扫码关注公众号           扫码咨询技术支持           扫码咨询技术服务
  
客服热线:400-901-9800  客服QQ:4009019800  技术答疑  技术支持  质量反馈  关于我们  联系我们
产品中心-北京博奥森生物技术有限公司
首页 > 产品中心 > 一抗 > 产品信息
Topoisomerase II beta Rabbit pAb (bs-17324R)  
订购热线:400-901-9800
订购邮箱:sales@bioss.com.cn
订购QQ:  400-901-9800
技术支持:techsupport@bioss.com.cn
50ul/1180.00元
100ul/1980.00元
200ul/2800.00元
大包装/询价

产品编号 bs-17324R
英文名称 Topoisomerase II beta Rabbit pAb
中文名称 DNA拓扑异构酶2-β/TOP2B抗体
别    名 Antigen MLAA 44; beta isozyme; DNA topoisomerase 2 beta; DNA topoisomerase 2-beta; DNA topoisomerase II 180 kD; DNA topoisomerase II; DNA topoisomerase II beta; DNA topoisomerase II beta isozyme; Top 2; TOP 2B; TOP IIB; Top2 beta; TOP2B; TOP2B_HUMAN; Top2beta; TOPIIB; Topo II beta; Topoisomerase(DNA) II beta 180kDa; Topoisomerase(DNA) II beta; Topoisomerase IIb; U937 associated antigen.  
研究领域 肿瘤  细胞生物  表观遗传学  
抗体来源 Rabbit
克隆类型 Polyclonal
克 隆 号
交叉反应 Human,Rat (predicted: Mouse,Rabbit,Pig,Sheep,Cow,Dog,Horse,Chimpanzee)
产品应用 IHC-P=1:100-500,IHC-F=1:100-500,IF=1:100-500
not yet tested in other applications.
optimal dilutions/concentrations should be determined by the end user.
理论分子量 183 kDa
检测分子量
细胞定位 细胞核 细胞浆 
性    状 Liquid
浓    度 1mg/ml
免 疫 原 KLH conjugated synthetic peptide derived from human Topoisomerase II beta: 1-100/1626 
亚    型 IgG
纯化方法 affinity purified by Protein A
缓 冲 液 0.01M TBS (pH7.4) with 1% BSA, 0.02% Proclin300 and 50% Glycerol.
保存条件 Shipped at 4℃. Store at -20℃ for one year. Avoid repeated freeze/thaw cycles.
注意事项 This product as supplied is intended for research use only, not for use in human, therapeutic or diagnostic applications.
PubMed PubMed
产品介绍 This gene encodes a DNA topoisomerase, an enzyme that controls and alters the topologic states of DNA during transcription. This nuclear enzyme is involved in processes such as chromosome condensation, chromatid separation, and the relief of torsional stress that occurs during DNA transcription and replication. It catalyzes the transient breaking and rejoining of two strands of duplex DNA which allows the strands to pass through one another, thus altering the topology of DNA. Two forms of this enzyme exist as likely products of a gene duplication event. The gene encoding this form, beta, is localized to chromosome 3 and the alpha form is localized to chromosome 17. The gene encoding this enzyme functions as the target for several anticancer agents and a variety of mutations in this gene have been associated with the development of drug resistance. Reduced activity of this enzyme may also play a role in ataxia-telangiectasia. Alternative splicing of this gene results in two transcript variants; however, the second variant has not yet been fully described. [provided by RefSeq, Jul 2008]

Function:
Control of topological states of DNA by transient breakage and subsequent rejoining of DNA strands. Topoisomerase II makes double-strand breaks. Indirectly ivolved in vitamin D-coupled transcription regulation via its association with the WINAC complex, a chromatin-remodeling complex recruited by vitamin D receptor (VDR), which is required for the ligand-bound VDR-mediated transrepression of the CYP27B1 gene.

Subunit:
Homodimer. Component of the WINAC complex, at least composed of SMARCA2, SMARCA4, SMARCB1, SMARCC1, SMARCC2, SMARCD1, SMARCE1, ACTL6A, BAZ1B/WSTF, ARID1A, SUPT16H, CHAF1A and TOP2B.

Subcellular Location:
Cytoplasm. Nucleus; nucleolus.

Post-translational modifications:
Phosphorylated upon DNA damage, probably by ATM or ATR.

Similarity:
Belongs to the type II topoisomerase family.

SWISS:
Q02880

Gene ID:
7155

Database links:

Entrez Gene: 7155 Human

Entrez Gene: 21974 Mouse

Entrez Gene: 85339 Rat

Omim: 126431 Human

SwissProt: O42131 Chicken

SwissProt: Q02880 Human

SwissProt: Q64511 Mouse

Unigene: 475733 Human

Unigene: 130362 Mouse

Unigene: 122005 Rat



产品图片
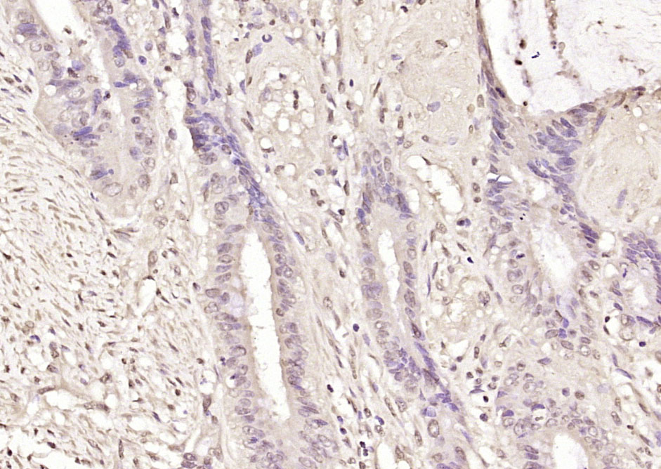
Paraformaldehyde-fixed, paraffin embedded (human colon carcinoma); Antigen retrieval by boiling in sodium citrate buffer (pH6.0) for 15min; Block endogenous peroxidase by 3% hydrogen peroxide for 20 minutes; Blocking buffer (normal goat serum) at 37°C for 30min; Antibody incubation with (Topoisomerase II beta) Polyclonal Antibody, Unconjugated (bs-17324R) at 1:200 overnight at 4°C, followed by operating according to SP Kit(Rabbit) (sp-0023) instructionsand DAB staining.
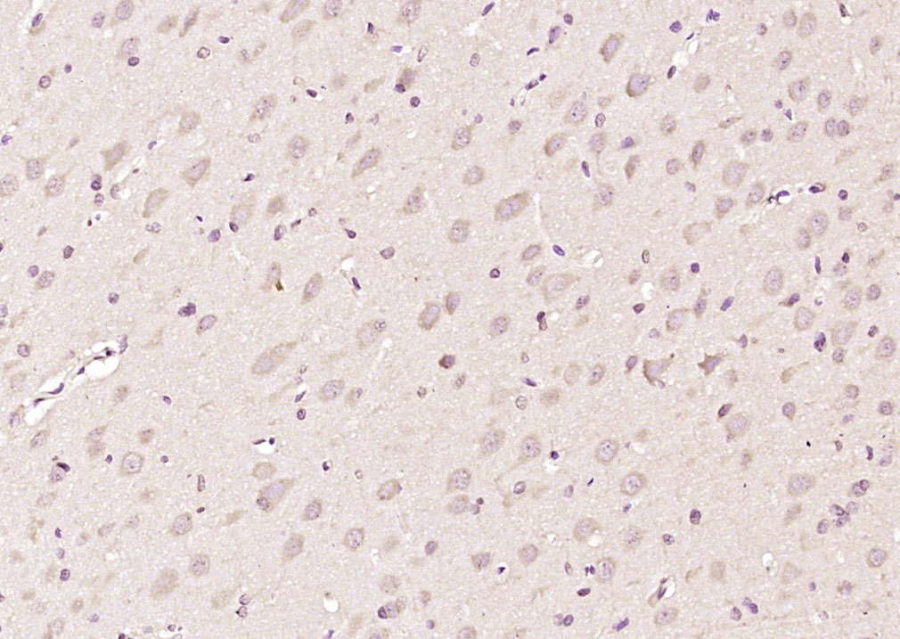
Paraformaldehyde-fixed, paraffin embedded (rat brain); Antigen retrieval by boiling in sodium citrate buffer (pH6.0) for 15min; Block endogenous peroxidase by 3% hydrogen peroxide for 20 minutes; Blocking buffer (normal goat serum) at 37°C for 30min; Antibody incubation with (Topoisomerase II beta) Polyclonal Antibody, Unconjugated (bs-17324R) at 1:200 overnight at 4°C, followed by operating according to SP Kit(Rabbit) (sp-0023) instructionsand DAB staining.
版权所有 2004-2026 www.bioss.com.cn 北京博奥森生物技术有限公司
通过国际质量管理体系ISO 9001:2015 GB/T 19001-2016    证书编号: 00124Q34771R2M/1100
通过国际医疗器械-质量管理体系ISO 13485:2016 GB/T 42061-2022     证书编号: CQC24QY20047R0M/1100
京ICP备05066980号-1         京公网安备110107000727号