Cow

Entrez Gene: 50927 Mouse

Entrez Gene: 100009592 Rabbit

Entrez Gene: 298441 Rat

Omim: 603185 Human

SwissProt: Q2T9P4 Cow

SwissProt: P49321 Human

SwissProt: Q99MD9 Mouse

SwissProt: P27123 Rabbit

SwissProt: Q66HD3 Rat

Unigene: 319334 Human

Unigene: 257181 Mouse

Unigene: 48344 Rat



产品图片
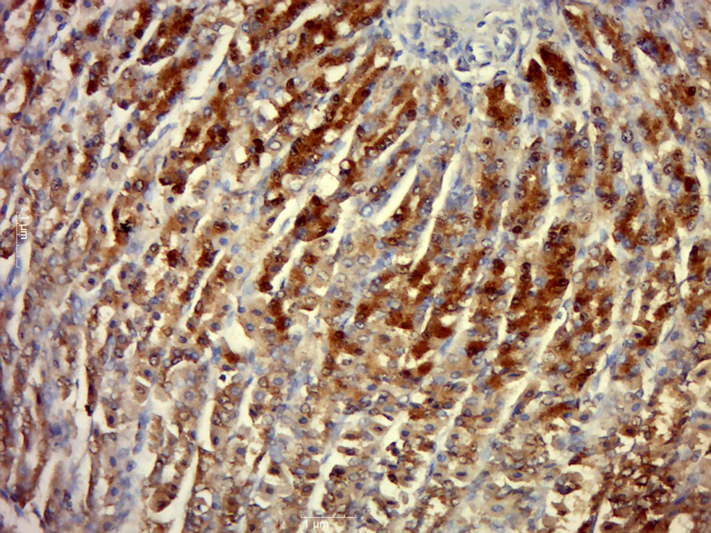
Paraformaldehyde-fixed, paraffin embedded Rat Testicles; Antigen retrieval by boiling in sodium citrate buffer (pH6.0) for 15 min; Antibody incubation with NASP Polyclonal Antibody, Unconjugated (bs-19026R) at 1:200 overnight at 4°C, followed by conjugation to the SP Kit (Rabbit, SP-0023) and DAB (C-0010) staining.
Paraformaldehyde-fixed, paraffin embedded (rat stomach); Antigen retrieval by boiling in sodium citrate buffer (pH6.0) for 15min; Block endogenous peroxidase by 3% hydrogen peroxide for 20 minutes; Blocking buffer (normal goat serum) at 37°C for 30min; Antibody incubation with (NASP) Polyclonal Antibody, Unconjugated (bs-19026R) at 1:400 overnight at 4°C, followed by a conjugated secondary (sp-0023) for 20 minutes and DAB staining.
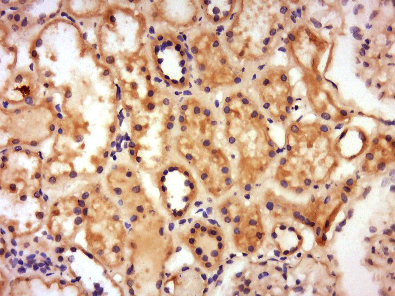
Tissue/cell: human kidney tissue; 4% Paraformaldehyde-fixed and paraffin-embedded; Antigen retrieval: citrate buffer ( 0.01M, pH 6.0 ), Boiling bathing for 15min; Block endogenous peroxidase by 3% Hydrogen peroxide for 30min; Blocking buffer (normal goat serum,C-0005) at 37℃ for 20 min; Incubation: Anti-NASP Polyclonal Antibody, Unconjugated(bs-19026R) 1:200, overnight at 4°C, followed by conjugation to the secondary antibody(SP-0023) and DAB(C-0010) staining
版权所有 2004-2026 www.bioss.com.cn 北京博奥森生物技术有限公司
通过国际质量管理体系ISO 9001:2015 GB/T 19001-2016    证书编号: 00124Q34771R2M/1100
通过国际医疗器械-质量管理体系ISO 13485:2016 GB/T 42061-2022     证书编号: CQC24QY20047R0M/1100
京ICP备05066980号-1         京公网安备110107000727号