扫码关注公众号           扫码咨询技术支持           扫码咨询技术服务
  
客服热线:400-901-9800  客服QQ:4009019800  技术答疑  技术支持  质量反馈  关于我们  联系我们
产品中心-北京博奥森生物技术有限公司
首页 > 产品中心 > 一抗 > 产品信息
RPS20 Rabbit pAb (bs-18322R)  
订购热线:400-901-9800
订购邮箱:sales@bioss.com.cn
订购QQ:  400-901-9800
技术支持:techsupport@bioss.com.cn
50ul/1180.00元
100ul/1980.00元
200ul/2800.00元
大包装/询价

产品编号 bs-18322R
英文名称 RPS20 Rabbit pAb
中文名称 40S核糖体蛋白S20抗体
别    名 LOC100359563; RS20_HUMAN; 40S ribosomal protein S20.  
研究领域 细胞生物  转录调节因子  表观遗传学  
抗体来源 Rabbit
克隆类型 Polyclonal
克 隆 号
交叉反应 Rat (predicted: Human,Mouse,Pig,Sheep,Cow,Dog,Horse,Saccharomyces cerevisiae)
产品应用 IHC-P=1:100-500,IHC-F=1:100-500,IF=1:100-500
not yet tested in other applications.
optimal dilutions/concentrations should be determined by the end user.
理论分子量 13 kDa
检测分子量
细胞定位 细胞浆 
性    状 Liquid
浓    度 1mg/ml
免 疫 原 KLH conjugated synthetic peptide derived from human RPS20: 31-119/119 
亚    型 IgG
纯化方法 affinity purified by Protein A
缓 冲 液 0.01M TBS (pH7.4) with 1% BSA, 0.02% Proclin300 and 50% Glycerol.
保存条件 Shipped at 4℃. Store at -20℃ for one year. Avoid repeated freeze/thaw cycles.
注意事项 This product as supplied is intended for research use only, not for use in human, therapeutic or diagnostic applications.
PubMed PubMed
产品介绍 Mammalian ribosomal proteins are encoded by multigene families that consist of processed pseudogenes and one functional intron-containing gene within their coding regions. Ribosomal Protein S20, also known as RPS20, is a 119 amino acid cytoplasmic protein that is a component of the 40S ribosomal subunit. Co-transcribed with the small nucleolar RNA gene U54, Ribosomal Protein S20 is a primary binding protein (it binds independently to its target protein) that interacts with both the 5’ and 3’ minor domains of 16S ribosomal RNA (rRNA). Through its interactions with 16S rRNA, Ribosomal Protein S20 is thought to play a key role in nucleating the assembly of the 30S ribosomal subunit. Like most ribosomal protein-coding genes, the gene encoding Ribosomal Protein S20 is dispersed throughout the genome and exists as multiple processed pseudogenes.

Subcellular Location:
Cytoplasm

Similarity:
Belongs to the ribosomal protein S10P family.

SWISS:
P60866

Gene ID:
NP 001014

Database links:

GenBank: NP_001014 Human

NCBI: XP_002727163.1 Rat

SwissProt: P60866 Human



产品图片
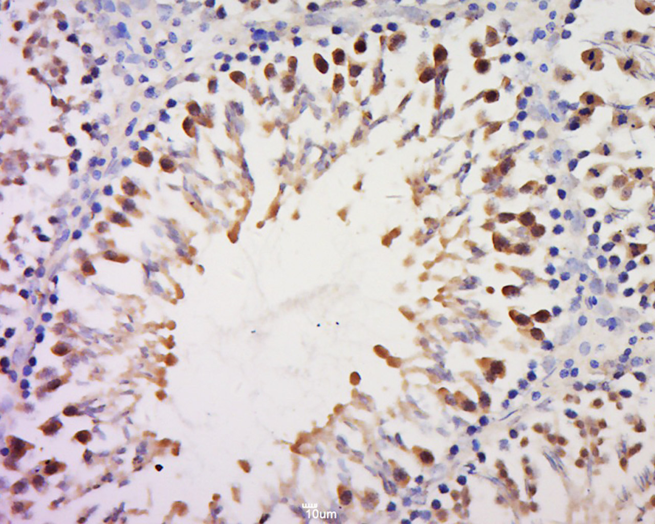
Tissue/cell: rat ovary tissue; 4% Paraformaldehyde-fixed and paraffin-embedded; Antigen retrieval: citrate buffer ( 0.01M, pH 6.0 ), Boiling bathing for 15min; Block endogenous peroxidase by 3% Hydrogen peroxide for 30min; Blocking buffer (normal goat serum,C-0005) at 37℃ for 20 min; Incubation: Anti-RPS20 Polyclonal Antibody, Unconjugated(bs-18322R) 1:500, overnight at 4°C, followed by conjugation to the secondary antibody(SP-0023) and DAB(C-0010) staining
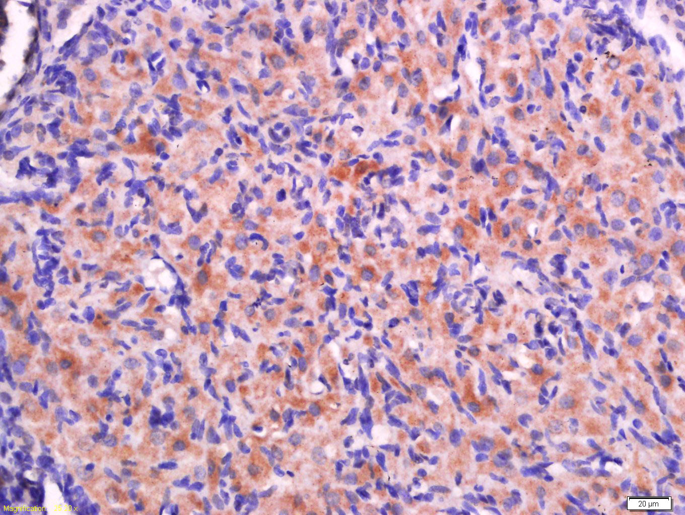
Tissue/cell: rat testis tissue; 4% Paraformaldehyde-fixed and paraffin-embedded; Antigen retrieval: citrate buffer ( 0.01M, pH 6.0 ), Boiling bathing for 15min; Block endogenous peroxidase by 3% Hydrogen peroxide for 30min; Blocking buffer (normal goat serum,C-0005) at 37℃ for 20 min; Incubation: Anti-RPS20 Polyclonal Antibody, Unconjugated(bs-18322R) 1:500, overnight at 4°C, followed by conjugation to the secondary antibody(SP-0023) and DAB(C-0010) staining
版权所有 2004-2026 www.bioss.com.cn 北京博奥森生物技术有限公司
通过国际质量管理体系ISO 9001:2015 GB/T 19001-2016    证书编号: 00124Q34771R2M/1100
通过国际医疗器械-质量管理体系ISO 13485:2016 GB/T 42061-2022     证书编号: CQC24QY20047R0M/1100
京ICP备05066980号-1         京公网安备110107000727号