扫码关注公众号           扫码咨询技术支持           扫码咨询技术服务
  
客服热线:400-901-9800  客服QQ:4009019800  技术答疑  技术支持  质量反馈  人才招聘  关于我们  联系我们
产品中心-北京博奥森生物技术有限公司
首页 > 产品中心 > 一抗 > 产品信息
SIAH3 Rabbit pAb (bs-17481R)  
订购热线:400-901-9800
订购邮箱:sales@bioss.com.cn
订购QQ:  400-901-9800
技术支持:techsupport@bioss.com.cn
50ul/1180.00元
100ul/1980.00元
200ul/2800.00元
大包装/询价

产品编号 bs-17481R
英文名称 SIAH3 Rabbit pAb
中文名称 SIAH3蛋白抗体
别    名 SIAH3_HUMAN; SIAH3; Siah-3; siah E3 ubiquitin protein ligase family member 3; seven in absentia homolog 3 (Drosophila)  
研究领域 肿瘤  细胞生物  免疫学  神经生物学  
抗体来源 Rabbit
克隆类型 Polyclonal
交叉反应 Mouse (predicted: Human,Rabbit,Sheep,Dog,Horse)
产品应用 WB=1:500-2000,IHC-P=1:100-500,IHC-F=1:100-500,IF=1:100-500
not yet tested in other applications.
optimal dilutions/concentrations should be determined by the end user.
理论分子量 31kDa
检测分子量 31
细胞定位 细胞浆 
性    状 Liquid
浓    度 1mg/ml
免 疫 原 KLH conjugated synthetic peptide derived from human SIAH3: 1-100/269 
亚    型 IgG
纯化方法 affinity purified by Protein A
缓 冲 液 0.01M TBS (pH7.4) with 1% BSA, 0.02% Proclin300 and 50% Glycerol.
保存条件 Shipped at 4℃. Store at -20℃ for one year. Avoid repeated freeze/thaw cycles.
注意事项 This product as supplied is intended for research use only, not for use in human, therapeutic or diagnostic applications.
PubMed PubMed
产品介绍 Members of the SINA (seven in absentia) protein family are components of ubiquitin ligase complexes, which target proteins for proteasomal degradation. SIAH3 (seven in absentia homolog 3) is a 269 amino acid protein that belongs to the SINA family, contains one SIAH-type zinc finger and is encoded by a gene located on human chromosome 13. Comprising nearly 4% of human DNA, chromosome 13 contains around 114 million base pairs and 400 genes. Key tumor suppressor genes on chromosome 13 include the breast cancer susceptibility gene, BRCA2, and the RB1 (retinoblastoma) gene. RB1 encodes a crucial tumor suppressor protein which, when defective, leads to malignant growth in the retina and has been implicated in a variety of other cancers. The gene SLITRK1, which is associated with Tourette syndrome, is on chromosome 13. As with most chromosomes, polysomy of part or all of chromosome 13 is deleterious to development and decreases the odds of survival. Trisomy 13, also known as Patau syndrome, is quite deadly and the few who survive past one year suffer from permanent neurologic defects, difficulty eating and vulnerability to serious respiratory infections.

Similarity:
Belongs to the SINA (Seven in absentia) family.
Contains 1 SIAH-type zinc finger.

SWISS:
Q8IW03

Gene ID:
283514

Database links:

Entrez Gene: 283514 Human

SwissProt: Q8IW03 Human

Unigene: 368483 Human



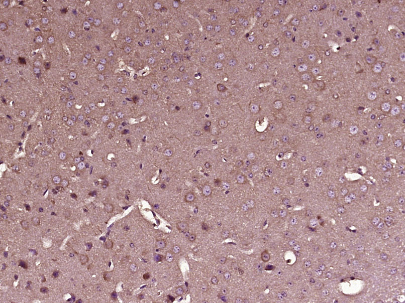
产品图片
Sample: Cerebrum (Mouse) Lysate at 40 ug Primary: Anti-SIAH3 (bs-17481R) at 1/300 dilution Secondary: IRDye800CW Goat Anti-Rabbit IgG at 1/20000 dilution Predicted band size: 31 kD Observed band size: 31 kD
Paraformaldehyde-fixed, paraffin embedded (Mouse brain); Antigen retrieval by boiling in sodium citrate buffer (pH6.0) for 15min; Block endogenous peroxidase by 3% hydrogen peroxide for 20 minutes; Blocking buffer (normal goat serum) at 37°C for 30min; Antibody incubation with (SIAH3) Polyclonal Antibody, Unconjugated (bs-17481R) at 1:400 overnight at 4°C, followed by operating according to SP Kit(Rabbit) (sp-0023) instructionsand DAB staining.
版权所有 2004-2026 www.bioss.com.cn 北京博奥森生物技术有限公司
通过国际质量管理体系ISO 9001:2015 GB/T 19001-2016    证书编号: 00124Q34771R2M/1100
通过国际医疗器械-质量管理体系ISO 13485:2016 GB/T 42061-2022     证书编号: CQC24QY20047R0M/1100
京ICP备05066980号-1         京公网安备110107000727号