扫码关注公众号           扫码咨询技术支持           扫码咨询技术服务
  
客服热线:400-901-9800  客服QQ:4009019800  技术答疑  技术支持  质量反馈  关于我们  联系我们
产品中心-北京博奥森生物技术有限公司
首页 > 产品中心 > 一抗 > 产品信息
TRMT12 Rabbit pAb (bs-17144R)  
订购热线:400-901-9800
订购邮箱:sales@bioss.com.cn
订购QQ:  400-901-9800
技术支持:techsupport@bioss.com.cn
50ul/1180.00元
100ul/1980.00元
200ul/2800.00元
大包装/询价

产品编号 bs-17144R
英文名称 TRMT12 Rabbit pAb
中文名称 TRMT12蛋白抗体
别    名 alpha amino alpha carboxypropyl transferase TYW2; FLJ20772; Homolog of yeast tRNA methyltransferase; Radical S-adenosyl methionine and flavodoxin domain-containing protein 2; TRM 12; TRM12; TRMT 12; TRMT12; tRNA methyltransferase 12; tRNA methyltransferase 12 homolog; tRNA wybutosine-synthesizing protein 2 homolog; tRNA-yW-synthesizing protein 2; TYW2; TYW2_HUMAN.  
研究领域 细胞生物  信号转导  转录调节因子  表观遗传学  
抗体来源 Rabbit
克隆类型 Polyclonal
克 隆 号
交叉反应 Mouse,Rat (predicted: Human,Pig,Cow,Dog,Horse)
产品应用 WB=1:500-2000,IHC-P=1:100-500,IHC-F=1:100-500,IF=1:100-500
not yet tested in other applications.
optimal dilutions/concentrations should be determined by the end user.
理论分子量 50 kDa
检测分子量
细胞定位 细胞核 细胞浆 
性    状 Liquid
浓    度 1mg/ml
免 疫 原 KLH conjugated synthetic peptide derived from human TRMT12: 231-330/448 
亚    型 IgG
纯化方法 affinity purified by Protein A
缓 冲 液 0.01M TBS (pH7.4) with 1% BSA, 0.02% Proclin300 and 50% Glycerol.
保存条件 Shipped at 4℃. Store at -20℃ for one year. Avoid repeated freeze/thaw cycles.
注意事项 This product as supplied is intended for research use only, not for use in human, therapeutic or diagnostic applications.
PubMed PubMed
产品介绍 Transfer RNA (tRNA) modifications help regulate the efficiency of mRNA translation by maintaining the correct reading frames. TRM12 (tRNA methyltransferase 12 homolog (S. cerevisiae)), also known as TYW2 (tRNA-yW-synthesizing protein 2) or TRMT12, is a 448 amino acid protein that belongs to the RNA methyltransferase trmD family and TYW2 subfamily. TRM12 is the human homolog of a yeast gene that is essential for the synthesis of yW (wybutosine), a guanosine that stabilizes codon-anticodon associations near the anticodon of phenylalanine tRNA during ribosomal decoding. The gene encoding TRRM12 maps to human chromosome 8, which consists of nearly 146 million base pairs, encodes over 800 genes and is associated with a variety of diseases and malignancies. Schizophrenia, bipolar disorder, Trisomy 8, Pfeiffer syndrome, congenital hypothyroidism, Waardenburg syndrome and some leukemias and lymphomas are thought to occur as a result of defects in specific genes that map to chromosome 8.

Function:
Probable S-adenosyl-L-methionine-dependent methyltransferase that acts as a component of the wybutosine biosynthesis pathway. Wybutosine is a hyper modified guanosine with a tricyclic base found at the 3'-position adjacent to the anticodon of eukaryotic phenylalanine tRNA.

Similarity:
Belongs to the RNA methyltransferase trmD family. TYW2 subfamily.

SWISS:
Q53H54

Gene ID:
55039

Database links:

Entrez Gene: 55039 Human

Entrez Gene: 68260 Mouse

Omim: 611244 Human

SwissProt: Q53H54 Human

SwissProt: Q8BG71 Mouse

Unigene: 9925 Human

Unigene: 278805 Mouse



产品图片
Sample: Ovary (Mouse) Lysate at 40 ug Primary: Anti- TRMT12-1124 (bs-17144R) at 1/300 dilution Secondary: IRDye800CW Goat Anti-Rabbit IgG at 1/20000 dilution Predicted band size: 50 kD Observed band size: 50 kD
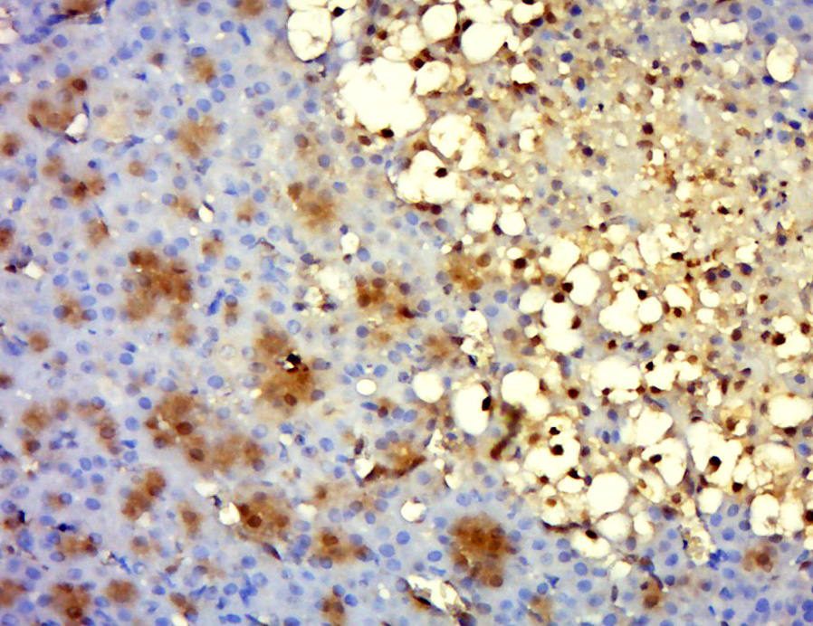
Paraformaldehyde-fixed, paraffin embedded (rat ovary); Antigen retrieval by boiling in sodium citrate buffer (pH6.0) for 15min; Block endogenous peroxidase by 3% hydrogen peroxide for 20 minutes; Blocking buffer (normal goat serum) at 37°C for 30min; Antibody incubation with (TRMT12) Polyclonal Antibody, Unconjugated (bs-17144R) at 1:400 overnight at 4°C, followed by a conjugated secondary (sp-0023) for 20 minutes and DAB staining.
版权所有 2004-2026 www.bioss.com.cn 北京博奥森生物技术有限公司
通过国际质量管理体系ISO 9001:2015 GB/T 19001-2016    证书编号: 00124Q34771R2M/1100
通过国际医疗器械-质量管理体系ISO 13485:2016 GB/T 42061-2022     证书编号: CQC24QY20047R0M/1100
京ICP备05066980号-1         京公网安备110107000727号