扫码关注公众号           扫码咨询技术支持           扫码咨询技术服务
  
客服热线:400-901-9800  客服QQ:4009019800  技术答疑  技术支持  质量反馈  关于我们  联系我们
产品中心-北京博奥森生物技术有限公司
首页 > 产品中心 > 一抗 > 产品信息
MED12/Trap230 Rabbit pAb (bs-18763R)  
订购热线:400-901-9800
订购邮箱:sales@bioss.com.cn
订购QQ:  400-901-9800
技术支持:techsupport@bioss.com.cn
50ul/1180.00元
100ul/1980.00元
200ul/2800.00元
大包装/询价

产品编号 bs-18763R
英文名称 MED12/Trap230 Rabbit pAb
中文名称 甲状腺激素受体相关蛋白复合物230抗体
别    名 Activator recruited cofactor 240 kDa component; Activator-recruited cofactor 240 kDa component; Activator-recruited cofactor 240 kDa component; ARC240; CAG repeat protein 45; CAGH45; HOPA; KIAA0192; MED12; MED12_HUMAN; Mediator complex subunit 12; Mediator of RNA polymerase II transcription subunit 12; Mediator of RNA polymerase II transcription subunit 12; Mediator of RNA polymerase II transcription subunit 12; OPA containing protein; OPA-containing protein; OPA-containing protein; Thyroid hormone receptor associated protein complex 230 kDa component; Thyroid hormone receptor-associated protein complex 230 kDa component; Thyroid hormone receptor-associated protein complex 230 kDa component; TNRC11; Trap230; Trinucleotide repeat containing gene 11 protein; Trinucleotide repeat-containing gene 11 protein; Trinucleotide repeat-containing gene 11 protein.  
研究领域 细胞生物  神经生物学  转录调节因子  表观遗传学  
抗体来源 Rabbit
克隆类型 Polyclonal
克 隆 号
交叉反应 Mouse,Rat (predicted: Human,Rabbit,Pig,Sheep,Cow)
产品应用 WB=1:500-2000,IHC-P=1:100-500,IHC-F=1:100-500,IF=1:100-500
not yet tested in other applications.
optimal dilutions/concentrations should be determined by the end user.
理论分子量 243 kDa
检测分子量
细胞定位 细胞核 
性    状 Liquid
浓    度 1mg/ml
免 疫 原 KLH conjugated synthetic peptide derived from human MED12/Trap230: 251-350/2177 
亚    型 IgG
纯化方法 affinity purified by Protein A
缓 冲 液 0.01M TBS (pH7.4) with 1% BSA, 0.02% Proclin300 and 50% Glycerol.
保存条件 Shipped at 4℃. Store at -20℃ for one year. Avoid repeated freeze/thaw cycles.
注意事项 This product as supplied is intended for research use only, not for use in human, therapeutic or diagnostic applications.
PubMed PubMed
产品介绍 The initiation of transcription is controlled in part by a large protein assembly known as the preinitiation complex. A component of this preinitiation complex is a 1.2 MDa protein aggregate called Mediator. This Mediator component binds with a CDK8 subcomplex which contains the protein encoded by this gene, mediator complex subunit 12 (MED12), along with MED13, CDK8 kinase, and cyclin C. The CDK8 subcomplex modulates Mediator-polymerase II interactions and thereby regulates transcription initiation and reinitation rates. The MED12 protein is essential for activating CDK8 kinase. Defects in this gene cause X-linked Opitz-Kaveggia syndrome, also known as FG syndrome, and Lujan-Fryns syndrome. [provided by RefSeq, Aug 2009]

Function:
Component of the Mediator complex, a coactivator involved in the regulated transcription of nearly all RNA polymerase II-dependent genes. Mediator functions as a bridge to convey information from gene-specific regulatory proteins to the basal RNA polymerase II transcription machinery. Mediator is recruited to promoters by direct interactions with regulatory proteins and serves as a scaffold for the assembly of a functional preinitiation complex with RNA polymerase II and the general transcription factors. This subunit may specifically regulate transcription of targets of the Wnt signaling pathway and SHH signaling pathway.

Subunit:
Component of the Mediator complex, which is composed of MED1, MED4, MED6, MED7, MED8, MED9, MED10, MED11, MED12, MED13, MED13L, MED14, MED15, MED16, MED17, MED18, MED19, MED20, MED21, MED22, MED23, MED24, MED25, MED26, MED27, MED29, MED30, MED31, CCNC, CDK8 and CDC2L6/CDK11. The MED12, MED13, CCNC and CDK8 subunits form a distinct module termed the CDK8 module. Mediator containing the CDK8 module is less active than Mediator lacking this module in supporting transcriptional activation. Individual preparations of the Mediator complex lacking one or more distinct subunits have been variously termed ARC, CRSP, DRIP, PC2, SMCC and TRAP. Also interacts with CTNNB1 and GLI3.

Subcellular Location:
Nucleus.

Tissue Specificity:
Ubiquitous.

DISEASE:
Defects in MED12 are the cause of Opitz-Kaveggia syndrome (OKS) [MIM:305450]; also known as FG syndrome type 1 (FGS1) or FG syndrome (FGS). OKS is an X-linked disorder characterized by mental retardation, relative macrocephaly, hypotonia and constipation.
Defects in MED12 are the cause of Lujan-Fryns syndrome (LUJFRYS) [MIM:309520]; also known as X-linked mental retardation with marfanoid habitus. Clinically, Lujan-Fryns syndrome can be distinguished from Opitz-Kaveggia syndrome by tall stature, hypernasal voice, hyperextensible digits and high nasal root.

Similarity:
Belongs to the Mediator complex subunit 12 family.

SWISS:
Q93074

Gene ID:
9968

Database links:

Entrez Gene: 9968 Human

Entrez Gene: 520974 Cow

Entrez Gene: 480952 Dog

Entrez Gene: 59024 Mouse

Entrez Gene: 100157450 Pig

Entrez Gene: 679693 Rat

Omim: 300188 Human

SwissProt: Q93074 Human

SwissProt: A2AGH6 Mouse

Unigene: 409226 Human

Unigene: 20873 Mouse



产品图片
Sample: Spleen (Mouse) Lysate at 40 ug Primary: Anti- MED12/Trap230 (bs-18763R) at 1/300 dilution Secondary: IRDye800CW Goat Anti-Rabbit IgG at 1/20000 dilution Predicted band size: 243kD Observed band size: 243kD
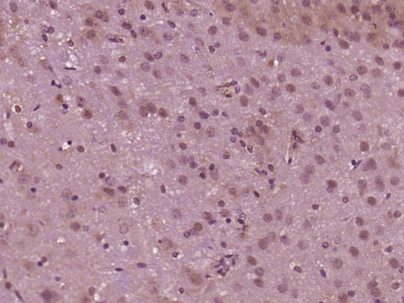
Paraformaldehyde-fixed, paraffin embedded (Rat brain); Antigen retrieval by boiling in sodium citrate buffer (pH6.0) for 15min; Block endogenous peroxidase by 3% hydrogen peroxide for 20 minutes; Blocking buffer (normal goat serum) at 37°C for 30min; Antibody incubation with (MED12) Polyclonal Antibody, Unconjugated (bs-18763R) at 1:400 overnight at 4°C, followed by operating according to SP Kit(Rabbit) (sp-0023) instructionsand DAB staining.
版权所有 2004-2026 www.bioss.com.cn 北京博奥森生物技术有限公司
通过国际质量管理体系ISO 9001:2015 GB/T 19001-2016    证书编号: 00124Q34771R2M/1100
通过国际医疗器械-质量管理体系ISO 13485:2016 GB/T 42061-2022     证书编号: CQC24QY20047R0M/1100
京ICP备05066980号-1         京公网安备110107000727号