扫码关注公众号           扫码咨询技术支持           扫码咨询技术服务
  
客服热线:400-901-9800  客服QQ:4009019800  技术答疑  技术支持  质量反馈  关于我们  联系我们
产品中心-北京博奥森生物技术有限公司
首页 > 产品中心 > 一抗 > 产品信息
RPS4Y1 Rabbit pAb (bs-18825R)  
订购热线:400-901-9800
订购邮箱:sales@bioss.com.cn
订购QQ:  400-901-9800
技术支持:techsupport@bioss.com.cn
50ul/1180.00元
100ul/1980.00元
200ul/2800.00元
大包装/询价

产品编号 bs-18825R
英文名称 RPS4Y1 Rabbit pAb
中文名称 核糖体蛋白S4Y抗体
别    名 40S ribosomal protein S4; 40S ribosomal protein S4, Y; 40S ribosomal protein S4, Y isoform 1; MGC119100; MGC5070; ribosomal protein S4, Y linked 1; ribosomal protein S4, Y linked; ribosomal protein S4, Y-linked 1; ribosomal protein S4Y; RPS4Y; RPS4Y1; RS4Y1_HUMAN; S4; Y isoform 1.  
研究领域 细胞生物  免疫学  转录调节因子  表观遗传学  
抗体来源 Rabbit
克隆类型 Polyclonal
克 隆 号
交叉反应 Human
产品应用 IHC-P=1:100-500,IHC-F=1:100-500,IF=1:100-500
not yet tested in other applications.
optimal dilutions/concentrations should be determined by the end user.
理论分子量 29 kDa
检测分子量
细胞定位 细胞核 细胞浆 
性    状 Liquid
浓    度 1mg/ml
免 疫 原 KLH conjugated synthetic peptide derived from human RPS4Y1: 121-220/263 
亚    型 IgG
纯化方法 affinity purified by Protein A
缓 冲 液 0.01M TBS (pH7.4) with 1% BSA, 0.02% Proclin300 and 50% Glycerol.
保存条件 Shipped at 4℃. Store at -20℃ for one year. Avoid repeated freeze/thaw cycles.
注意事项 This product as supplied is intended for research use only, not for use in human, therapeutic or diagnostic applications.
PubMed PubMed
产品介绍 Cytoplasmic ribosomes, organelles that catalyze protein synthesis, consist of a small 40S subunit and a large 60S subunit. Together these subunits are composed of 4 RNA species and approximately 80 structurally distinct proteins. This gene encodes ribosomal protein S4, a component of the 40S subunit. Ribosomal protein S4 is the only ribosomal protein known to be encoded by more than one gene, namely this gene and ribosomal protein S4, X-linked (RPS4X). The 2 isoforms encoded by these genes are not identical, but are functionally equivalent. Ribosomal protein S4 belongs to the S4E family of ribosomal proteins. It has been suggested that haploinsufficiency of the ribosomal protein S4 genes plays a role in Turner syndrome; however, this hypothesis is controversial. As is typical for genes encoding ribosomal proteins, there are multiple processed pseudogenes of this gene dispersed through the genome. [provided by RefSeq, Jul 2008]

Similarity:
Belongs to the ribosomal protein S4e family.Belongs to the ribosomal protein S4e family. Contains 1 S4 RNA-binding domain. Contains 1 S4 RNA-binding domain.

SWISS:
P22090

Gene ID:
6192

Database links:

Entrez Gene: 6192 Human

Omim: 470000 Human

SwissProt: P22090 Human

Unigene: 282376 Human



产品图片
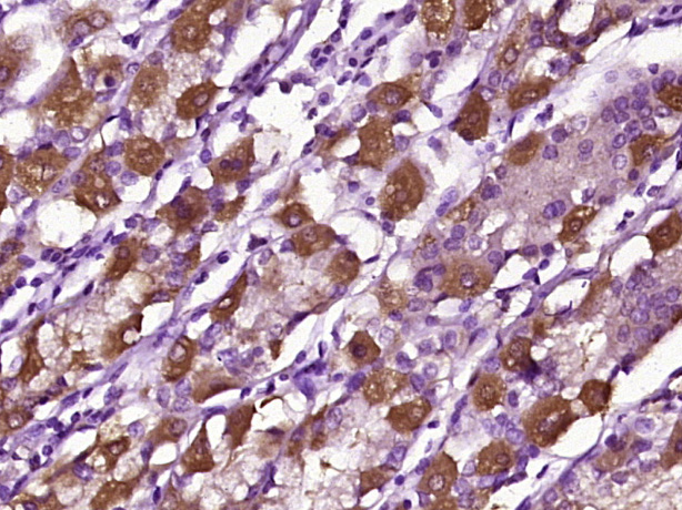
Paraformaldehyde-fixed, paraffin embedded (human stomach tissue); Antigen retrieval by boiling in sodium citrate buffer (pH6.0) for 15min; Block endogenous peroxidase by 3% hydrogen peroxide for 20 minutes; Blocking buffer (normal goat serum) at 37°C for 30min; Antibody incubation with (RPS4Y1) Polyclonal Antibody, Unconjugated (bs-18825R) at 1:400 overnight at 4°C, followed by operating according to SP Kit(Rabbit) (sp-0023) instructionsand DAB staining.
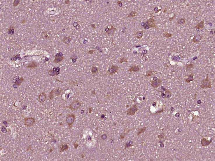
Paraformaldehyde-fixed, paraffin embedded (human brain glioma); Antigen retrieval by boiling in sodium citrate buffer (pH6.0) for 15min; Block endogenous peroxidase by 3% hydrogen peroxide for 20 minutes; Blocking buffer (normal goat serum) at 37°C for 30min; Antibody incubation with (RPS4Y1) Polyclonal Antibody, Unconjugated (bs-18825R) at 1:400 overnight at 4°C, followed by operating according to SP Kit(Rabbit) (sp-0023) instructionsand DAB staining.
版权所有 2004-2026 www.bioss.com.cn 北京博奥森生物技术有限公司
通过国际质量管理体系ISO 9001:2015 GB/T 19001-2016    证书编号: 00124Q34771R2M/1100
通过国际医疗器械-质量管理体系ISO 13485:2016 GB/T 42061-2022     证书编号: CQC24QY20047R0M/1100
京ICP备05066980号-1         京公网安备110107000727号