扫码关注公众号           扫码咨询技术支持           扫码咨询技术服务
  
客服热线:400-901-9800  客服QQ:4009019800  技术答疑  技术支持  质量反馈  关于我们  联系我们
产品中心-北京博奥森生物技术有限公司
首页 > 产品中心 > 一抗 > 产品信息
TRIM68 Rabbit pAb (bs-17123R)  
订购热线:400-901-9800
订购邮箱:sales@bioss.com.cn
订购QQ:  400-901-9800
技术支持:techsupport@bioss.com.cn
50ul/1180.00元
100ul/1980.00元
200ul/2800.00元
大包装/询价

产品编号 bs-17123R
英文名称 TRIM68 Rabbit pAb
中文名称 TRIM68蛋白抗体
别    名 GC109; RNF137; SS-56; SS56; F730114J12Rik; TRI68_HUMAN; TRIM68; RING finger protein 137; RING-type E3 ubiquitin transferase TRIM68; SSA protein SS-56 (SS-56); Tripartite motif-containing protein 68; 2.3.2.27; TRI68_MOUSE;   
Specific References  (1)     |     bs-17123R has been referenced in 1 publications.
[IF=4.848] Jie Jiang. et al. TRIM68, PIKFYVE, and DYNLL2: The Possible Novel Autophagy- and Immunity-Associated Gene Biomarkers for Osteosarcoma Prognosis. Front Oncol. 2021; 11: 643104  IHC ;  Human.  
研究领域 细胞生物  免疫学  
抗体来源 Rabbit
克隆类型 Polyclonal
克 隆 号
交叉反应 Human,Rat (predicted: Mouse,Pig,Sheep,Cow,Horse)
产品应用 WB=1:500-2000,IHC-P=1:100-500,IHC-F=1:100-500,IF=1:100-500
not yet tested in other applications.
optimal dilutions/concentrations should be determined by the end user.
理论分子量 56 kDa
细胞定位 细胞浆 
性    状 Liquid
浓    度 1mg/ml
免 疫 原 KLH conjugated synthetic peptide derived from human TRIM68: 201-300/485 
亚    型 IgG
纯化方法 affinity purified by Protein A
缓 冲 液 0.01M TBS (pH7.4) with 1% BSA, 0.02% Proclin300 and 50% Glycerol.
保存条件 Shipped at 4℃. Store at -20℃ for one year. Avoid repeated freeze/thaw cycles.
注意事项 This product as supplied is intended for research use only, not for use in human, therapeutic or diagnostic applications.
PubMed PubMed
产品介绍 This gene encodes a protein which contains a RING finger domain, a motif present in a variety of functionally distinct proteins and known to be involved in protein-protein and protein-DNA interactions. This gene is expressed in many cancer cell lines. Its expression in normal tissues, however, was found to be restricted to prostate. This gene was also found to be differentially expressed in androgen-dependent versus androgen-independent prostate cancer cells. [provided by RefSeq, Oct 2011]

Function:
Functions as an ubiquitin E3 ligase. Acts as a coactivator of androgen receptor (AR) depending on its ubiquitin ligase activity.

Subunit:
Interacts with AR/androgen receptor (via ligand-binding domain). Interacts with KAT5/TIP60.

Subcellular Location:
Cytoplasm > perinuclear region. Nucleus. Colocalized with AR in nucleus.

Tissue Specificity:
Widely expressed. Expressed at high levels in prostate cancer cell lines. Up-regulation could be restricted to androgen-dependent cells.

Post-translational modifications:
Auto-ubiquitinated.

Similarity:
Belongs to the TRIM/RBCC family.
Contains 1 B box-type zinc finger.
Contains 1 B30.2/SPRY domain.
Contains 1 RING-type zinc finger.

SWISS:
Q6AZZ1

Gene ID:
55128

Database links:

Entrez Gene: 55128 Human

Entrez Gene: 101700 Mouse

Omim: 613184 Human

SwissProt: Q6AZZ1 Human

SwissProt: Q8K243 Mouse

Unigene: 523438 Human

Unigene: 738828 Human

Unigene: 39043 Mouse



产品图片
Sample: HepG2(Human) Cell Lysate at 40 ug Primary: Anti-TRIM68 (bs-17123R) at 1/300 dilution Secondary: IRDye800CW Goat Anti-Rabbit IgG at 1/20000 dilution Predicted band size: 56 kD Observed band size: 56 kD
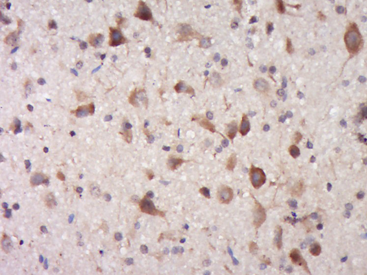
Paraformaldehyde-fixed, paraffin embedded (Rat brain); Antigen retrieval by boiling in sodium citrate buffer (pH6.0) for 15min; Block endogenous peroxidase by 3% hydrogen peroxide for 20 minutes; Blocking buffer (normal goat serum) at 37°C for 30min; Antibody incubation with (TRIM68) Polyclonal Antibody, Unconjugated (bs-17123R) at 1:400 overnight at 4°C, followed by operating according to SP Kit(Rabbit) (sp-0023) instructionsand DAB staining.
版权所有 2004-2026 www.bioss.com.cn 北京博奥森生物技术有限公司
通过国际质量管理体系ISO 9001:2015 GB/T 19001-2016    证书编号: 00124Q34771R2M/1100
通过国际医疗器械-质量管理体系ISO 13485:2016 GB/T 42061-2022     证书编号: CQC24QY20047R0M/1100
京ICP备05066980号-1         京公网安备110107000727号