扫码关注公众号           扫码咨询技术支持           扫码咨询技术服务
  
客服热线:400-901-9800  客服QQ:4009019800  技术答疑  技术支持  质量反馈  关于我们  联系我们
产品中心-北京博奥森生物技术有限公司
首页 > 产品中心 > 一抗 > 产品信息
SFRS8 Rabbit pAb (bs-17302R)  
订购热线:400-901-9800
订购邮箱:sales@bioss.com.cn
订购QQ:  400-901-9800
技术支持:techsupport@bioss.com.cn
50ul/1180.00元
100ul/1980.00元
200ul/2800.00元
大包装/询价

产品编号 bs-17302R
英文名称 SFRS8 Rabbit pAb
中文名称 丝氨酸/苏氨酸SFRS8抗体
别    名 1190005N23Rik; 6330437E22Rik; AI197402; AW212079; MGC167082; SFRS 8; Sfrs8 protein; Splicing factor arginine/serine rich 8(suppressor of white apricot Drosophila homolog); Splicing factor arginine/serine rich 8(suppressor of white apricot homolog Drosophila); Splicing factor arginine/serine rich 8; Splicing factor, arginine/serine-rich 8; Suppressor of white apricot protein homolog; SWAP.  
研究领域 细胞生物  表观遗传学  
抗体来源 Rabbit
克隆类型 Polyclonal
克 隆 号
交叉反应 Human,Mouse (predicted: Rat,Rabbit,Pig,Sheep,Cow,Chicken,Dog,Horse)
产品应用 WB=1:500-2000,IHC-P=1:100-500,IHC-F=1:100-500,IF=1:100-500
not yet tested in other applications.
optimal dilutions/concentrations should be determined by the end user.
理论分子量 105 kDa
检测分子量
细胞定位 细胞核 
性    状 Liquid
浓    度 1mg/ml
免 疫 原 KLH conjugated synthetic peptide derived from human SFRS8: 51-150/951 
亚    型 IgG
纯化方法 affinity purified by Protein A
缓 冲 液 0.01M TBS (pH7.4) with 1% BSA, 0.02% Proclin300 and 50% Glycerol.
保存条件 Shipped at 4℃. Store at -20℃ for one year. Avoid repeated freeze/thaw cycles.
注意事项 This product as supplied is intended for research use only, not for use in human, therapeutic or diagnostic applications.
PubMed PubMed
产品介绍 This gene encodes a human homolog of Drosophila splicing regulatory protein. This gene autoregulates its expression by control of splicing of its first two introns. In addition, it also regulates the splicing of fibronectin and CD45 genes. Two transcript variants encoding different isoforms have been identified. [provided by RefSeq, May 2012]

Function:
SFRS8 is a human homolog of Drosophila splicing regulatory protein. This gene autoregulates its expression by control of splicing of its first two introns. In addition, it also regulates the splicing of fibronectin and CD45 genes. Multiple alternatively spliced variants have been identified. Two alternatively spliced variants have been characterized to date.

Subcellular Location:
Nuclear

SWISS:
Q12872

Gene ID:
6433

Database links:

Entrez Gene: 6433 Human

Entrez Gene: 231769 Mouse

Omim: 601945 Human

SwissProt: Q12872 Human

SwissProt: Q3USH5 Mouse

Unigene: 308171 Human

Unigene: 288714 Mouse



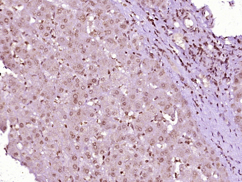
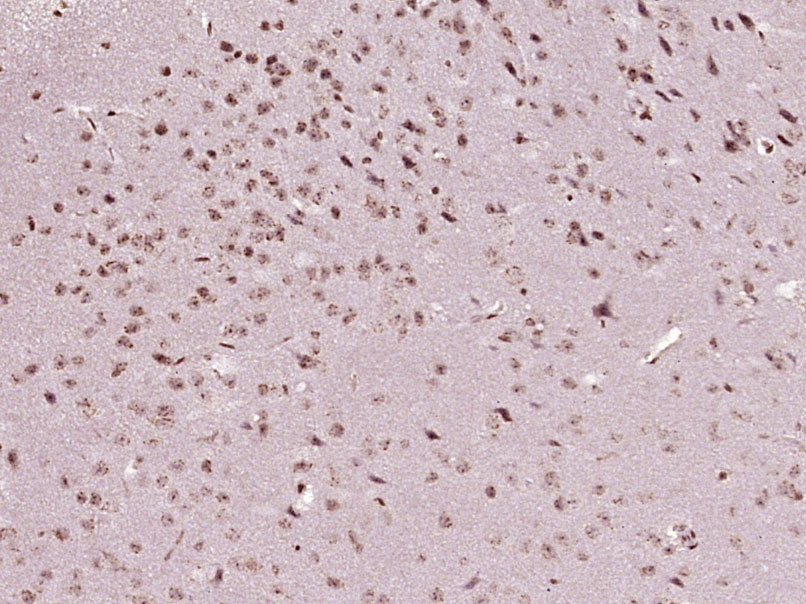
产品图片
Sample: Hela(Human) Cell Lysate at 30 ug Primary: Anti-SFRS8 (bs-17302R) at 1/300 dilution Secondary: IRDye800CW Goat Anti-Rabbit IgG at 1/20000 dilution Predicted band size: 105 kD Observed band size: 110 kD
Paraformaldehyde-fixed, paraffin embedded (Mouse brain); Antigen retrieval by boiling in sodium citrate buffer (pH6.0) for 15min; Block endogenous peroxidase by 3% hydrogen peroxide for 20 minutes; Blocking buffer (normal goat serum) at 37°C for 30min; Antibody incubation with (SFRS8) Polyclonal Antibody, Unconjugated (bs-17302R) at 1:400 overnight at 4°C, followed by operating according to SP Kit(Rabbit) (sp-0023) instructionsand DAB staining.
Paraformaldehyde-fixed, paraffin embedded (Human liver); Antigen retrieval by boiling in sodium citrate buffer (pH6.0) for 15min; Block endogenous peroxidase by 3% hydrogen peroxide for 20 minutes; Blocking buffer (normal goat serum) at 37°C for 30min; Antibody incubation with (SFRS8) Polyclonal Antibody, Unconjugated (bs-17302R) at 1:400 overnight at 4°C, followed by operating according to SP Kit(Rabbit) (sp-0023) instructionsand DAB staining.
版权所有 2004-2026 www.bioss.com.cn 北京博奥森生物技术有限公司
通过国际质量管理体系ISO 9001:2015 GB/T 19001-2016    证书编号: 00124Q34771R2M/1100
通过国际医疗器械-质量管理体系ISO 13485:2016 GB/T 42061-2022     证书编号: CQC24QY20047R0M/1100
京ICP备05066980号-1         京公网安备110107000727号