扫码关注公众号           扫码咨询技术支持           扫码咨询技术服务
  
客服热线:400-901-9800  客服QQ:4009019800  技术答疑  技术支持  质量反馈  关于我们  联系我们
产品中心-北京博奥森生物技术有限公司
首页 > 产品中心 > 一抗 > 产品信息
TRIM62 Rabbit pAb (bs-17118R)  
订购热线:400-901-9800
订购邮箱:sales@bioss.com.cn
订购QQ:  400-901-9800
技术支持:techsupport@bioss.com.cn
50ul/1180.00元
100ul/1980.00元
200ul/2800.00元
大包装/询价

产品编号 bs-17118R
英文名称 TRIM62 Rabbit pAb
中文名称 TRIM62蛋白抗体
别    名 DEAR1; 6330414G21Rik; TRI62_HUMAN; TRIM62; Tripartite motif-containing protein 62; 2.3.2.27; TRI62_MOUSE;   
Specific References  (1)     |     bs-17118R has been referenced in 1 publications.
[IF=5.646] Zheng S et al. TRIM6 promotes colorectal cancer cells proliferation and response to thiostrepton by TIS21/FoxM1. J Exp Clin Cancer Res. 2020 Jan 28;39(1):23.  IHC-P, Co-IP&ICF ;  Human.  
研究领域 细胞生物  免疫学  
抗体来源 Rabbit
克隆类型 Polyclonal
克 隆 号
交叉反应 Mouse (predicted: Human,Rat,Rabbit,Sheep,Cow,Dog)
产品应用 WB=1:500-2000,IHC-P=1:100-500,IHC-F=1:100-500,IF=1:100-500
not yet tested in other applications.
optimal dilutions/concentrations should be determined by the end user.
理论分子量 54 kDa
细胞定位 细胞浆 
性    状 Liquid
浓    度 1mg/ml
免 疫 原 KLH conjugated synthetic peptide derived from human TRIM62: 101-200/475 
亚    型 IgG
纯化方法 affinity purified by Protein A
缓 冲 液 0.01M TBS (pH7.4) with 1% BSA, 0.02% Proclin300 and 50% Glycerol.
保存条件 Shipped at 4℃. Store at -20℃ for one year. Avoid repeated freeze/thaw cycles.
注意事项 This product as supplied is intended for research use only, not for use in human, therapeutic or diagnostic applications.
PubMed PubMed
产品介绍 The tripartite motif (TRIM) family of proteins are characterized by a conserved TRIM domain that includes a coiled-coil region, a B-box type zinc finger, one RING finger and three zinc-binding domains. TRIM58 (tripartite motif containing 58), also known as BIA2, is a 486 amino acid protein that belongs to the TRIM/RBCC family and contains one B box-type zinc finger, a RING-type zinc finger and a single B30.2/SPRY domain. The gene encoding TRIM58 maps to human chromosome 1, which spans 260 million base pairs, contains over 3,000 genes, comprises nearly 8% of the human genome and houses a large number of disease-associated genes, including those that are involved in familial adenomatous polyposis, Stickler syndrome, Parkinson’s disease, Gaucher disease, schizophrenia and Usher syndrome.

Similarity:
Belongs to the TRIM/RBCC family.
Contains 1 B box-type zinc finger.
Contains 1 B30.2/SPRY domain.
Contains 1 RING-type zinc finger.

SWISS:
Q9BVG3

Gene ID:
55223

Database links:

Entrez Gene: 55223 Human

Entrez Gene: 67525 Mouse

Entrez Gene: 313045 Rat

SwissProt: Q9BVG3 Human

SwissProt: Q80V85 Mouse

Unigene: 656006 Human

Unigene: 30653 Mouse



产品图片
Sample: brain (Mouse) Lysate at 40 ug Primary: Anti-TRIM62(bs-17118R) at 1/300 dilution Secondary: IRDye800CW Goat Anti-Rabbit IgG at 1/20000 dilution Predicted band size: 54 kD Observed band size: 50 kD
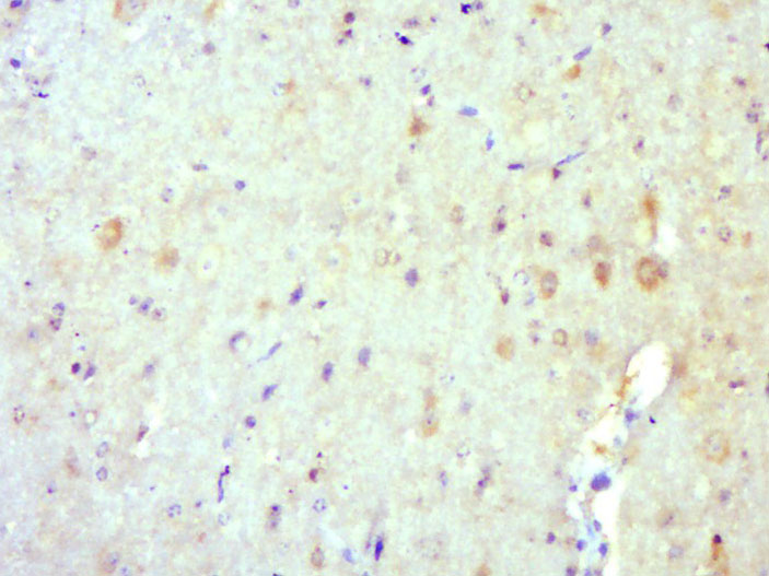
Paraformaldehyde-fixed, paraffin embedded (Mouse brain); Antigen retrieval by boiling in sodium citrate buffer (pH6.0) for 15min; Block endogenous peroxidase by 3% hydrogen peroxide for 20 minutes; Blocking buffer (normal goat serum) at 37°C for 30min; Antibody incubation with (TRIM62) Polyclonal Antibody, Unconjugated (bs-17118R) at 1:500 overnight at 4°C, followed by a conjugated secondary (sp-0023) for 20 minutes and DAB staining.
版权所有 2004-2026 www.bioss.com.cn 北京博奥森生物技术有限公司
通过国际质量管理体系ISO 9001:2015 GB/T 19001-2016    证书编号: 00124Q34771R2M/1100
通过国际医疗器械-质量管理体系ISO 13485:2016 GB/T 42061-2022     证书编号: CQC24QY20047R0M/1100
京ICP备05066980号-1         京公网安备110107000727号