扫码关注公众号           扫码咨询技术支持           扫码咨询技术服务
  
客服热线:400-901-9800  客服QQ:4009019800  技术答疑  技术支持  质量反馈  关于我们  联系我们
产品中心-北京博奥森生物技术有限公司
首页 > 产品中心 > 一抗 > 产品信息
Leucyl tRNA synthetase Rabbit pAb (bs-18227R)  
订购热线:400-901-9800
订购邮箱:sales@bioss.com.cn
订购QQ:  400-901-9800
技术支持:techsupport@bioss.com.cn
50ul/1180.00元
100ul/1980.00元
200ul/2800.00元
大包装/询价

产品编号 bs-18227R
英文名称 Leucyl tRNA synthetase Rabbit pAb
中文名称 胞浆亮氨酸tRNA连接酶抗体
别    名 Cytoplasmic leucyl tRNA synthetase; Cytosolic leucyl tRNA synthetase; FLJ10595; FLJ21788; hr025Cl; HSPC 192; HSPC192; KIAA1352; LARS 1; LARS; LARS1; Leucine translase; Leucine tRNA ligase; Leucine tRNA ligase; Leucyl tRNA synthetase cytoplasmic; LeuRS; LEUS; LRS; PIG 44; PIG44; Proliferation inducing gene 44; RNTLS.  
研究领域 细胞生物  免疫学  转录调节因子  表观遗传学  
抗体来源 Rabbit
克隆类型 Polyclonal
克 隆 号
交叉反应 Human,Mouse (predicted: Rat,Rabbit,Pig,Dog,Horse)
产品应用 IHC-P=1:100-500,IHC-F=1:100-500,IF=1:100-500
not yet tested in other applications.
optimal dilutions/concentrations should be determined by the end user.
理论分子量 135 kDa
检测分子量
细胞定位 细胞浆 
性    状 Liquid
浓    度 1mg/ml
免 疫 原 KLH conjugated synthetic peptide derived from human Leucyl tRNA synthetase: 201-300/1176 
亚    型 IgG
纯化方法 affinity purified by Protein A
缓 冲 液 0.01M TBS (pH7.4) with 1% BSA, 0.02% Proclin300 and 50% Glycerol.
保存条件 Shipped at 4℃. Store at -20℃ for one year. Avoid repeated freeze/thaw cycles.
注意事项 This product as supplied is intended for research use only, not for use in human, therapeutic or diagnostic applications.
PubMed PubMed
产品介绍 This gene encodes a cytosolic leucine-tRNA synthetase, a member of the class I aminoacyl-tRNA synthetase family. The encoded enzyme catalyzes the ATP-dependent ligation of L-leucine to tRNA(Leu). It is found in the cytoplasm as part of a multisynthetase complex and interacts with the arginine tRNA synthetase through its C-terminal domain. Alternatively spliced transcript variants of this gene have been found; however, their full-length nature is not known. [provided by RefSeq, Jul 2008]

Function:
Leucyl tRNA synthetase is a component of multi ARS complex and catalyzes the ligation of leucine with leucyl tRNA.

Subcellular Location:
Cytoplasmic

Similarity:
Belongs to the class-I aminoacyl-tRNA synthetase family.

SWISS:
Q9P2J5

Gene ID:
51520

Database links:

Entrez Gene: 51520 Human

Entrez Gene: 107045 Mouse

Omim: 151350 Human

SwissProt: Q9P2J5 Human

SwissProt: Q8BMJ2 Mouse

Unigene: 432674 Human



产品图片
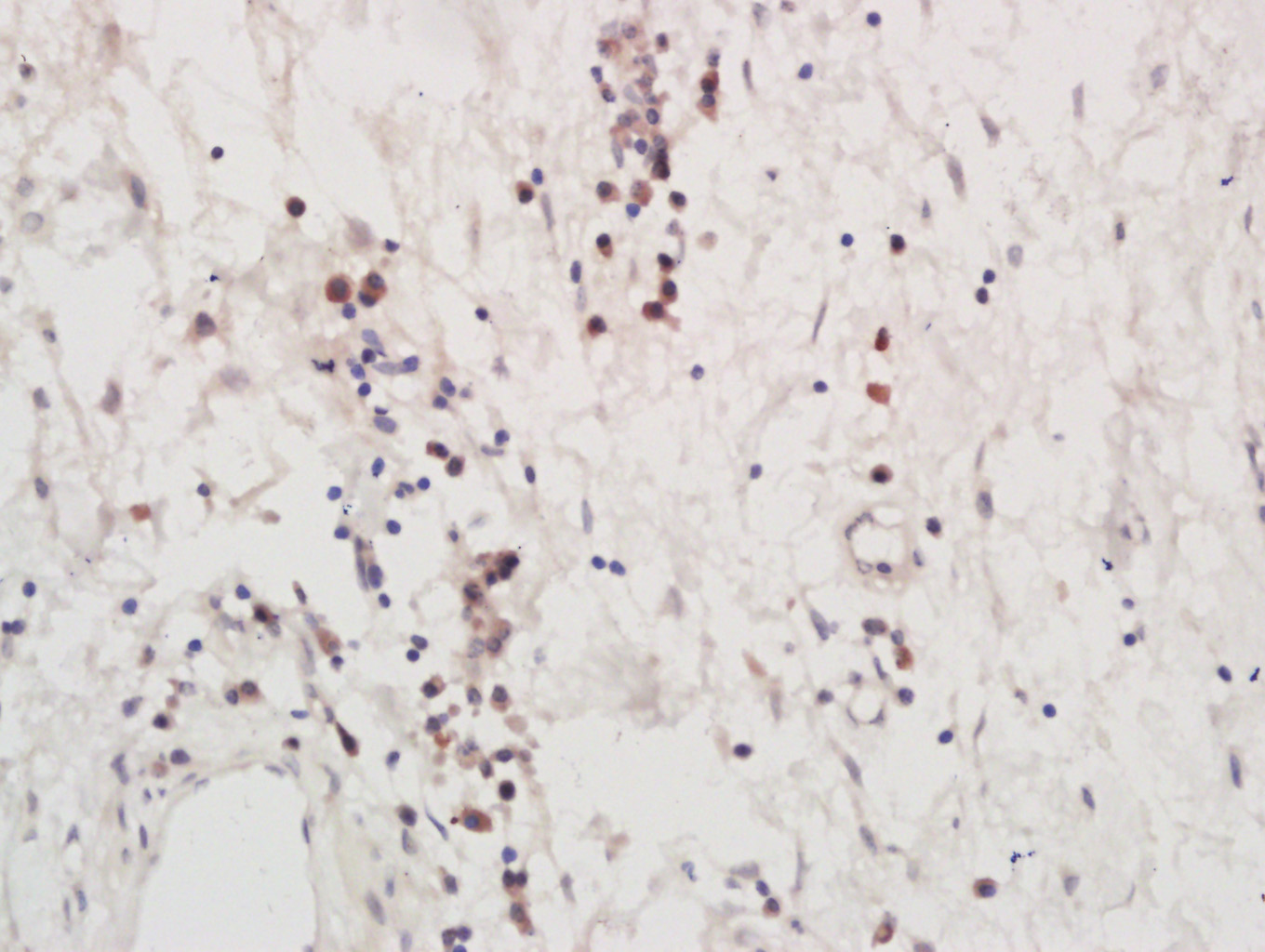
Paraformaldehyde-fixed, paraffin embedded (Human colorectal cancer); Antigen retrieval by boiling in sodium citrate buffer (pH6.0) for 15min; Block endogenous peroxidase by 3% hydrogen peroxide for 20 minutes; Blocking buffer (normal goat serum) at 37°C for 30min; Antibody incubation with (Leucyl tRNA synthetase) Polyclonal Antibody, Unconjugated (bs-18227R) at 1:400 overnight at 4°C, followed by a conjugated secondary antibody (sp-0023) for 20 minutes and DAB staining.
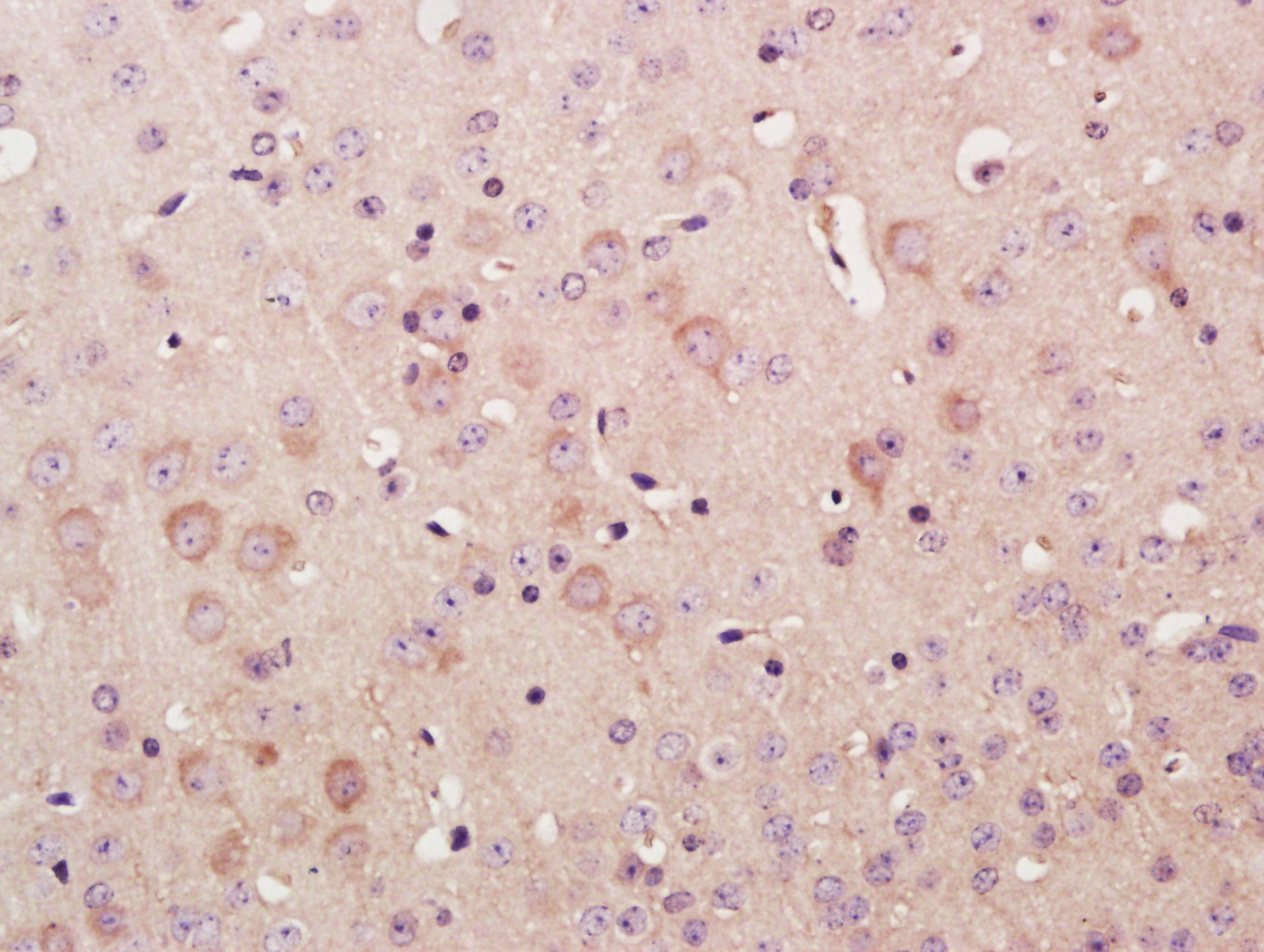
Paraformaldehyde-fixed, paraffin embedded (Mouse brain); Antigen retrieval by boiling in sodium citrate buffer (pH6.0) for 15min; Block endogenous peroxidase by 3% hydrogen peroxide for 20 minutes; Blocking buffer (normal goat serum) at 37°C for 30min; Antibody incubation with (Leucyl tRNA synthetase) Polyclonal Antibody, Unconjugated (bs-18227R) at 1:400 overnight at 4°C, followed by a conjugated secondary antibody (sp-0023) for 20 minutes and DAB staining.
版权所有 2004-2026 www.bioss.com.cn 北京博奥森生物技术有限公司
通过国际质量管理体系ISO 9001:2015 GB/T 19001-2016    证书编号: 00124Q34771R2M/1100
通过国际医疗器械-质量管理体系ISO 13485:2016 GB/T 42061-2022     证书编号: CQC24QY20047R0M/1100
京ICP备05066980号-1         京公网安备110107000727号