扫码关注公众号           扫码咨询技术支持           扫码咨询技术服务
  
客服热线:400-901-9800  客服QQ:4009019800  技术答疑  技术支持  质量反馈  人才招聘  关于我们  联系我们
产品中心-北京博奥森生物技术有限公司
首页 > 产品中心 > 一抗 > 产品信息
LULL1/TOR1AIP2 Rabbit pAb (bs-17326R)  
订购热线:400-901-9800
订购邮箱:sales@bioss.com.cn
订购QQ:  400-901-9800
技术支持:techsupport@bioss.com.cn
50ul/1180.00元
100ul/1980.00元
200ul/2800.00元
大包装/询价

产品编号 bs-17326R
英文名称 LULL1/TOR1AIP2 Rabbit pAb
中文名称 LULL1蛋白抗体
别    名 IFRG15; LULL1; NET9; TOIP2_HUMAN; TOR1AIP2; Lumenal domain-like LAP1; TOIP2_RAT;   
研究领域 细胞生物  免疫学  
抗体来源 Rabbit
克隆类型 Polyclonal
克 隆 号
交叉反应 Human,Mouse,Rat (predicted: Rabbit,Pig,Sheep,Cow,Dog,Horse)
产品应用 WB=1:500-2000,IHC-P=1:100-500,IHC-F=1:100-500,IF=1:100-500
not yet tested in other applications.
optimal dilutions/concentrations should be determined by the end user.
理论分子量 51 kDa
细胞定位 细胞核 细胞浆 
性    状 Liquid
浓    度 1mg/ml
免 疫 原 KLH conjugated synthetic peptide derived from human LULL1: 221-320/470 
亚    型 IgG
纯化方法 affinity purified by Protein A
缓 冲 液 0.01M TBS (pH7.4) with 1% BSA, 0.02% Proclin300 and 50% Glycerol.
保存条件 Shipped at 4℃. Store at -20℃ for one year. Avoid repeated freeze/thaw cycles.
注意事项 This product as supplied is intended for research use only, not for use in human, therapeutic or diagnostic applications.
PubMed PubMed
产品介绍 LULL1 is a 470 amino acid endoplasmic reticulum single-pass membrane protein belonging to the TOR1AIP family. LULL1 interacts with torsinA, an essential AAA+ ATPase found in the endoplasmic reticulum (ER) and nuclear envelope (NE) of higher eukaryotes. LULL1 regulates the distribution and activity of torsinA within the ER and NE lumen and reveals functional defects in mutant torsinA, which is responsible for DYT1 dystonia, a neurodevelopmental disease caused by an in-frame deletion (Deltagag) in the gene encoding torsinA. The gene encoding LULL1 maps to human chromosome 1, which spans 260 million base pairs, contains over 3,000 genes and comprises nearly 8% of the human genome.

Function:
Regulates the distribution of TOR1A between the endoplasmic reticulum and the nuclear envelope.

Subunit:
Interacts with TOR1A and TOR1B (ATP-bound).

Subcellular Location:
Endoplasmic reticulum membrane; Single-pass membrane protein. Nucleus membrane.

SWISS:
Q8NFQ8

Gene ID:
163590

Database links:

Entrez Gene: 163590 Human

Entrez Gene: 304881 Rat

Omim: 614513 Human

SwissProt: Q8NFQ8 Human

SwissProt: Q6P752 Rat



产品图片
Sample: Small intestine (Mouse) Lysate at 40 ug Primary: Anti-LULL1/TOR1AIP2(bs-17326R)at 1/300 dilution Secondary: IRDye800CW Goat Anti-Rabbit IgG at 1/20000 dilution Predicted band size: 51kD Observed band size: 56kD
Sample: Placenta (Mouse) Lysate at 40 ug Large intestine (Mouse) Lysate at 40 ug Primary: Anti-LULL1/TOR1AIP2(bs-17326R)at 1/300 dilution Secondary: IRDye800CW Goat Anti-Rabbit IgG at 1/20000 dilution Predicted band size: 51kD Observed band size: 56kD
Sample: Lane 1: K562 (Human) Cell Lysate at 30 ug Lane 2: SH-SY5Y (Human) Cell Lysate at 30 ug Lane 3: Hela (Human) Cell Lysate at 30 ug Lane 4: HUVEC (Human) Cell Lysate at 30 ug Lane 5: U2os (Human) Cell Lysate at 30 ug Lane 6: HepG2 (Human) Cell Lysate at 30 ug Lane 7: Liver (Mouse) Lysate at 40 ug Lane 8: Liver (Rat) Lysate at 40 ug Lane 9: Kidney (Mouse) Lysate at 40 ug Lane 10: Cerebrum (Mouse) Lysate at 40 ug Lane 11: Cerebrum (Rat) Lysate at 40 ug Primary: Anti-LULL1/TOR1AIP2 (bs-17326R) at 1/1000 dilution Secondary: IRDye800CW Goat Anti-Rabbit IgG at 1/20000 dilution Predicted band size: 51 kD Observed band size: 51kD
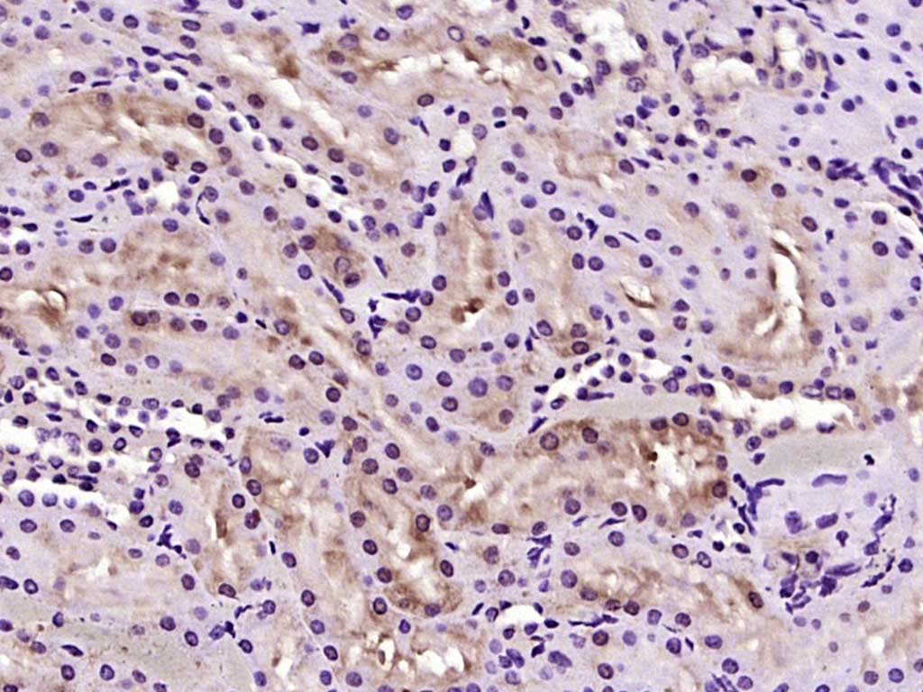
Paraformaldehyde-fixed, paraffin embedded (mouse kidney); Antigen retrieval by boiling in sodium citrate buffer (pH6.0) for 15min; Block endogenous peroxidase by 3% hydrogen peroxide for 20 minutes; Blocking buffer (normal goat serum) at 37°C for 30min; Antibody incubation with (LULL1) Polyclonal Antibody, Unconjugated (bs-17326R) at 1:200 overnight at 4°C, followed by operating according to SP Kit(Rabbit) (sp-0023) instructionsand DAB staining.
Paraformaldehyde-fixed, paraffin embedded (rat kidney); Antigen retrieval by boiling in sodium citrate buffer (pH6.0) for 15min; Block endogenous peroxidase by 3% hydrogen peroxide for 20 minutes; Blocking buffer (normal goat serum) at 37°C for 30min; Antibody incubation with (LULL1) Polyclonal Antibody, Unconjugated (bs-17326R) at 1:200 overnight at 4°C, followed by operating according to SP Kit(Rabbit) (sp-0023) instructionsand DAB staining.
版权所有 2004-2026 www.bioss.com.cn 北京博奥森生物技术有限公司
通过国际质量管理体系ISO 9001:2015 GB/T 19001-2016    证书编号: 00124Q34771R2M/1100
通过国际医疗器械-质量管理体系ISO 13485:2016 GB/T 42061-2022     证书编号: CQC24QY20047R0M/1100
京ICP备05066980号-1         京公网安备110107000727号