扫码关注公众号           扫码咨询技术支持           扫码咨询技术服务
  
客服热线:400-901-9800  客服QQ:4009019800  技术答疑  技术支持  质量反馈  人才招聘  关于我们  联系我们
产品中心-北京博奥森生物技术有限公司
首页 > 产品中心 > 一抗 > 产品信息
ZFAND2B Rabbit pAb (bs-18519R)  
订购热线:400-901-9800
订购邮箱:sales@bioss.com.cn
订购QQ:  400-901-9800
技术支持:techsupport@bioss.com.cn
50ul/1180.00元
100ul/1980.00元
200ul/2800.00元
大包装/询价

产品编号 bs-18519R
英文名称 ZFAND2B Rabbit pAb
中文名称 锌指蛋白AN1-2B抗体
别    名 AIRAPL; 1110060O18Rik; RGD1306260; ZFN2B_HUMAN; ZFAND2B; Arsenite-inducible RNA-associated protein-like protein (AIRAP-like protein); ZFN2B_MOUSE; ZFN2B_RAT;   
研究领域 细胞生物  免疫学  转录调节因子  表观遗传学  
抗体来源 Rabbit
克隆类型 Polyclonal
克 隆 号
交叉反应 Mouse,Rat (predicted: Human,Rabbit,Pig,Sheep,Cow,Horse)
产品应用 IHC-P=1:100-500,IHC-F=1:100-500,IF=1:100-500
not yet tested in other applications.
optimal dilutions/concentrations should be determined by the end user.
理论分子量 28 kDa
细胞定位 细胞核 细胞浆 
性    状 Liquid
浓    度 1mg/ml
免 疫 原 KLH conjugated synthetic peptide derived from human ZFAND2B: 31-130/257 
亚    型 IgG
纯化方法 affinity purified by Protein A
缓 冲 液 0.01M TBS (pH7.4) with 1% BSA, 0.02% Proclin300 and 50% Glycerol.
保存条件 Shipped at 4℃. Store at -20℃ for one year. Avoid repeated freeze/thaw cycles.
注意事项 This product as supplied is intended for research use only, not for use in human, therapeutic or diagnostic applications.
PubMed PubMed
产品介绍 ZFAND2B is a 257 amino acid protein containing two AN1-type zinc fingers and two UIM (ubiquitin-interacting motif) repeats. Conserved in animals and plants, the AN1-type zinc finger domain is often found in proteins that contain a ubiquitin-like domain, which suggests a role in the ubiquitination pathway. There are two isoforms of ZFAND2B that are produced as a result of alternative splicing events.

Subcellular Location:
Endoplasmic reticulum.

Similarity:
Contains 2 AN1-type zinc fingers.
Contains 2 UIM (ubiquitin-interacting motif) repeats.

SWISS:
Q8WV99

Gene ID:
130617

Database links:

Entrez Gene: 130617 Human

Entrez Gene: 68818 Mouse

Entrez Gene: 363253 Rat

Omim: 613474 Human

SwissProt: Q8WV99 Human

SwissProt: Q91X58 Mouse

SwissProt: Q4KLG9 Rat

Unigene: 534540 Human

Unigene: 32646 Mouse

Unigene: 32162 Rat



产品图片
Paraformaldehyde-fixed, paraffin embedded (Mouse brain); Antigen retrieval by boiling in sodium citrate buffer (pH6.0) for 15min; Block endogenous peroxidase by 3% hydrogen peroxide for 20 minutes; Blocking buffer (normal goat serum) at 37°C for 30min; Antibody incubation with (ZFAND2B) Polyclonal Antibody, Unconjugated (bs-18519R) at 1:400 overnight at 4°C, followed by operating according to SP Kit(Rabbit) (sp-0023) instructionsand DAB staining.
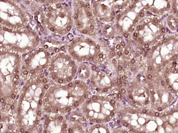
Paraformaldehyde-fixed, paraffin embedded (Rat kidney); Antigen retrieval by boiling in sodium citrate buffer (pH6.0) for 15min; Block endogenous peroxidase by 3% hydrogen peroxide for 20 minutes; Blocking buffer (normal goat serum) at 37°C for 30min; Antibody incubation with (ZFAND2B) Polyclonal Antibody, Unconjugated (bs-18519R) at 1:400 overnight at 4°C, followed by operating according to SP Kit(Rabbit) (sp-0023) instructionsand DAB staining.
版权所有 2004-2026 www.bioss.com.cn 北京博奥森生物技术有限公司
通过国际质量管理体系ISO 9001:2015 GB/T 19001-2016    证书编号: 00124Q34771R2M/1100
通过国际医疗器械-质量管理体系ISO 13485:2016 GB/T 42061-2022     证书编号: CQC24QY20047R0M/1100
京ICP备05066980号-1         京公网安备110107000727号