扫码关注公众号           扫码咨询技术支持           扫码咨询技术服务
  
客服热线:400-901-9800  客服QQ:4009019800  技术答疑  技术支持  质量反馈  关于我们  联系我们
产品中心-北京博奥森生物技术有限公司
首页 > 产品中心 > 一抗 > 产品信息
GPM6A Rabbit pAb (bs-10757R)  
订购热线:400-901-9800
订购邮箱:sales@bioss.com.cn
订购QQ:  400-901-9800
技术支持:techsupport@bioss.com.cn
50ul/1180.00元
100ul/1980.00元
200ul/2800.00元
大包装/询价

产品编号 bs-10757R
英文名称 GPM6A Rabbit pAb
中文名称 神经细胞膜糖蛋白M6a抗体
别    名 GPM6A; GPM6A_HUMAN; M6a; M6 a; M6-a; Neuronal membrane glycoprotein M6-a.  
研究领域 细胞生物  神经生物学  
抗体来源 Rabbit
克隆类型 Polyclonal
克 隆 号
交叉反应 Human,Mouse,Rat (predicted: Rabbit,Dog)
产品应用 WB=1:500-2000,IHC-P=1:100-500,IHC-F=1:100-500,IF=1:100-500,Flow-Cyt=1μg/Test
not yet tested in other applications.
optimal dilutions/concentrations should be determined by the end user.
理论分子量 31 kDa
检测分子量
细胞定位 细胞膜 
性    状 Liquid
浓    度 1mg/ml
免 疫 原 KLH conjugated synthetic peptide derived from human GPM6A: 151-250/278 <Extracellular>
亚    型 IgG
纯化方法 affinity purified by Protein A
缓 冲 液 0.01M TBS (pH7.4) with 1% BSA, 0.02% Proclin300 and 50% Glycerol.
保存条件 Shipped at 4℃. Store at -20℃ for one year. Avoid repeated freeze/thaw cycles.
注意事项 This product as supplied is intended for research use only, not for use in human, therapeutic or diagnostic applications.
PubMed PubMed
产品介绍 GPM6A (Glycoprotein M6A) is a Protein Coding gene. GO annotations related to this gene include calcium channel activity. An important paralog of this gene is GPM6B.

Function:
Involved in neuronal differentiation, including differentiation and migration of neuronal stem cells. Plays a role in neuronal plasticity and is involved in neurite and filopodia outgrowth, filopodia motility and probably synapse formation. GPM6A-induced filopodia formation involves mitogen-activated protein kinase (MAPK) and Src signaling pathways. May be involved in neuronal NGF-dependent Ca(2+) influx. May be involved in regulation of endocytosis and intracellular trafficking of G-protein-coupled receptors (GPCRs); enhances internalization and recycling of mu-type opioid receptor.

Subunit:
Interacts with OPRM1

Subcellular Location:
Cell membrane; Multi-pass membrane protein. Cell projection, axon. Cell projection, dendritic spine. Cell projection, filopodium. Note=Localizes to cholesterol-rich lipid rafts of the plasma membrane of hippocampal neurons. Localized to plasma membrane of cell bodies and neurites of hippocampal neurons. Localized in membrane protrusions (filopodia and spines) of primary hippocampal neurons. Localized to the growth cone edge membrane of elongating axons.

Similarity:
Belongs to the myelin proteolipid protein family.

SWISS:
P51674

Gene ID:
2823

Database links:

Entrez Gene: 2823 Human

Entrez Gene: 234267 Mouse

Omim: 601275 Human

SwissProt: P51674 Human

SwissProt: P35802 Mouse

Unigene: 75819 Human

Unigene: 241700 Mouse



产品图片
Sample: Lane 1: Spinal cord (Rat) Lysate at 40 ug Lane 2: Lung (Rat) Lysate at 40 ug Lane 3: U251 (Human) Cell Lysate at 30 ug Lane 4: U87MG (Human) Cell Lysate at 30 ug Primary: Anti-GPM6A (bs-10757R) at 1/1000 dilution Secondary: IRDye800CW Goat Anti-Rabbit IgG at 1/20000 dilution Predicted band size: 31 kD Observed band size: 28 kD
Sample: Cerebrum (Mouse) Lysate at 40 ug Primary: Anti-GPM6A (bs-10757R) at 1/1000 dilution Secondary: IRDye800CW Goat Anti-Rabbit IgG at 1/20000 dilution Predicted band size: 31 kD Observed band size: 31 kD
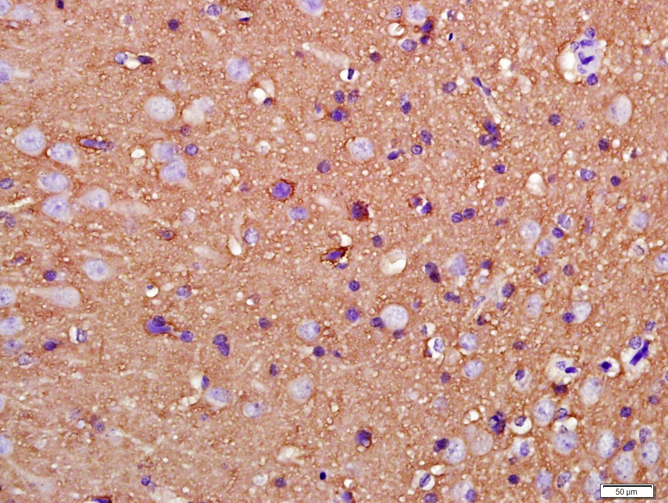
Paraformaldehyde-fixed, paraffin embedded (Rat brain); Antigen retrieval by boiling in sodium citrate buffer (pH6.0) for 15min; Block endogenous peroxidase by 3% hydrogen peroxide for 20 minutes; Blocking buffer (normal goat serum) at 37°C for 30min; Antibody incubation with (GPM6A) Polyclonal Antibody, Unconjugated (bs-10757R) at 1:500 overnight at 4°C, followed by a conjugated secondary (sp-0023) for 20 minutes and DAB staining.
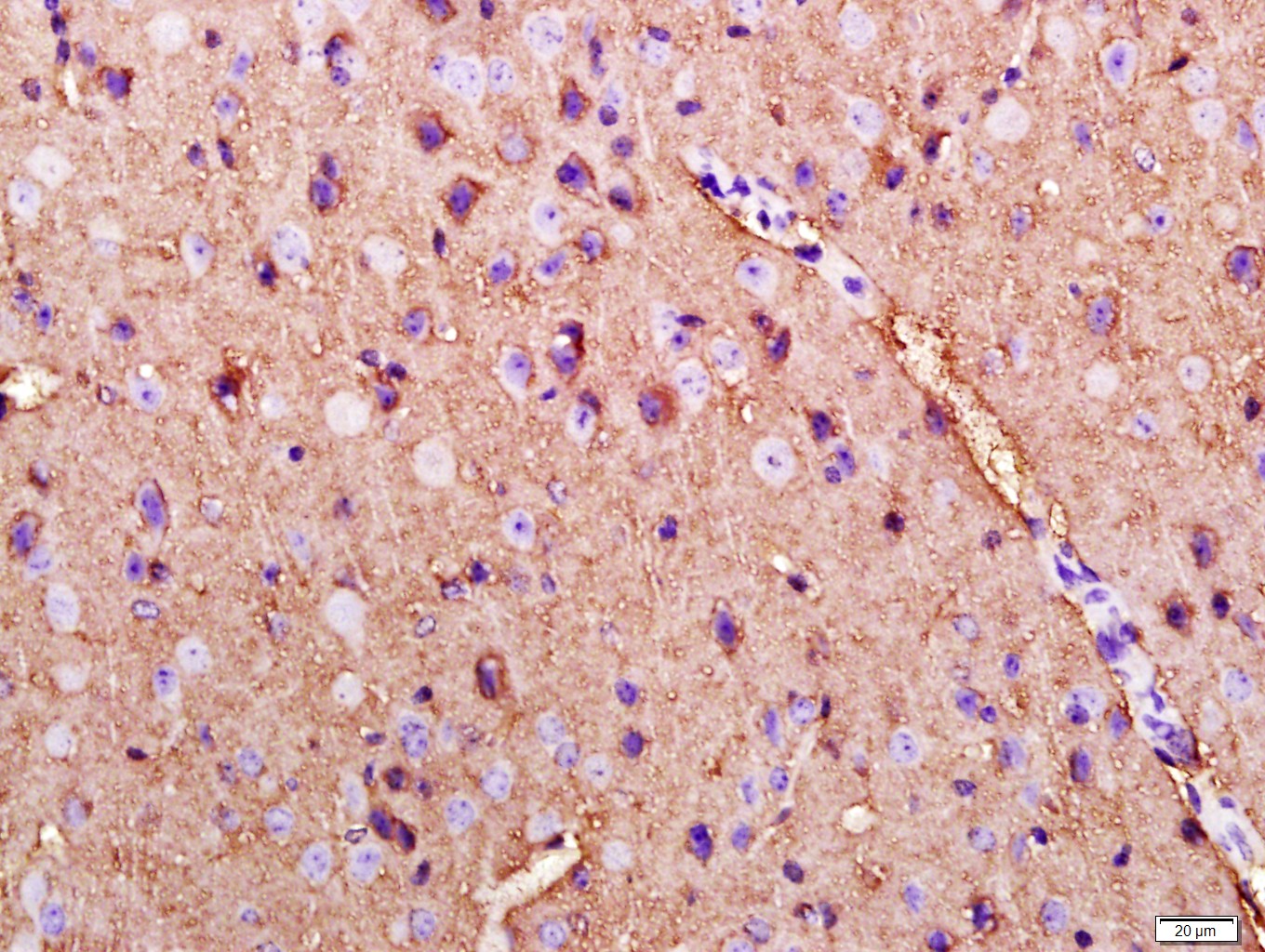
Paraformaldehyde-fixed, paraffin embedded (Mouse brain); Antigen retrieval by boiling in sodium citrate buffer (pH6.0) for 15min; Block endogenous peroxidase by 3% hydrogen peroxide for 20 minutes; Blocking buffer (normal goat serum) at 37°C for 30min; Antibody incubation with (GPM6A) Polyclonal Antibody, Unconjugated (bs-10757R) at 1:500 overnight at 4°C, followed by a conjugated secondary (sp-0023) for 20 minutes and DAB staining.
Blank control: RSC96(blue), the cells were fixed with 2% paraformaldehyde (10 min) and then permeabilized with ice-cold 90% methanol for 30 min on ice. Isotype Control Antibody: Rabbit IgG(orange) ; Secondary Antibody: Goat anti-rabbit IgG-PE(white blue), Dilution: 1:200 in 1 X PBS containing 0.5% BSA ; Primary Antibody Dilution: 0.2μg in 100 μL1X PBS containing 0.5% BSA(green).
版权所有 2004-2026 www.bioss.com.cn 北京博奥森生物技术有限公司
通过国际质量管理体系ISO 9001:2015 GB/T 19001-2016    证书编号: 00124Q34771R2M/1100
通过国际医疗器械-质量管理体系ISO 13485:2016 GB/T 42061-2022    证书编号: CQC24QY10047R0M/1100
京ICP备05066980号-1         京公网安备110107000727号