扫码关注公众号           扫码咨询技术支持           扫码咨询技术服务
  
客服热线:400-901-9800  客服QQ:4009019800  技术答疑  技术支持  质量反馈  关于我们  联系我们
产品中心-北京博奥森生物技术有限公司
首页 > 产品中心 > 一抗 > 产品信息
RRAGA + RRAGB Rabbit pAb (bs-10731R)  
订购热线:400-901-9800
订购邮箱:sales@bioss.com.cn
订购QQ:  400-901-9800
技术支持:techsupport@bioss.com.cn
50ul/1180.00元
100ul/1980.00元
200ul/2800.00元
大包装/询价

产品编号 bs-10731R
英文名称 RRAGA + RRAGB Rabbit pAb
中文名称 RAS相关GTP结合蛋白A抗体
别    名 FIP1; RAGA; FIP-1; RRAGB; Adenovirus E3 14.7 kDa-interacting protein 1; Rag A; RAg B; RagA; RAGB; Ras related GTP binding protein A; RRAGA_HUMAN; Ras-related GTP binding A; GTP-binding protein ragB; Rag B; RagB; Ras-related GTP-binding protein B; RRAGB; RRAGB_HUMAN..  
研究领域 肿瘤  细胞生物  免疫学  染色质和核信号  信号转导  
抗体来源 Rabbit
克隆类型 Polyclonal
克 隆 号
交叉反应 Mouse,Rat (predicted: Human,Pig,Sheep,Dog,Horse)
产品应用 IHC-P=1:100-500,IHC-F=1:100-500,IF=1:100-500
not yet tested in other applications.
optimal dilutions/concentrations should be determined by the end user.
理论分子量 37 kDa
检测分子量
细胞定位 细胞核 细胞浆 细胞膜 
性    状 Liquid
浓    度 1mg/ml
免 疫 原 KLH conjugated synthetic peptide derived from human RRAGA and RRAGB: 231-313/313 
亚    型 IgG
纯化方法 affinity purified by Protein A
缓 冲 液 0.01M TBS (pH7.4) with 1% BSA, 0.02% Proclin300 and 50% Glycerol.
保存条件 Shipped at 4℃. Store at -20℃ for one year. Avoid repeated freeze/thaw cycles.
注意事项 This product as supplied is intended for research use only, not for use in human, therapeutic or diagnostic applications.
PubMed PubMed
产品介绍 Involved in the RCC1/Ran-GTPase pathway. RRAGA may play a direct role in a TNF-alpha signaling pathway leading to induction of cell death. May alternatively act as a cellular target for adenovirus E3-14.7K, an inhibitor of TNF-alpha functions, thereby affecting cell death. Has guanine nucleotide-binding activity but undetectable intrinsic GTPase activity. biquitously expressed with highest levels of expression in skeletal muscle, heart, and brain.

Function:
Has guanine nucleotide-binding activity but undetectable intrinsic GTPase activity. Required for the amino acid-induced relocalization of mTORC1 to the lysosomes and its subsequent activation by the GTPase RHEB. This is a crucial step in the activation of the TOR signaling cascade by amino acids. Involved in the RCC1/Ran-GTPase pathway. May play a direct role in a TNF-alpha signaling pathway leading to induction of cell death. May alternatively act as a cellular target for adenovirus E3-14.7K, an inhibitor of TNF-alpha functions, thereby affecting cell death.

Subunit:
Binds GTP. Can occur as a homodimer or as a heterodimer with RRAGC or RRAGD in a sequence-independent manner; heterodimerization stabilizes PPAG proteins. In complex with RRAGC, but not with RRAGB, interacts with RPTOR. The GTP-bound form of RRAGA interacts with NOL8. Interacts with adenovirus E3 14.7 kDa protein.

Subcellular Location:
Cytoplasm. Nucleus. Lysosome. Note=Predominantly cytoplasmic. May shuttle between the cytoplasm and nucleus, depending on the bound nucleotide state. Colocalizes in vivo with adenovirus E3-14.7K mainly to the cytoplasm especially near the nuclear membrane and in discrete foci on or near the plasma membrane.

Tissue Specificity:
Ubiquitously expressed with highest levels of expression in skeletal muscle, heart, and brain.

Similarity:
Belongs to the GTR/RAG GTP-binding protein family.

SWISS:
Q7L523

Gene ID:
10670

Database links:

Entrez Gene: 10670 Human

Entrez Gene: 68441 Mouse

Entrez Gene: 117044 Rat

Omim: 612194 Human

SwissProt: Q7L523 Human

SwissProt: Q80X95 Mouse

SwissProt: Q63486 Rat

Unigene: 702275 Human

Unigene: 31178 Mouse

Unigene: 2816 Rat



产品图片
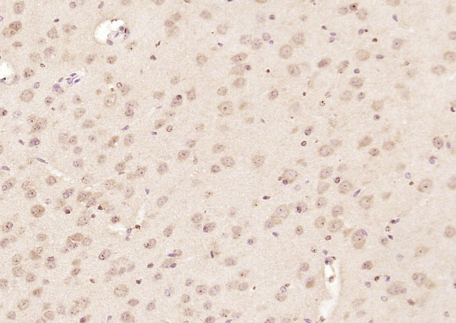
Paraformaldehyde-fixed, paraffin embedded (mouse brain); Antigen retrieval by boiling in sodium citrate buffer (pH6.0) for 15min; Block endogenous peroxidase by 3% hydrogen peroxide for 20 minutes; Blocking buffer (normal goat serum) at 37°C for 30min; Antibody incubation with (RRAGA + RRAGB) Polyclonal Antibody, Unconjugated (bs-10731R) at 1:200 overnight at 4°C, followed by operating according to SP Kit(Rabbit) (sp-0023) instructionsand DAB staining.
Paraformaldehyde-fixed, paraffin embedded (rat brain); Antigen retrieval by boiling in sodium citrate buffer (pH6.0) for 15min; Block endogenous peroxidase by 3% hydrogen peroxide for 20 minutes; Blocking buffer (normal goat serum) at 37°C for 30min; Antibody incubation with (RRAGA + RRAGB) Polyclonal Antibody, Unconjugated (bs-10731R) at 1:200 overnight at 4°C, followed by operating according to SP Kit(Rabbit) (sp-0023) instructionsand DAB staining.
版权所有 2004-2026 www.bioss.com.cn 北京博奥森生物技术有限公司
通过国际质量管理体系ISO 9001:2015 GB/T 19001-2016    证书编号: 00124Q34771R2M/1100
通过国际医疗器械-质量管理体系ISO 13485:2016 GB/T 42061-2022     证书编号: CQC24QY20047R0M/1100
京ICP备05066980号-1         京公网安备110107000727号