扫码关注公众号           扫码咨询技术支持           扫码咨询技术服务
  
客服热线:400-901-9800  客服QQ:4009019800  技术答疑  技术支持  质量反馈  关于我们  联系我们
产品中心-北京博奥森生物技术有限公司
首页 > 产品中心 > 一抗 > 产品信息
TRIM9 Rabbit pAb (bs-17139R)  
订购热线:400-901-9800
订购邮箱:sales@bioss.com.cn
订购QQ:  400-901-9800
技术支持:techsupport@bioss.com.cn
50ul/1180.00元
100ul/1980.00元
200ul/2800.00元
大包装/询价

产品编号 bs-17139R
英文名称 TRIM9 Rabbit pAb
中文名称 TRIM9蛋白抗体
别    名 E3 ubiquitin-protein ligase TRIM9; HGNC:16288; Homolog of rat RING finger Spring; KIAA0282; RING finger protein 91; RNF 91; RNF91; SPRING; TRIM 9; Tripartite motif containing 9; Tripartite motif containing protein 9; Tripartite motif protein 9.  
Specific References  (1)     |     bs-17139R has been referenced in 1 publications.
[IF=2.238] Cao YL et al. MicroRNA-653 Inhibits Thymocyte Proliferation and Induces Thymocyte Apoptosis in Mice with Autoimmune Myasthenia Gravis by Downregulating TRIM9. Neuroimmunomodulation. 2019;26(1):7-18.  IHC-P&WB ;  Mouse.  
研究领域 细胞生物  免疫学  转录调节因子  表观遗传学  
抗体来源 Rabbit
克隆类型 Polyclonal
克 隆 号
交叉反应 Mouse,Rat (predicted: Human,Rabbit,Pig,Sheep,Cow,Dog)
产品应用 IHC-P=1:100-500,IHC-F=1:100-500,IF=1:100-500
not yet tested in other applications.
optimal dilutions/concentrations should be determined by the end user.
理论分子量 79 kDa
检测分子量
细胞定位 细胞浆 
性    状 Liquid
浓    度 1mg/ml
免 疫 原 KLH conjugated synthetic peptide derived from human TRIM9: 181-280/710 
亚    型 IgG
纯化方法 affinity purified by Protein A
缓 冲 液 0.01M TBS (pH7.4) with 1% BSA, 0.02% Proclin300 and 50% Glycerol.
保存条件 Shipped at 4℃. Store at -20℃ for one year. Avoid repeated freeze/thaw cycles.
注意事项 This product as supplied is intended for research use only, not for use in human, therapeutic or diagnostic applications.
PubMed PubMed
产品介绍 The protein encoded by this gene is a member of the tripartite motif (TRIM) family. The TRIM motif includes three zinc-binding domains, a RING, a B-box type 1 and a B-box type 2, and a coiled-coil region. The protein localizes to cytoplasmic bodies. Its function has not been identified. Alternate splicing of this gene generates two transcript variants encoding different isoforms. [provided by RefSeq, Jul 2008]

Function:
TRIM9 is a member of the tripartite motif (TRIM) family. The TRIM motif includes three zinc binding domains, a RING, a B box type 1 and a B box type 2, and a coiled coil region. The protein localizes to cytoplasmic bodies. Its function has not been identified. Alternate splicing of this gene generates two transcript variants encoding different isoforms.The protein encoded by this gene is a member of the tripartite motif (TRIM) family. The TRIM motif includes three zinc binding domains, a RING, a B box type 1 and a B box type 2, and a coiled coil region. The protein localizes to cytoplasmic bodies. Its function has not been identified. Alternate splicing of this gene generates two transcript variants encoding different isoforms.

Subunit:
Interacts with SNAP25.

Subcellular Location:
Cytoplasmic

Post-translational modifications:
Brain. Highly expressed in the cerebral cortex (at protein level). Severely decreased in the affected brain areas in Parkinson disease and dementia with Lewy bodies.

Similarity:
Belongs to the TRIM/RBCC family.
Contains 2 B box-type zinc fingers.
Contains 1 B30.2/SPRY domain.
Contains 1 COS domain.
Contains 1 fibronectin type-III domain.
Contains 1 RING-type zinc finger.


SWISS:
Q9C026

Gene ID:
114088

Database links:

Entrez Gene: 114088 Human

Entrez Gene: 94090 Mouse

Entrez Gene: 155812 Rat

Omim: 606555 Human

SwissProt: Q9C026 Human

SwissProt: Q8C7M3 Mouse

SwissProt: Q91ZY8 Rat

Unigene: 654750 Human

Unigene: 184012 Mouse

Unigene: 209223 Rat



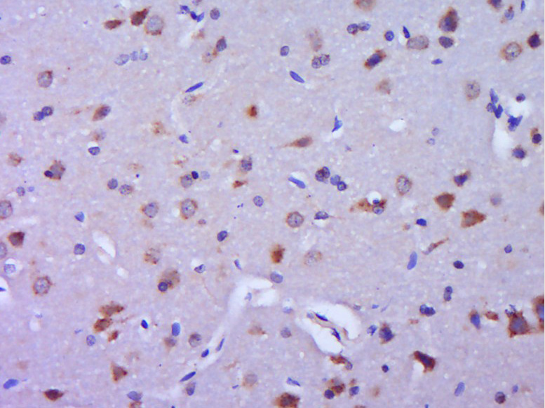
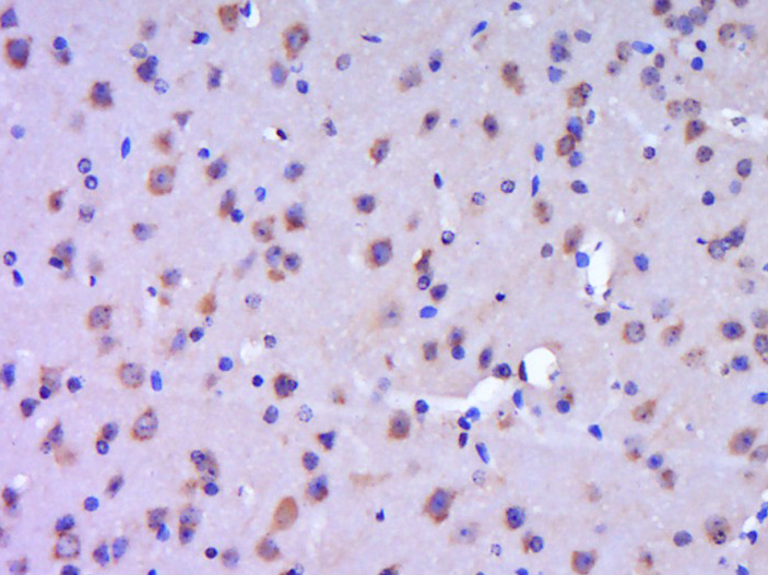
产品图片
Paraformaldehyde-fixed, paraffin embedded (Rat brain); Antigen retrieval by boiling in sodium citrate buffer (pH6.0) for 15min; Block endogenous peroxidase by 3% hydrogen peroxide for 20 minutes; Blocking buffer (normal goat serum) at 37°C for 30min; Antibody incubation with (TRIM9) Polyclonal Antibody, Unconjugated (bs-17139R) at 1:400 overnight at 4°C, followed by operating according to SP Kit(Rabbit) (sp-0023) instructionsand DAB staining.
Paraformaldehyde-fixed, paraffin embedded (Mouse brain); Antigen retrieval by boiling in sodium citrate buffer (pH6.0) for 15min; Block endogenous peroxidase by 3% hydrogen peroxide for 20 minutes; Blocking buffer (normal goat serum) at 37°C for 30min; Antibody incubation with (TRIM9) Polyclonal Antibody, Unconjugated (bs-17139R) at 1:400 overnight at 4°C, followed by operating according to SP Kit(Rabbit) (sp-0023) instructionsand DAB staining.
版权所有 2004-2026 www.bioss.com.cn 北京博奥森生物技术有限公司
通过国际质量管理体系ISO 9001:2015 GB/T 19001-2016    证书编号: 00124Q34771R2M/1100
通过国际医疗器械-质量管理体系ISO 13485:2016 GB/T 42061-2022     证书编号: CQC24QY20047R0M/1100
京ICP备05066980号-1         京公网安备110107000727号