扫码关注公众号           扫码咨询技术支持           扫码咨询技术服务
  
客服热线:400-901-9800  客服QQ:4009019800  技术答疑  技术支持  质量反馈  人才招聘  关于我们  联系我们
产品中心-北京博奥森生物技术有限公司
首页 > 产品中心 > 一抗 > 产品信息
MTR Rabbit pAb (bs-17892R)  
订购热线:400-901-9800
订购邮箱:sales@bioss.com.cn
订购QQ:  400-901-9800
技术支持:techsupport@bioss.com.cn
50ul/1180.00元
100ul/1980.00元
200ul/2800.00元
大包装/询价

产品编号 bs-17892R
英文名称 MTR Rabbit pAb
中文名称 蛋氨酸合成酶MTR抗体
别    名 HMAG; MS; cblG; D830038K18Rik; methioninesynthase; METH_HUMAN; MTR; 5-methyltetrahydrofolate--homocysteine methyltransferase; Cobalamin-dependent methionine synthase; Vitamin-B12 dependent methionine synthase; 2.1.1.13; METH_MOUSE; METH_RAT;   
研究领域 细胞生物  信号转导  表观遗传学  
抗体来源 Rabbit
克隆类型 Polyclonal
克 隆 号
交叉反应 Human,Rat (predicted: Mouse,Rabbit,Pig,Cow,Dog,Horse)
产品应用 WB=1:500-2000,IHC-P=1:100-500,IHC-F=1:100-500,IF=1:100-500
not yet tested in other applications.
optimal dilutions/concentrations should be determined by the end user.
理论分子量 140 kDa
细胞定位 细胞浆 
性    状 Liquid
浓    度 1mg/ml
免 疫 原 KLH conjugated synthetic peptide derived from human MTR: 1001-1100/1625 
亚    型 IgG
纯化方法 affinity purified by Protein A
缓 冲 液 0.01M TBS (pH7.4) with 1% BSA, 0.02% Proclin300 and 50% Glycerol.
保存条件 Shipped at 4℃. Store at -20℃ for one year. Avoid repeated freeze/thaw cycles.
注意事项 This product as supplied is intended for research use only, not for use in human, therapeutic or diagnostic applications.
PubMed PubMed
产品介绍 This gene encodes the 5-methyltetrahydrofolate-homocysteine methyltransferase. This enzyme, also known as cobalamin-dependent methionine synthase, catalyzes the final step in methionine biosynthesis. Mutations in MTR have been identified as the underlying cause of methylcobalamin deficiency complementation group G. Alternatively spliced transcript variants encoding distinct isoforms have been found for this gene. [provided by RefSeq, May 2014]

Function:
MTR encodes the enzyme 5-methyltetrahydrofolate-homocysteine methyltransferase. This enzyme, also known as cobalamin-dependent methionine synthase, catalyzes the final step in methionine biosynthesis. Mutations in MTR have been identified as the underlying cause of methylcobalamin deficiency complementation group G.

Subcellular Location:
Cytoplasmic

Tissue Specificity:
Widely expressed. Expressed at the highest levels in pancreas, heart, brain, skeletal muscle and placenta. Expressed at lower levels in lung, liver and kidney.

DISEASE:
Homocystinuria-megaloblastic anemia, cblG complementation type (HMAG) [MIM:250940]: An autosomal recessive inborn error of metabolism resulting from defects in the cobalamin-dependent pathway that converts homocysteine to methionine. It causes delayed psychomotor development, megaloblastic anemia, homocystinuria, and hypomethioninemia.

Similarity:
Belongs to the vitamin-B12 dependent methionine Contains 1 AdoMet activation domain. Contains 1 B12-binding domain. Contains 1 B12-binding N-terminal domain. Contains 1 Hcy-binding domain. Contains 1 pterin-binding domain.

SWISS:
Q99707

Gene ID:
4548

Database links:

Entrez Gene: 4548 Human

Entrez Gene: 238505 Mouse

Entrez Gene: 81522 Rat

NCBI: 4557765 Human

SwissProt: Q99707 Human

SwissProt: A6H5Y3 Mouse

SwissProt: Q9Z2Q4 Rat



产品图片
Sample: DU145 Cell (Human) Lysate at 40 ug Primary: Anti-MTR (bs-17892R) at 1/300 dilution Secondary: IRDye800CW Goat Anti-Rabbit IgG at 1/20000 dilution Predicted band size: 140 kD Observed band size: 140 kD
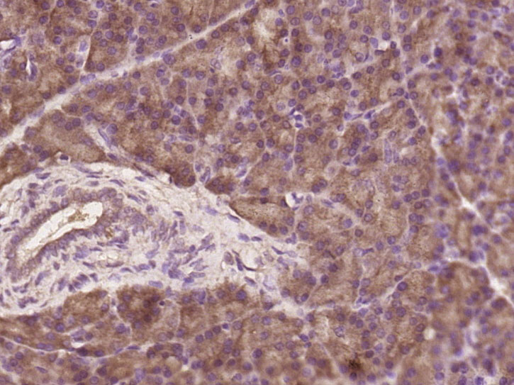
Paraformaldehyde-fixed, paraffin embedded (rat pancreas tissue); Antigen retrieval by boiling in sodium citrate buffer (pH6.0) for 15min; Block endogenous peroxidase by 3% hydrogen peroxide for 20 minutes; Blocking buffer (normal goat serum) at 37°C for 30min; Antibody incubation with (MTR) Polyclonal Antibody, Unconjugated (bs-17892R) at 1:400 overnight at 4°C, followed by operating according to SP Kit(Rabbit) (sp-0023) instructionsand DAB staining.
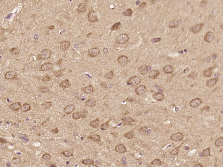
Paraformaldehyde-fixed, paraffin embedded (rat brain tissue); Antigen retrieval by boiling in sodium citrate buffer (pH6.0) for 15min; Block endogenous peroxidase by 3% hydrogen peroxide for 20 minutes; Blocking buffer (normal goat serum) at 37°C for 30min; Antibody incubation with (MTR) Polyclonal Antibody, Unconjugated (bs-17892R) at 1:400 overnight at 4°C, followed by operating according to SP Kit(Rabbit) (sp-0023) instructionsand DAB staining.
版权所有 2004-2026 www.bioss.com.cn 北京博奥森生物技术有限公司
通过国际质量管理体系ISO 9001:2015 GB/T 19001-2016    证书编号: 00124Q34771R2M/1100
通过国际医疗器械-质量管理体系ISO 13485:2016 GB/T 42061-2022     证书编号: CQC24QY20047R0M/1100
京ICP备05066980号-1         京公网安备110107000727号