扫码关注公众号           扫码咨询技术支持           扫码咨询技术服务
  
客服热线:400-901-9800  客服QQ:4009019800  技术答疑  技术支持  质量反馈  关于我们  联系我们
产品中心-北京博奥森生物技术有限公司
首页 > 产品中心 > 一抗 > 产品信息
SEH1L Rabbit pAb (bs-8721R)  
订购热线:400-901-9800
订购邮箱:sales@bioss.com.cn
订购QQ:  400-901-9800
技术支持:techsupport@bioss.com.cn
50ul/1180.00元
100ul/1980.00元
200ul/2800.00元
大包装/询价

产品编号 bs-8721R
英文名称 SEH1L Rabbit pAb
中文名称 核通道蛋白SEH1L抗体
别    名 Nucleoporin SEH1; Nup107-160 subcomplex subunit SEH1; SEC13-like protein; SEC13L; Seh 1; SEH1-like(S. cerevisiae); SEH1_HUMAN; SEH1A; SEH1B; SEH1L  
研究领域 细胞生物  免疫学  染色质和核信号  信号转导  表观遗传学  
抗体来源 Rabbit
克隆类型 Polyclonal
克 隆 号
交叉反应 Rat (predicted: Human,Mouse,Rabbit,Pig,Cow,Chicken,Dog)
产品应用 IHC-P=1:100-500,IHC-F=1:100-500,IF=1:100-500
not yet tested in other applications.
optimal dilutions/concentrations should be determined by the end user.
理论分子量 40 kDa
检测分子量
细胞定位 细胞核 
性    状 Liquid
浓    度 1mg/ml
免 疫 原 KLH conjugated synthetic peptide derived from human SEH1L: 1-100/360 
亚    型 IgG
纯化方法 affinity purified by Protein A
缓 冲 液 0.01M TBS (pH7.4) with 1% BSA, 0.02% Proclin300 and 50% Glycerol.
保存条件 Shipped at 4℃. Store at -20℃ for one year. Avoid repeated freeze/thaw cycles.
注意事项 This product as supplied is intended for research use only, not for use in human, therapeutic or diagnostic applications.
PubMed PubMed
产品介绍 Seh1 is a 421 amino acid protein belonging to the WD repeat Sec13 family. Localized to the nucleus, Seh1 is a component of the nuclear pore complex Nup107-160. Nuclear pore complexes control bidirectional transport of macromolecules between the cytoplasm and the nucleus. All components of the complex Nup107-160, including Seh1, localize to the kinetochores during mitosis. Seh1 is expressed as two isoforms produced by alternative splicing and contains six WD repeats.

Function:
Component of the Nup107-160 subcomplex of the nuclear pore complex (NPC). The Nup107-160 subcomplex is required for the assembly of a functional NPC. The Nup107-160 subcomplex is also required for normal kinetochore microtubule attachment, mitotic progression and chromosome segregation. This subunit plays a role in recruitment of the Nup107-160 subcomplex to the kinetochore.

Subcellular Location:
Chromosome; centromere; kinetochore. Nucleus; nuclear pore complex.

Similarity:
Belongs to the WD repeat SEC13 family.
Contains 6 WD repeats.

SWISS:
Q96EE3

Gene ID:
81929

Database links:

Entrez Gene: 81929 Human

Omim: 609263 Human

SwissProt: Q96EE3 Human

Unigene: 301048 Human



产品图片
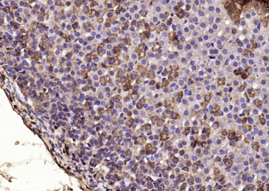
Paraformaldehyde-fixed, paraffin embedded (rat adrenal gland); Antigen retrieval by boiling in sodium citrate buffer (pH6.0) for 15min; Block endogenous peroxidase by 3% hydrogen peroxide for 20 minutes; Blocking buffer (normal goat serum) at 37°C for 30min; Antibody incubation with (SEH1L) Polyclonal Antibody, Unconjugated (bs-8721R) at 1:200 overnight at 4°C, followed by operating according to SP Kit(Rabbit) (sp-0023) instructionsand DAB staining.
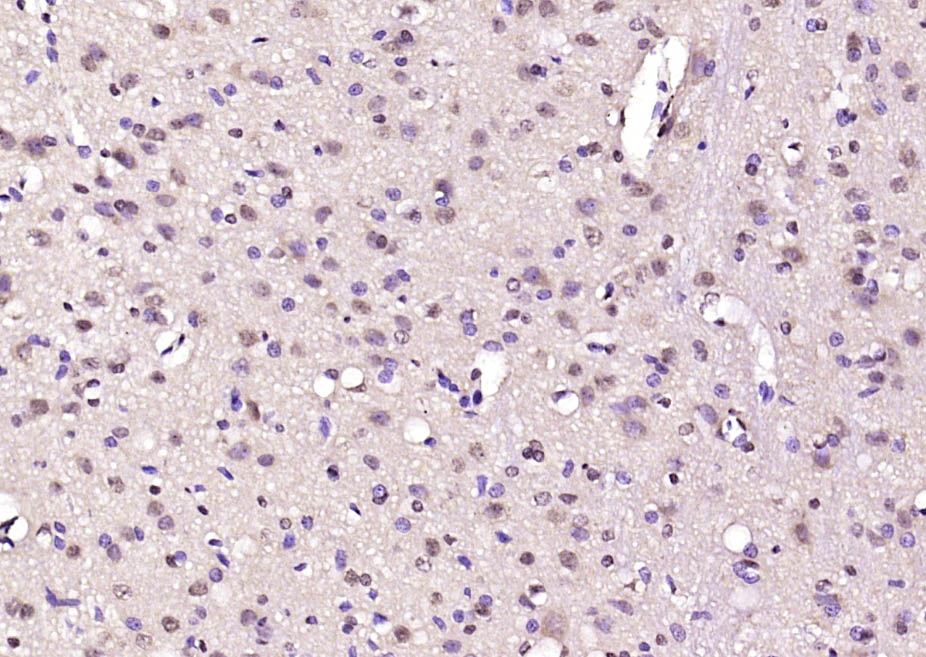
Paraformaldehyde-fixed, paraffin embedded (rat brain); Antigen retrieval by boiling in sodium citrate buffer (pH6.0) for 15min; Block endogenous peroxidase by 3% hydrogen peroxide for 20 minutes; Blocking buffer (normal goat serum) at 37°C for 30min; Antibody incubation with (SEH1L) Polyclonal Antibody, Unconjugated (bs-8721R) at 1:200 overnight at 4°C, followed by operating according to SP Kit(Rabbit) (sp-0023) instructionsand DAB staining.
版权所有 2004-2026 www.bioss.com.cn 北京博奥森生物技术有限公司
通过国际质量管理体系ISO 9001:2015 GB/T 19001-2016    证书编号: 00124Q34771R2M/1100
通过国际医疗器械-质量管理体系ISO 13485:2016 GB/T 42061-2022     证书编号: CQC24QY20047R0M/1100
京ICP备05066980号-1         京公网安备110107000727号