扫码关注公众号           扫码咨询技术支持           扫码咨询技术服务
  
客服热线:400-901-9800  客服QQ:4009019800  技术答疑  技术支持  质量反馈  关于我们  联系我们
产品中心-北京博奥森生物技术有限公司
首页 > 产品中心 > 一抗 > 产品信息
DNA Ligase III Rabbit pAb (bs-10754R)  
订购热线:400-901-9800
订购邮箱:sales@bioss.com.cn
订购QQ:  400-901-9800
技术支持:techsupport@bioss.com.cn
50ul/1180.00元
100ul/1980.00元
200ul/2800.00元
大包装/询价

产品编号 bs-10754R
英文名称 DNA Ligase III Rabbit pAb
中文名称 DNA连接酶3抗体
别    名 DNA Ligase 3; D11Wsu78e; DNA ligase; DNA ligase 3; DNA ligase III; DNLI3_HUMAN; LIG 3; LIG2; LIG3; Ligase II, DNA, ATP dependent; Ligase III DNA ATP dependent; MGC78176; OTTMUSP00000000875; Polydeoxyribonucleotide synthase [ATP] 3; Polydeoxyribonucleotide synthase [ATP]; Polydeoxyribonucleotide synthase; RP23-316C11.6.  
研究领域 细胞生物  表观遗传学  
抗体来源 Rabbit
克隆类型 Polyclonal
克 隆 号
交叉反应 Human,Rat (predicted: Mouse,Rabbit,Chicken)
产品应用 IHC-P=1:100-500,IHC-F=1:100-500,IF=1:100-500
not yet tested in other applications.
optimal dilutions/concentrations should be determined by the end user.
理论分子量 113 kDa
检测分子量
细胞定位 细胞核 
性    状 Liquid
浓    度 1mg/ml
免 疫 原 KLH conjugated synthetic peptide derived from human DNA Ligase III: 701-800/1009 
亚    型 IgG
纯化方法 affinity purified by Protein A
缓 冲 液 0.01M TBS (pH7.4) with 1% BSA, 0.02% Proclin300 and 50% Glycerol.
保存条件 Shipped at 4℃. Store at -20℃ for one year. Avoid repeated freeze/thaw cycles.
注意事项 This product as supplied is intended for research use only, not for use in human, therapeutic or diagnostic applications.
PubMed PubMed
产品介绍 Interacts with DNA-repair protein XRCC1 and can correct defective DNA strand-break repair and sister chromatid exchange following treatment with ionizing radiation and alkylating agents.

Function:
Interacts with DNA-repair protein XRCC1 and can correct defective DNA strand-break repair and sister chromatid exchange following treatment with ionizing radiation and alkylating agents.

Subcellular Location:
Nucleus.

Tissue Specificity:
Testis, thymus, prostate and heart.

Similarity:
Belongs to the ATP-dependent DNA ligase family.
Contains 1 BRCT domain.
Contains 1 PARP-type zinc finger.

SWISS:
P49916

Gene ID:
3980

Database links:

Entrez Gene: 514719 Cow

Entrez Gene: 3980 Human

Entrez Gene: 16882 Mouse

Entrez Gene: 303369 Rat

Omim: 600940 Human

SwissProt: P49916 Human

SwissProt: P97386 Mouse

Unigene: 100299 Human

Unigene: 277136 Mouse

Unigene: 230056 Rat



产品图片
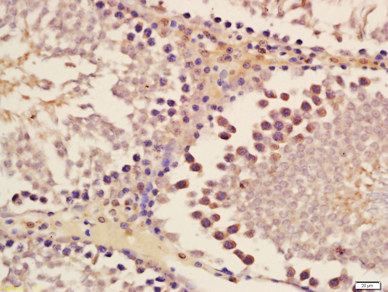
Tissue/cell: rat testis tissue; 4% Paraformaldehyde-fixed and paraffin-embedded; Antigen retrieval: citrate buffer ( 0.01M, pH 6.0 ), Boiling bathing for 15min; Block endogenous peroxidase by 3% Hydrogen peroxide for 30min; Blocking buffer (normal goat serum,C-0005) at 37℃ for 20 min; Incubation: Anti-DNA Ligase III Polyclonal Antibody, Unconjugated(bs-10754R) 1:200, overnight at 4°C, followed by conjugation to the secondary antibody(SP-0023) and DAB(C-0010) staining
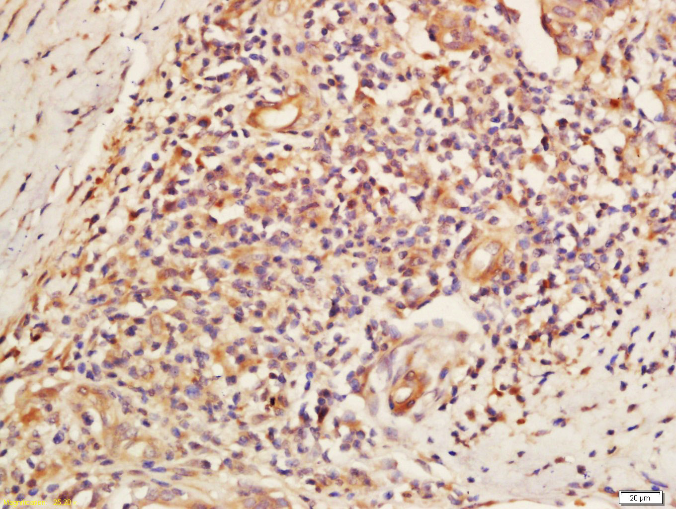
Tissue/cell: human laryngeal tissue; 4% Paraformaldehyde-fixed and paraffin-embedded; Antigen retrieval: citrate buffer ( 0.01M, pH 6.0 ), Boiling bathing for 15min; Block endogenous peroxidase by 3% Hydrogen peroxide for 30min; Blocking buffer (normal goat serum,C-0005) at 37℃ for 20 min; Incubation: Anti-DNA Ligase III Polyclonal Antibody, Unconjugated(bs-10754R) 1:200, overnight at 4°C, followed by conjugation to the secondary antibody(SP-0023) and DAB(C-0010) staining
版权所有 2004-2026 www.bioss.com.cn 北京博奥森生物技术有限公司
通过国际质量管理体系ISO 9001:2015 GB/T 19001-2016    证书编号: 00124Q34771R2M/1100
通过国际医疗器械-质量管理体系ISO 13485:2016 GB/T 42061-2022     证书编号: CQC24QY20047R0M/1100
京ICP备05066980号-1         京公网安备110107000727号