扫码关注公众号           扫码咨询技术支持           扫码咨询技术服务
  
客服热线:400-901-9800  客服QQ:4009019800  技术答疑  技术支持  质量反馈  关于我们  联系我们
产品中心-北京博奥森生物技术有限公司
首页 > 产品中心 > 一抗 > 产品信息
ZDHHC13/HIP14L Rabbit pAb (bs-18474R)  
订购热线:400-901-9800
订购邮箱:sales@bioss.com.cn
订购QQ:  400-901-9800
技术支持:techsupport@bioss.com.cn
50ul/1180.00元
100ul/1980.00元
200ul/2800.00元
大包装/询价

产品编号 bs-18474R
英文名称 ZDHHC13/HIP14L Rabbit pAb
中文名称 ZDHHC13蛋白抗体
别    名 DHHC 13; DHHC-13; FLJ10852; FLJ10941; HIP14 like; HIP14 related protein; HIP14-related protein; HIP14L; HIP3RP; Huntingtin interacting protein 14 related protein; Huntingtin interacting protein HIP3RP; Huntingtin-interacting protein 14-related protein; Huntingtin-interacting protein HIP3RP; Hypothetical protein similar to ankyrin repeat containing priotein AKR1; MGC64994; Palmitoyltransferase ZDHHC13; Probable palmitoyltransferase ZDHHC13; Putative MAPK activating protein PM03; Putative MAPK-activating protein PM03; Putative NF kappa B activating protein 209; Putative NF-kappa-B-activating protein 209; ZDH13_HUMAN; ZDHHC 13; ZDHHC13; Zinc finger DHHC domain containing 13; Zinc finger DHHC domain-containing protein 13.  
研究领域 细胞生物  染色质和核信号  表观遗传学  
抗体来源 Rabbit
克隆类型 Polyclonal
克 隆 号
交叉反应 Human,Rat (predicted: Mouse)
产品应用 IHC-P=1:100-500,IHC-F=1:100-500,IF=1:100-500
not yet tested in other applications.
optimal dilutions/concentrations should be determined by the end user.
理论分子量 71 kDa
检测分子量
细胞定位 细胞浆 
性    状 Liquid
浓    度 1mg/ml
免 疫 原 KLH conjugated synthetic peptide derived from human ZDHHC13/HIP14L: 501-600/622 
亚    型 IgG
纯化方法 affinity purified by Protein A
缓 冲 液 0.01M TBS (pH7.4) with 1% BSA, 0.02% Proclin300 and 50% Glycerol.
保存条件 Shipped at 4℃. Store at -20℃ for one year. Avoid repeated freeze/thaw cycles.
注意事项 This product as supplied is intended for research use only, not for use in human, therapeutic or diagnostic applications.
PubMed PubMed
产品介绍 ZDHHC13 is a 622 amino acid multi-pass membrane protein that contains one DHHC-type zinc finger and six ANK repeats. Expressed as multiple alternatively spliced isoforms, HIP14L functions as a palmitoyltransferase that catalyzes the conversion of palmitoyl-CoA and a protein-cyeteine to an S-palmitoyl protein and CoA and, via this catalytic activity, may be involved in the NFⅹB signaling pathway. The gene encoding HIP14L maps to human chromosome 11, which houses over 1,400 genes and comprises nearly 4% of the human genome. Jervell and Lange-Nielsen syndrome, Jacobsen syndrome, Niemann-Pick disease, hereditary angioedema and Smith-Lemli-Opitz syndrome are associated with defects in genes that maps to chromosome 11.

Function:
Palmitoyltransferase for HD and GAD2 (By similarity). Mediates Mg(2+) transport.

Subcellular Location:
Golgi apparatus membrane. Cytoplasmic vesicle membrane. Low extracellular Mg(2+) induces increase in Golgi and in post-Golgi vesicles.

Similarity:
Belongs to the DHHC palmitoyltransferase family.
AKR/ZDHHC17 subfamily.
Contains 6 ANK repeats.
Contains 1 DHHC-type zinc finger.

SWISS:
Q8IUH4

Gene ID:
54503

Database links:

Entrez Gene: 422980 Chicken

Entrez Gene: 54503 Human

Entrez Gene: 243983 Mouse

Entrez Gene: 365252 Rat

Entrez Gene: 494107 Zebrafish

Omim: 612815 Human

SwissProt: Q8IUH4 Human

SwissProt: Q9CWU2 Mouse

Unigene: 188569 Human

Unigene: 279116 Mouse



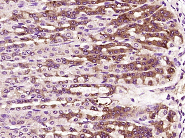
产品图片
Paraformaldehyde-fixed, paraffin embedded (human colon carcinoma); Antigen retrieval by boiling in sodium citrate buffer (pH6.0) for 15min; Block endogenous peroxidase by 3% hydrogen peroxide for 20 minutes; Blocking buffer (normal goat serum) at 37°C for 30min; Antibody incubation with (ZDHHC13) Polyclonal Antibody, Unconjugated (bs-18474R) at 1:400 overnight at 4°C, followed by operating according to SP Kit(Rabbit) (sp-0023) instructionsand DAB staining.
Paraformaldehyde-fixed, paraffin embedded (rat stomach tissue); Antigen retrieval by boiling in sodium citrate buffer (pH6.0) for 15min; Block endogenous peroxidase by 3% hydrogen peroxide for 20 minutes; Blocking buffer (normal goat serum) at 37°C for 30min; Antibody incubation with (ZDHHC13) Polyclonal Antibody, Unconjugated (bs-18474R) at 1:400 overnight at 4°C, followed by operating according to SP Kit(Rabbit) (sp-0023) instructionsand DAB staining.
版权所有 2004-2026 www.bioss.com.cn 北京博奥森生物技术有限公司
通过国际质量管理体系ISO 9001:2015 GB/T 19001-2016    证书编号: 00124Q34771R2M/1100
通过国际医疗器械-质量管理体系ISO 13485:2016 GB/T 42061-2022     证书编号: CQC24QY20047R0M/1100
京ICP备05066980号-1         京公网安备110107000727号