扫码关注公众号           扫码咨询技术支持           扫码咨询技术服务
  
客服热线:400-901-9800  客服QQ:4009019800  技术答疑  技术支持  质量反馈  关于我们  联系我们
产品中心-北京博奥森生物技术有限公司
首页 > 产品中心 > 一抗 > 产品信息
MTHFSD Rabbit pAb (bs-17880R)  
订购热线:400-901-9800
订购邮箱:sales@bioss.com.cn
订购QQ:  400-901-9800
技术支持:techsupport@bioss.com.cn
50ul/1180.00元
100ul/1980.00元
200ul/2800.00元
大包装/询价

产品编号 bs-17880R
英文名称 MTHFSD Rabbit pAb
中文名称 MTHFSD蛋白抗体
别    名 MTHSD_HUMAN; MTHFSD; MTHSD_MOUSE;   
研究领域 细胞生物  免疫学  
抗体来源 Rabbit
克隆类型 Polyclonal
克 隆 号
交叉反应 Human,Mouse (predicted: Rat,Sheep,Cow,Dog,Horse)
产品应用 WB=1:500-2000,IHC-P=1:100-500,IHC-F=1:100-500,IF=1:100-500
not yet tested in other applications.
optimal dilutions/concentrations should be determined by the end user.
理论分子量 42 kDa
细胞定位 细胞核 细胞浆 
性    状 Liquid
浓    度 1mg/ml
免 疫 原 KLH conjugated synthetic peptide derived from human MTHFS: 81-180/383 
亚    型 IgG
纯化方法 affinity purified by Protein A
缓 冲 液 0.01M TBS (pH7.4) with 1% BSA, 0.02% Proclin300 and 50% Glycerol.
保存条件 Shipped at 4℃. Store at -20℃ for one year. Avoid repeated freeze/thaw cycles.
注意事项 This product as supplied is intended for research use only, not for use in human, therapeutic or diagnostic applications.
PubMed PubMed
产品介绍 MTHFSD (Methenyltetrahydrofolate synthetase domain-containing protein) is a 383 amino acid protein that contains one RRM (RNA recognition motif) domain, which suggests that MTHFSD functions as a RNA-binding protein. The RRM domain consists of four strands and two helices arranged in an α/β sandwich. The gene encoding MTHFSD maps to human chromosome 16, which encodes over 900 genes and comprises nearly 3% of the human genome.

Function:
This ATP and RNA binding protein may be involved in the folic acid biosynthetic process.

Similarity:
Contains 1 RRM (RNA recognition motif) domain.

SWISS:
Q2M296

Gene ID:
64779

Database links:

Entrez Gene: 64779 Human

SwissProt: Q2M296 Human

SwissProt: Q3URQ7 Mouse

Unigene: 343627 Human



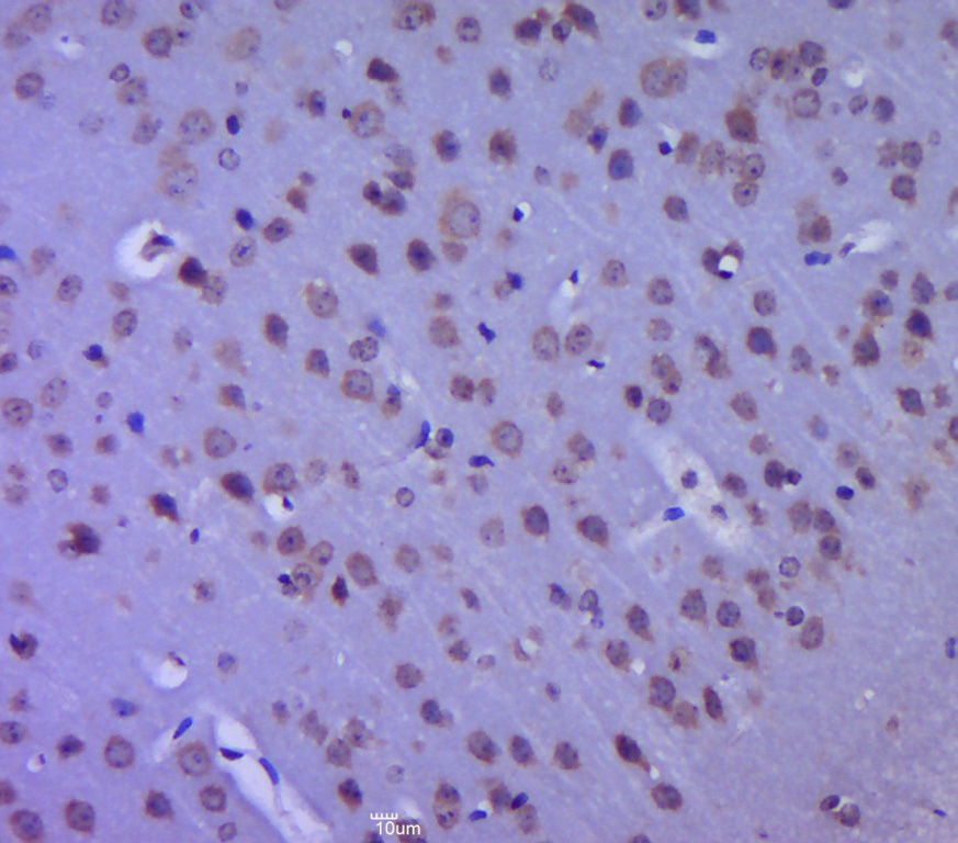
产品图片
Sample: Jurkat(Human) Cell Lysate at 30 ug Primary: Anti-MTHFSD (bs-17880R) at 1/300 dilution Secondary: IRDye800CW Goat Anti-Rabbit IgG at 1/20000 dilution Predicted band size: 42 kD Observed band size: 42 kD
Paraformaldehyde-fixed, paraffin embedded (mouse brain tissue); Antigen retrieval by boiling in sodium citrate buffer (pH6.0) for 15min; Block endogenous peroxidase by 3% hydrogen peroxide for 20 minutes; Blocking buffer (normal goat serum) at 37°C for 30min; Antibody incubation with (MTHFSD) Polyclonal Antibody, Unconjugated (bs-17880R) at 1:400 overnight at 4°C, followed by a conjugated secondary (sp-0023) for 20 minutes and DAB staining.
版权所有 2004-2026 www.bioss.com.cn 北京博奥森生物技术有限公司
通过国际质量管理体系ISO 9001:2015 GB/T 19001-2016    证书编号: 00124Q34771R2M/1100
通过国际医疗器械-质量管理体系ISO 13485:2016 GB/T 42061-2022     证书编号: CQC24QY20047R0M/1100
京ICP备05066980号-1         京公网安备110107000727号