扫码关注公众号           扫码咨询技术支持           扫码咨询技术服务
  
客服热线:400-901-9800  客服QQ:4009019800  技术答疑  技术支持  质量反馈  关于我们  联系我们
产品中心-北京博奥森生物技术有限公司
首页 > 产品中心 > 一抗 > 产品信息
phospho-MDMX (Ser367) Rabbit pAb (bs-18748R)  
订购热线:400-901-9800
订购邮箱:sales@bioss.com.cn
订购QQ:  400-901-9800
技术支持:techsupport@bioss.com.cn
50ul/1180.00元
100ul/1980.00元
200ul/2800.00元
大包装/询价

产品编号 bs-18748R
英文名称 phospho-MDMX (Ser367) Rabbit pAb
中文名称 磷酸化MDM2样P53结合蛋白抗体
别    名 MDMX(phospho S367); p-MDMX(phospho S367); DKFZp781B1423; Double minute 4; Double minute 4 human homolog of p53 binding protein; Double minute 4 protein; HDMX; MDM 4; Mdm2 like p53 binding protein; Mdm2-like p53-binding protein; MDM4; Mdm4 p53 binding protein homolog mouse; Mdm4 protein; MDM4 related protein 1; Mdm4 transformed 3T3 cell double minute 4; Mdm4 transformed 3T3 cell double minute 4 p53 binding protein; Mdm4 transformed 3T3 cell double minute 4 p53 binding protein mouse; MDM4_HUMAN; Mdmx protein; MGC132766; Mouse double minute 4 homolog; Mouse double minute 4 human homolog of p53 binding protein; MRP 1; MRP1; p53 binding protein; p53 BINDING PROTEIN MDM4; p53-binding protein Mdm4; Protein Mdm4; Protein Mdmx.  
研究领域 细胞生物  细胞凋亡  表观遗传学  
抗体来源 Rabbit
克隆类型 Polyclonal
克 隆 号
交叉反应 Mouse (predicted: Human,Rat,Rabbit,Pig,Dog,Horse)
产品应用 WB=1:500-2000,IHC-P=1:100-500,IHC-F=1:100-500,IF=1:100-500
not yet tested in other applications.
optimal dilutions/concentrations should be determined by the end user.
理论分子量 55 kDa
检测分子量
细胞定位 细胞核 
性    状 Liquid
浓    度 1mg/ml
免 疫 原 KLH conjugated synthesised phosphopeptide derived from human MDMX Receptor around the phosphorylation site of Ser367: TI(p-S)AP 
亚    型 IgG
纯化方法 affinity purified by Protein A
缓 冲 液 0.01M TBS (pH7.4) with 1% BSA, 0.02% Proclin300 and 50% Glycerol.
保存条件 Shipped at 4℃. Store at -20℃ for one year. Avoid repeated freeze/thaw cycles.
注意事项 This product as supplied is intended for research use only, not for use in human, therapeutic or diagnostic applications.
PubMed PubMed
产品介绍 This gene encodes a nuclear protein that contains a p53 binding domain at the N-terminus and a RING finger domain at the C-terminus, and shows structural similarity to p53-binding protein MDM2. Both proteins bind the p53 tumor suppressor protein and inhibit its activity, and have been shown to be overexpressed in a variety of human cancers. However, unlike MDM2 which degrades p53, this protein inhibits p53 by binding its transcriptional activation domain. This protein also interacts with MDM2 protein via the RING finger domain, and inhibits the latter's degradation. So this protein can reverse MDM2-targeted degradation of p53, while maintaining suppression of p53 transactivation and apoptotic functions. Alternatively spliced transcript variants encoding different isoforms have been noted for this gene. [provided by RefSeq, Feb 2011]

Function:
Inhibits p53/TP53- and TP73/p73-mediated cell cycle arrest and apoptosis by binding its transcriptional activation domain. Inhibits degradation of MDM2. Can reverse MDM2-targeted degradation of TP53 while maintaining suppression of TP53 transactivation and apoptotic functions.

Subcellular Location:
Nucleus.

Tissue Specificity:
Expressed in all tissues tested with high levels in thymus.

Post-translational modifications:
Ubiquitinated. Deubiquitinated by USP2; leading to stabilize it.

Similarity:
Belongs to the MDM2/MDM4 family.
Contains 1 RanBP2-type zinc finger.
Contains 1 RING-type zinc finger.
Contains 1 SWIB domain.

SWISS:
O15151

Gene ID:
4194

Database links:

Entrez Gene: 4194 Human

Entrez Gene: 17248 Mouse

Omim: 602704 Human

SwissProt: O15151 Human

SwissProt: O35618 Mouse

Unigene: 497492 Human

Unigene: 426531 Mouse

Unigene: 476028 Mouse



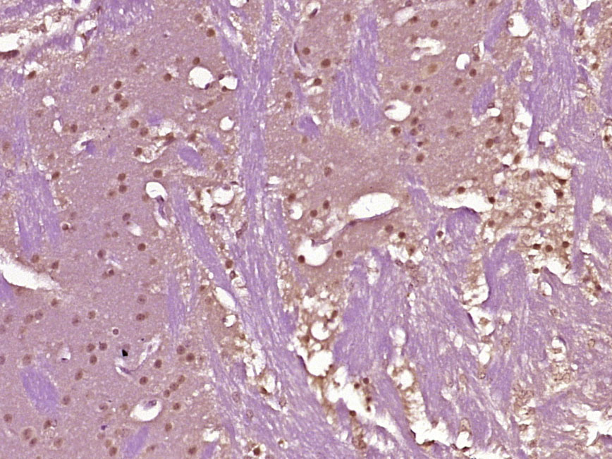
产品图片
Sample: Cerebral cortex (Mouse) Lysate at 40 ug Primary: Anti-phospho-MDMX (Ser367) (bs-18748R) at 1/1000 dilution Secondary: IRDye800CW Goat Anti-Rabbit IgG at 1/20000 dilution Predicted band size: 55 kD Observed band size: 55 kD
Paraformaldehyde-fixed, paraffin embedded (mouse brain tissue); Antigen retrieval by boiling in sodium citrate buffer (pH6.0) for 15min; Block endogenous peroxidase by 3% hydrogen peroxide for 20 minutes; Blocking buffer (normal goat serum) at 37°C for 30min; Antibody incubation with (MDMX (Ser367)) Polyclonal Antibody, Unconjugated (bs-18748R) at 1:400 overnight at 4°C, followed by operating according to SP Kit(Rabbit) (sp-0023) instructionsand DAB staining.
版权所有 2004-2026 www.bioss.com.cn 北京博奥森生物技术有限公司
通过国际质量管理体系ISO 9001:2015 GB/T 19001-2016    证书编号: 00124Q34771R2M/1100
通过国际医疗器械-质量管理体系ISO 13485:2016 GB/T 42061-2022     证书编号: CQC24QY20047R0M/1100
京ICP备05066980号-1         京公网安备110107000727号