扫码关注公众号           扫码咨询技术支持           扫码咨询技术服务
  
客服热线:400-901-9800  客服QQ:4009019800  技术答疑  技术支持  质量反馈  关于我们  联系我们
产品中心-北京博奥森生物技术有限公司
首页 > 产品中心 > 一抗 > 产品信息
MED8 Rabbit pAb (bs-18773R)  
订购热线:400-901-9800
订购邮箱:sales@bioss.com.cn
订购QQ:  400-901-9800
技术支持:techsupport@bioss.com.cn
50ul/1180.00元
100ul/1980.00元
200ul/2800.00元
大包装/询价

产品编号 bs-18773R
英文名称 MED8 Rabbit pAb
中文名称 MED8蛋白抗体
别    名 Activator recruited cofactor 32 kDa component; Activator-recruited cofactor 32 kDa component; ARC32; med8; MED8_HUMAN; Mediator complex subunit 8; Mediator of RNA polymerase II transcription subunit 8; Mediator of RNA polymerase II transcription subunit 8 homolog.  
研究领域 转录调节因子  表观遗传学  
抗体来源 Rabbit
克隆类型 Polyclonal
克 隆 号
交叉反应 Mouse (predicted: Human,Rabbit,Sheep,Cow,Horse)
产品应用 IHC-P=1:100-500,IHC-F=1:100-500,IF=1:100-500
not yet tested in other applications.
optimal dilutions/concentrations should be determined by the end user.
理论分子量 29 kDa
检测分子量
细胞定位 细胞核 
性    状 Liquid
浓    度 1mg/ml
免 疫 原 KLH conjugated synthetic peptide derived from human MED8: 111-210/268 
亚    型 IgG
纯化方法 affinity purified by Protein A
缓 冲 液 0.01M TBS (pH7.4) with 1% BSA, 0.02% Proclin300 and 50% Glycerol.
保存条件 Shipped at 4℃. Store at -20℃ for one year. Avoid repeated freeze/thaw cycles.
注意事项 This product as supplied is intended for research use only, not for use in human, therapeutic or diagnostic applications.
PubMed PubMed
产品介绍 This gene encodes a protein component of the mediator complex, which aids in transcriptional activation through interaction with RNA polymerase II and gene-specific transcription factors. The encoded protein may also function in ubiquitin ligation and protein degradation. Alternatively spliced transcript variants encoding multiple isoforms have been observed for this gene. [provided by RefSeq, Jan 2013]

Function:
Component of the Mediator complex, a coactivator involved in the regulated transcription of nearly all RNA polymerase II-dependent genes. Mediator functions as a bridge to convey information from gene-specific regulatory proteins to the basal RNA polymerase II transcription machinery. Mediator is recruited to promoters by direct interactions with regulatory proteins and serves as a scaffold for the assembly of a functional preinitiation complex with RNA polymerase II and the general transcription factors. May play a role as a target recruitment subunit in E3 ubiquitin-protein ligase complexes and thus in ubiquitination and subsequent proteasomal degradation of target proteins.

Subcellular Location:
Nucleus.

Similarity:
Belongs to the Mediator complex subunit 8 family.

SWISS:
Q96G25

Gene ID:
112950

Database links:

Entrez Gene: 112950 Human

Entrez Gene: 80509 Mouse

Entrez Gene: 362575 Rat

Entrez Gene: 404615 Zebrafish

Omim: 607956 Human

SwissProt: Q96G25 Human

SwissProt: Q9D7W5 Mouse

SwissProt: Q6NYT1 Zebrafish

Unigene: 301756 Human

Unigene: 259567 Mouse

Unigene: 229078 Rat

Unigene: 84281 Zebrafish



产品图片
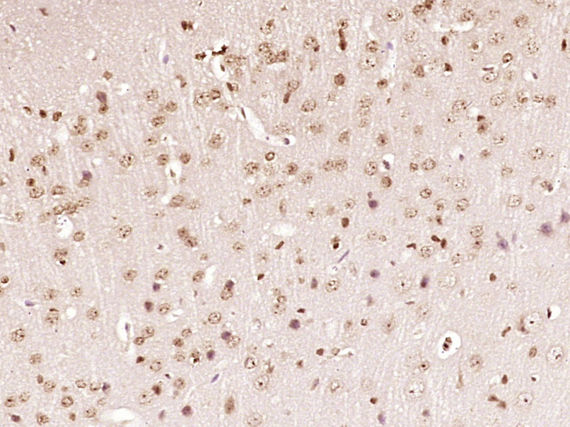
Paraformaldehyde-fixed, paraffin embedded (Mouse brain); Antigen retrieval by boiling in sodium citrate buffer (pH6.0) for 15min; Block endogenous peroxidase by 3% hydrogen peroxide for 20 minutes; Blocking buffer (normal goat serum) at 37°C for 30min; Antibody incubation with (MED8) Polyclonal Antibody, Unconjugated (bs-18773R) at 1:400 overnight at 4°C, followed by operating according to SP Kit(Rabbit) (sp-0023) instructionsand DAB staining.
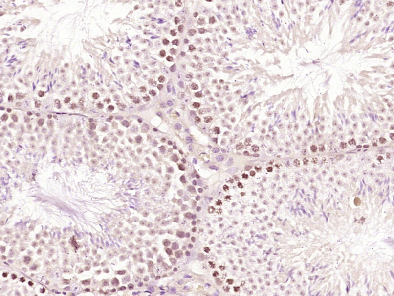
Paraformaldehyde-fixed, paraffin embedded (Mouse testis); Antigen retrieval by boiling in sodium citrate buffer (pH6.0) for 15min; Block endogenous peroxidase by 3% hydrogen peroxide for 20 minutes; Blocking buffer (normal goat serum) at 37°C for 30min; Antibody incubation with (MED8) Polyclonal Antibody, Unconjugated (bs-18773R) at 1:400 overnight at 4°C, followed by operating according to SP Kit(Rabbit) (sp-0023) instructionsand DAB staining.
版权所有 2004-2026 www.bioss.com.cn 北京博奥森生物技术有限公司
通过国际质量管理体系ISO 9001:2015 GB/T 19001-2016    证书编号: 00124Q34771R2M/1100
通过国际医疗器械-质量管理体系ISO 13485:2016 GB/T 42061-2022     证书编号: CQC24QY20047R0M/1100
京ICP备05066980号-1         京公网安备110107000727号