扫码关注公众号           扫码咨询技术支持           扫码咨询技术服务
  
客服热线:400-901-9800  客服QQ:4009019800  技术答疑  技术支持  质量反馈  人才招聘  关于我们  联系我们
产品中心-北京博奥森生物技术有限公司
首页 > 产品中心 > 一抗 > 产品信息
SAFB Rabbit pAb (bs-17259R)  
订购热线:400-901-9800
订购邮箱:sales@bioss.com.cn
订购QQ:  400-901-9800
技术支持:techsupport@bioss.com.cn
50ul/1180.00元
100ul/1980.00元
200ul/2800.00元
大包装/询价

产品编号 bs-17259R
英文名称 SAFB Rabbit pAb
中文名称 SAFB蛋白抗体
别    名 SAFB2_HUMAN; SAFB2; SAF-B2; KIAA0138;   
研究领域 细胞生物  染色质和核信号  信号转导  转录调节因子  表观遗传学  
抗体来源 Rabbit
克隆类型 Polyclonal
克 隆 号
交叉反应 Mouse,Rat (predicted: Human,Pig,Sheep,Cow,Horse)
产品应用 IHC-P=1:100-500,IHC-F=1:100-500,IF=1:100-500
not yet tested in other applications.
optimal dilutions/concentrations should be determined by the end user.
理论分子量 107 kDa
细胞定位 细胞核 细胞浆 
性    状 Liquid
浓    度 1mg/ml
免 疫 原 KLH conjugated synthetic peptide derived from human SAFB: 551-650/953 
亚    型 IgG
纯化方法 affinity purified by Protein A
缓 冲 液 0.01M TBS (pH7.4) with 1% BSA, 0.02% Proclin300 and 50% Glycerol.
保存条件 Shipped at 4℃. Store at -20℃ for one year. Avoid repeated freeze/thaw cycles.
注意事项 This product as supplied is intended for research use only, not for use in human, therapeutic or diagnostic applications.
PubMed PubMed
产品介绍 Heterogeneous nuclear ribonucleoproteins (hnRNPs) constitute a set of polypeptides that contribute to pre-mRNA processing and transport. hnRNPs also bind heterogeneous nuclear RNA (hnRNA), the transcripts produced by RNA polymerase II. SAF-B (scaffold attachment factor B) is a nuclear matrix-associated protein that binds to matrix- or scaffold-associating regions (MARs or SARs) on DNA and interacts with RNA polymerase II and serine-/arginine-rich RNA processing factors (SR proteins). SAF-B, also designated HAP (hnRNP A1 associated protein) and HET (HSP 27-ERE-TATA-binding protein) is a proven hnRNP protein that has a speckled distribution in the nucleus and, in response to stress agents such as heat shock, is recruited to a few, large nuclear granules, called perichromatin granules. SAF-B also binds to the estrogen receptor (ER) and is expressed in several breast cancer cell lines at varying levels. Subsequently, SAF-B may play a role in breast cancer by mediating cellular proliferation and division.

Function:
Binds to scaffold/matrix attachment region (S/MAR) DNA. Can function as an estrogen receptor corepressor and can also inhibit cell proliferation.

Subcellular Location:
Cytoplasm. Nucleus.

Tissue Specificity:
Expressed at high levels in the CNS and at low levels in the liver. Expressed in a wide number of breast cancer cell lines.

Post-translational modifications:
Phosphorylated upon DNA damage, probably by ATM or ATR.

Similarity:
Contains 1 RRM (RNA recognition motif) domain.
Contains 1 SAP domain.

SWISS:
Q14151

Gene ID:
9667

Database links:

Entrez Gene: 9667 Human

Omim: 608066 Human

SwissProt: Q14151 Human

Unigene: 655392 Human



产品图片
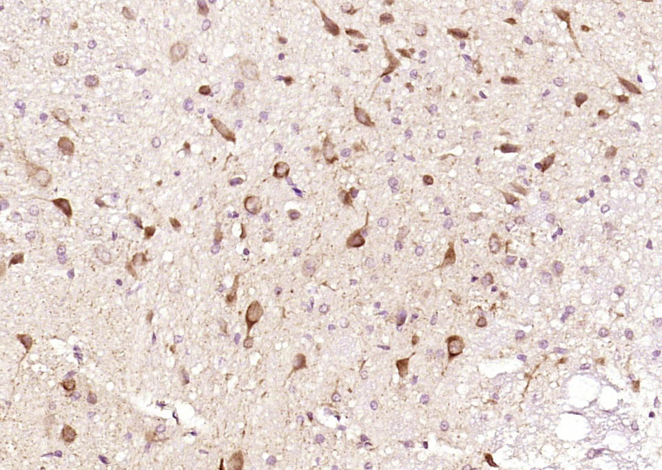
Paraformaldehyde-fixed, paraffin embedded (rat brain); Antigen retrieval by boiling in sodium citrate buffer (pH6.0) for 15min; Block endogenous peroxidase by 3% hydrogen peroxide for 20 minutes; Blocking buffer (normal goat serum) at 37°C for 30min; Antibody incubation with (SAFB) Polyclonal Antibody, Unconjugated (bs-17259R) at 1:200 overnight at 4°C, followed by operating according to SP Kit(Rabbit) (sp-0023) instructionsand DAB staining.
Paraformaldehyde-fixed, paraffin embedded (mouse brain); Antigen retrieval by boiling in sodium citrate buffer (pH6.0) for 15min; Block endogenous peroxidase by 3% hydrogen peroxide for 20 minutes; Blocking buffer (normal goat serum) at 37°C for 30min; Antibody incubation with (SAFB) Polyclonal Antibody, Unconjugated (bs-17259R) at 1:200 overnight at 4°C, followed by operating according to SP Kit(Rabbit) (sp-0023) instructionsand DAB staining.
版权所有 2004-2026 www.bioss.com.cn 北京博奥森生物技术有限公司
通过国际质量管理体系ISO 9001:2015 GB/T 19001-2016    证书编号: 00124Q34771R2M/1100
通过国际医疗器械-质量管理体系ISO 13485:2016 GB/T 42061-2022     证书编号: CQC24QY20047R0M/1100
京ICP备05066980号-1         京公网安备110107000727号