扫码关注公众号           扫码咨询技术支持           扫码咨询技术服务
  
客服热线:400-901-9800  客服QQ:4009019800  技术答疑  技术支持  质量反馈  关于我们  联系我们
产品中心-北京博奥森生物技术有限公司
首页 > 产品中心 > 一抗 > 产品信息
MSH5 Rabbit pAb (bs-17852R)  
订购热线:400-901-9800
订购邮箱:sales@bioss.com.cn
订购QQ:  400-901-9800
技术支持:techsupport@bioss.com.cn
50ul/1180.00元
100ul/1980.00元
200ul/2800.00元
大包装/询价

产品编号 bs-17852R
英文名称 MSH5 Rabbit pAb
中文名称 MSH5蛋白抗体
别    名 DKFZp434C1615; G7; hMSH5; MGC2939; MSH 5; MSH5; MSH5_HUMAN; mutS(E. coli) homolog 5; mutS homolog 5; mutS homolog 5(E. coli); MutS protein homolog 5; MutSH5; NG23; OTTHUMP00000029187; OTTHUMP00000029188.  
研究领域 细胞生物  表观遗传学  
抗体来源 Rabbit
克隆类型 Polyclonal
克 隆 号
交叉反应 Mouse,Rat (predicted: Human,Rabbit,Pig,Sheep,Cow,Dog,Horse)
产品应用 IHC-P=1:100-500,IHC-F=1:100-500,IF=1:100-500
not yet tested in other applications.
optimal dilutions/concentrations should be determined by the end user.
理论分子量 93 kDa
检测分子量
细胞定位 细胞核 细胞浆 
性    状 Liquid
浓    度 1mg/ml
免 疫 原 KLH conjugated synthetic peptide derived from human MSH5: 421-520/834 
亚    型 IgG
纯化方法 affinity purified by Protein A
缓 冲 液 0.01M TBS (pH7.4) with 1% BSA, 0.02% Proclin300 and 50% Glycerol.
保存条件 Shipped at 4℃. Store at -20℃ for one year. Avoid repeated freeze/thaw cycles.
注意事项 This product as supplied is intended for research use only, not for use in human, therapeutic or diagnostic applications.
PubMed PubMed
产品介绍 This gene encodes a member of the mutS family of proteins that are involved in DNA mismatch repair and meiotic recombination. This protein is similar to a Saccharomyces cerevisiae protein that participates in segregation fidelity and crossing-over events during meiosis. This protein plays a role in promoting ionizing radiation-induced apoptosis. This protein forms hetero-oligomers with another member of this family, mutS homolog 4. Polymorphisms in this gene have been linked to various human diseases, including IgA deficiency, common variable immunodeficiency, and premature ovarian failure. Alternative splicing results multiple transcript variants. Read-through transcription also exists between this gene and the downstream chromosome 6 open reading frame 26 (C6orf26) gene. [provided by RefSeq, Feb 2011]

Function:
Involved in meiotic recombination. Facilitate crossovers between homologs during meiosis.

Subunit:
Heterooligomer of MSH4 and MSH5. Interacts with HJURP.

Tissue Specificity:
Ubiquitous, but highly expressed in testis, and thymus.

Similarity:
Belongs to the DNA mismatch repair mutS family.

SWISS:
O43196

Gene ID:
4439

Database links:

Entrez Gene: 100139295 Cow

Entrez Gene: 474848 Dog

Entrez Gene: 100050672 Horse

Entrez Gene: 4439 Human

Entrez Gene: 715494 Monkey

Entrez Gene: 17687 Mouse

Entrez Gene: 100270818 Pig

Entrez Gene: 294252 Rat

Omim: 603382 Human

SwissProt: O43196 Human

SwissProt: Q9QUM7 Mouse

SwissProt: Q6MG62 Rat

Unigene: 647011 Human

Unigene: 24192 Mouse

Unigene: 44043 Rat



产品图片
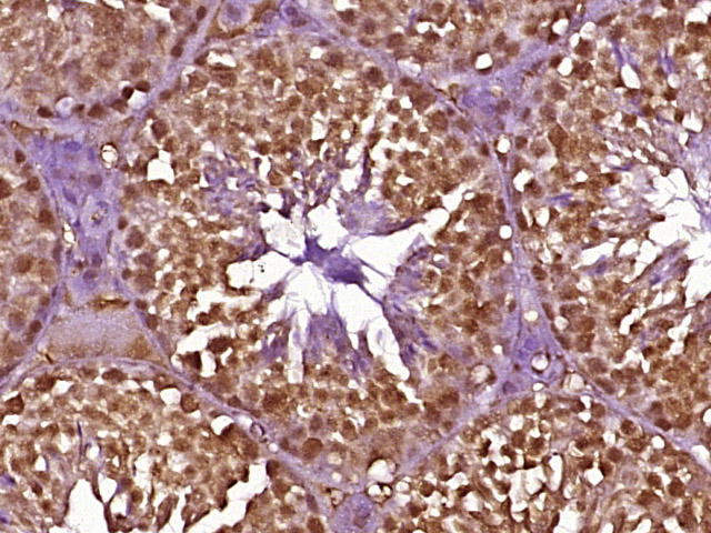
Paraformaldehyde-fixed, paraffin embedded (mouse testis tissue); Antigen retrieval by boiling in sodium citrate buffer (pH6.0) for 15min; Block endogenous peroxidase by 3% hydrogen peroxide for 20 minutes; Blocking buffer (normal goat serum) at 37°C for 30min; Antibody incubation with (MSH5) Polyclonal Antibody, Unconjugated (bs-17852R) at 1:400 overnight at 4°C, followed by operating according to SP Kit(Rabbit) (sp-0023) instructionsand DAB staining.
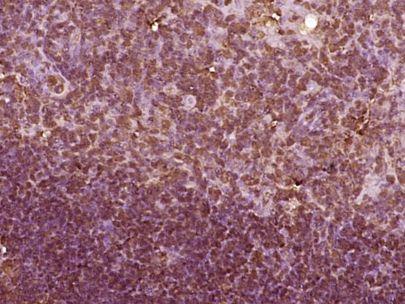
Paraformaldehyde-fixed, paraffin embedded (rat thymus); Antigen retrieval by boiling in sodium citrate buffer (pH6.0) for 15min; Block endogenous peroxidase by 3% hydrogen peroxide for 20 minutes; Blocking buffer (normal goat serum) at 37°C for 30min; Antibody incubation with (MSH5) Polyclonal Antibody, Unconjugated (bs-17852R) at 1:400 overnight at 4°C, followed by operating according to SP Kit(Rabbit) (sp-0023) instructionsand DAB staining.
版权所有 2004-2026 www.bioss.com.cn 北京博奥森生物技术有限公司
通过国际质量管理体系ISO 9001:2015 GB/T 19001-2016    证书编号: 00124Q34771R2M/1100
通过国际医疗器械-质量管理体系ISO 13485:2016 GB/T 42061-2022     证书编号: CQC24QY20047R0M/1100
京ICP备05066980号-1         京公网安备110107000727号