扫码关注公众号           扫码咨询技术支持           扫码咨询技术服务
  
客服热线:400-901-9800  客服QQ:4009019800  技术答疑  技术支持  质量反馈  关于我们  联系我们
产品中心-北京博奥森生物技术有限公司
首页 > 产品中心 > 一抗 > 产品信息
LW1/HSFX1 Rabbit pAb (bs-18448R)  
订购热线:400-901-9800
订购邮箱:sales@bioss.com.cn
订购QQ:  400-901-9800
技术支持:techsupport@bioss.com.cn
50ul/1180.00元
100ul/1980.00元
200ul/2800.00元
大包装/询价

产品编号 bs-18448R
英文名称 LW1/HSFX1 Rabbit pAb
中文名称 热休克转录因子家族X连锁1抗体
别    名 hCG_27154; heat shock transcription factor family X linked 1; Heat shock transcription factor, X-linked; HSFX1; HSFX2; LW 1; LW1.  
研究领域 细胞生物  免疫学  信号转导  转录调节因子  表观遗传学  
抗体来源 Rabbit
克隆类型 Polyclonal
克 隆 号
交叉反应 Human
产品应用 WB=1:500-2000,IHC-P=1:100-500,IHC-F=1:100-500,IF=1:100-500
not yet tested in other applications.
optimal dilutions/concentrations should be determined by the end user.
理论分子量 45 kDa
检测分子量
细胞定位 细胞核 细胞浆 
性    状 Liquid
浓    度 1mg/ml
免 疫 原 KLH conjugated synthetic peptide derived from human LW1/HSFX1: 181-280/423 
亚    型 IgG
纯化方法 affinity purified by Protein A
缓 冲 液 0.01M TBS (pH7.4) with 1% BSA, 0.02% Proclin300 and 50% Glycerol.
保存条件 Shipped at 4℃. Store at -20℃ for one year. Avoid repeated freeze/thaw cycles.
注意事项 This product as supplied is intended for research use only, not for use in human, therapeutic or diagnostic applications.
PubMed PubMed
产品介绍 HSFX1 (heat shock transcription factor family, X linked 1), also known as LW-1, is a 423 amino acid protein that is predominately expressed in testis. Localized to the cytoplasm, HSFX1 is thought to be involved in spermatogenesis and male fertility.

Subcellular Location:
Nucleus (Potential). Cytoplasm.

Tissue Specificity:
Testis-specific.

Similarity:
Belongs to the HSF family.

SWISS:
Q9UBD0

Gene ID:
100506164

Database links:

Entrez Gene: 100506164 Human

GenBank: NM_016153 Human

SwissProt: Q9UBD0 Human

Unigene: 709146 Human



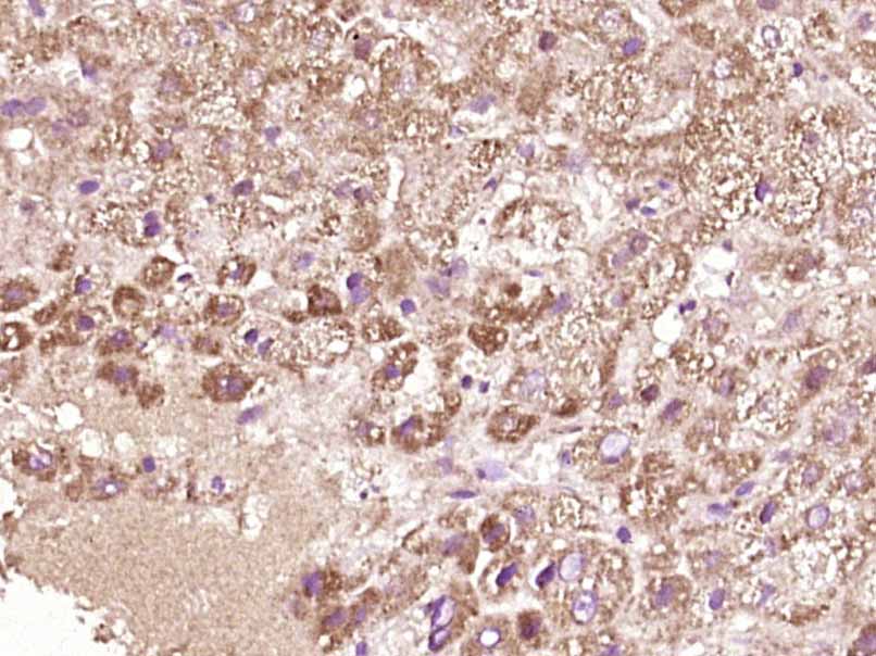
产品图片
Sample: Jurkat Cell (Human) Lysate at 40 ug Hela Cell (Human) Lysate at 40 ug Primary: Anti-LW1/HSFX1 (bs-18448R) at 1/300 dilution Secondary: IRDye800CW Goat Anti-Rabbit IgG at 1/20000 dilution Predicted band size: 45 kD Observed band size: 48 kD
Paraformaldehyde-fixed, paraffin embedded (Human liver carcinoma); Antigen retrieval by boiling in sodium citrate buffer (pH6.0) for 15min; Block endogenous peroxidase by 3% hydrogen peroxide for 20 minutes; Blocking buffer (normal goat serum) at 37°C for 30min; Antibody incubation with (HSFX1) Polyclonal Antibody, Unconjugated (bs-18448R) at 1:400 overnight at 4°C, followed by operating according to SP Kit(Rabbit) (sp-0023) instructionsand DAB staining.
版权所有 2004-2026 www.bioss.com.cn 北京博奥森生物技术有限公司
通过国际质量管理体系ISO 9001:2015 GB/T 19001-2016    证书编号: 00124Q34771R2M/1100
通过国际医疗器械-质量管理体系ISO 13485:2016 GB/T 42061-2022     证书编号: CQC24QY20047R0M/1100
京ICP备05066980号-1         京公网安备110107000727号