扫码关注公众号           扫码咨询技术支持           扫码咨询技术服务
  
客服热线:400-901-9800  客服QQ:4009019800  技术答疑  技术支持  质量反馈  关于我们  联系我们
产品中心-北京博奥森生物技术有限公司
首页 > 产品中心 > 一抗 > 产品信息
MCM-BP Rabbit pAb (bs-18727R)  
订购热线:400-901-9800
订购邮箱:sales@bioss.com.cn
订购QQ:  400-901-9800
技术支持:techsupport@bioss.com.cn
50ul/1180.00元
100ul/1980.00元
200ul/2800.00元
大包装/询价

产品编号 bs-18727R
英文名称 MCM-BP Rabbit pAb
中文名称 微小染色体维持缺陷蛋白结合蛋白抗体
别    名 C10orf119; chromosome 10 open reading frame 119; MCM-binding protein; MCM-BP; mcmbp; MCMBP_HUMAN; Mini-chromosome maintenance complex-binding protein; Minichromosome maintenance complex binding protein.  
研究领域 细胞生物  信号转导  表观遗传学  
抗体来源 Rabbit
克隆类型 Polyclonal
克 隆 号
交叉反应 Rat (predicted: Human,Mouse,Rabbit,Pig,Sheep,Cow,Chicken,Dog,Horse)
产品应用 IHC-P=1:100-500,IHC-F=1:100-500,IF=1:100-500
not yet tested in other applications.
optimal dilutions/concentrations should be determined by the end user.
理论分子量 73 kDa
检测分子量
细胞定位 细胞核 
性    状 Liquid
浓    度 1mg/ml
免 疫 原 KLH conjugated synthetic peptide derived from human MCM-BP: 551-642/642 
亚    型 IgG
纯化方法 affinity purified by Protein A
缓 冲 液 0.01M TBS (pH7.4) with 1% BSA, 0.02% Proclin300 and 50% Glycerol.
保存条件 Shipped at 4℃. Store at -20℃ for one year. Avoid repeated freeze/thaw cycles.
注意事项 This product as supplied is intended for research use only, not for use in human, therapeutic or diagnostic applications.
PubMed PubMed
产品介绍 This gene encodes a protein which is a component of the hexameric minichromosome maintenance (MCM) complex which regulates initiation and elongation of DNA. Multiple transcript variants encoding different isoforms have been found for this gene. [provided by RefSeq, Jan 2012]

Function:
Associated component of the MCM complex that acts as a regulator of DNA replication. Binds to the MCM complex during late S phase and promotes the disassembly of the MCM complex from chromatin, thereby acting as a key regulator of pre-replication complex (pre-RC) unloading from replicated DNA. Can dissociate the MCM complex without addition of ATP; probably acts by destabilizing interactions of each individual subunits of the MCM complex. Required for sister chromatid cohesion.

Subunit:
Interacts with the MCM complex: associates with the MCM3-7 complex which lacks MCM2, while it does not interact with the MCM complex when MCM2 is present (MCM2-7 complex). Interacts with the RPA complex, when composed of all RPA1, RPA2 and RPA3 components, but not with RPA1 or RPA2 alone.

Subcellular Location:
Nucleus. Note: Associates with chromatin. Highly associated with chromatin in G1/S and S phases, reduced binding to chromatin in G2, and further decreased binding in early M phase. It then reassociates with chromatin in late M phase. Dissociates from chromatin later than component of the MCM complex.

Similarity:
Belongs to the MCMBP family.

SWISS:
Q9BTE3

Gene ID:
79892

Database links:

Entrez Gene: 79892 Human

Entrez Gene: 210711 Mouse

Omim: 610909 Human

SwissProt: Q9BTE3 Human

SwissProt: Q8R3C0 Mouse

SwissProt: B1H268 Rat

Unigene: 124246 Human

Unigene: 58882 Mouse



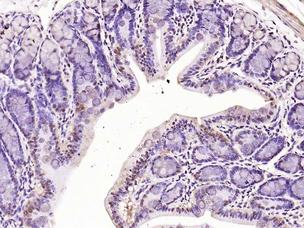
产品图片
Paraformaldehyde-fixed, paraffin embedded (rat uterus); Antigen retrieval by boiling in sodium citrate buffer (pH6.0) for 15min; Block endogenous peroxidase by 3% hydrogen peroxide for 20 minutes; Blocking buffer (normal goat serum) at 37°C for 30min; Antibody incubation with (MCM-BP) Polyclonal Antibody, Unconjugated (bs-18727R) at 1:200 overnight at 4°C, followed by operating according to SP Kit(Rabbit) (sp-0023) instructionsand DAB staining.
Paraformaldehyde-fixed, paraffin embedded (rat colon); Antigen retrieval by boiling in sodium citrate buffer (pH6.0) for 15min; Block endogenous peroxidase by 3% hydrogen peroxide for 20 minutes; Blocking buffer (normal goat serum) at 37°C for 30min; Antibody incubation with (MCM-BP) Polyclonal Antibody, Unconjugated (bs-18727R) at 1:200 overnight at 4°C, followed by operating according to SP Kit(Rabbit) (sp-0023) instructionsand DAB staining.
版权所有 2004-2026 www.bioss.com.cn 北京博奥森生物技术有限公司
通过国际质量管理体系ISO 9001:2015 GB/T 19001-2016    证书编号: 00124Q34771R2M/1100
通过国际医疗器械-质量管理体系ISO 13485:2016 GB/T 42061-2022     证书编号: CQC24QY20047R0M/1100
京ICP备05066980号-1         京公网安备110107000727号