扫码关注公众号           扫码咨询技术支持           扫码咨询技术服务
  
客服热线:400-901-9800  客服QQ:4009019800  技术答疑  技术支持  质量反馈  关于我们  联系我们
产品中心-北京博奥森生物技术有限公司
首页 > 产品中心 > 一抗 > 产品信息
LARP4B/LARP5 Rabbit pAb (bs-17104R)  
订购热线:400-901-9800
订购邮箱:sales@bioss.com.cn
订购QQ:  400-901-9800
技术支持:techsupport@bioss.com.cn
50ul/1180.00元
100ul/1980.00元
200ul/2800.00元
大包装/询价

产品编号 bs-17104R
英文名称 LARP4B/LARP5 Rabbit pAb
中文名称 LARP4B蛋白抗体
别    名 A630096F19; AI256361; D13Wsu64e; KIAA0217; La ribonucleoprotein domain family member 4B; La ribonucleoprotein domain family member 5; La-related protein 4B; La-related protein 5; LAR4B_HUMAN; Larp4b; LARP5; MGC78318.  
研究领域 细胞生物  表观遗传学  
抗体来源 Rabbit
克隆类型 Polyclonal
克 隆 号
交叉反应 Human,Mouse (predicted: Rat)
产品应用 WB=1:500-2000,IHC-P=1:100-500,IHC-F=1:100-500,IF=1:100-500
not yet tested in other applications.
optimal dilutions/concentrations should be determined by the end user.
理论分子量 81 kDa
检测分子量
细胞定位 细胞浆 
性    状 Liquid
浓    度 1mg/ml
免 疫 原 KLH conjugated synthetic peptide derived from human LARP4B/LARP5: 401-500/738 
亚    型 IgG
纯化方法 affinity purified by Protein A
缓 冲 液 0.01M TBS (pH7.4) with 1% BSA, 0.02% Proclin300 and 50% Glycerol.
保存条件 Shipped at 4℃. Store at -20℃ for one year. Avoid repeated freeze/thaw cycles.
注意事项 This product as supplied is intended for research use only, not for use in human, therapeutic or diagnostic applications.
PubMed PubMed
产品介绍 This gene encodes a member of an evolutionarily conserved protein family implicated in RNA metabolism and translation. Members of this family are characterized by the presence of an La motif, which is often located adjacent to one or more RNA recognition motifs (RRM). Together, the two motifs constitute the functional region of the protein and enable its interaction with the RNA substrate. This protein family is divided into five sub-families: the genuine La proteins and four La-related protein (LARP) sub-families. The protein encoded by this gene belongs to LARP sub-family 4. It is a cytoplasmic protein that may play a stimulatory role in translation. [provided by RefSeq, Oct 2012]

Function:
Stimulates mRNA translation.

Subunit:
Interacts with PABPC1 and GNB2L1. Associates with polysomes via the 40S ribosomal subunit.

Subcellular Location:
Cytoplasm, cytosol

Similarity:
Contains 1 HTH La-type RNA-binding domain.
Contains 1 RRM (RNA recognition motif) domain.

SWISS:
Q92615

Gene ID:
23185

Database links:

Entrez Gene: 23185 Human

SwissProt: Q92615 Human

Unigene: 631814 Human



产品图片
Sample: 293T(Human) Cell Lysate at 30 ug Primary: Anti-LARP5 (bs-17104R) at 1/300 dilution Secondary: IRDye800CW Goat Anti-Rabbit IgG at 1/20000 dilution Predicted band size: 81 kD Observed band size: 81 kD
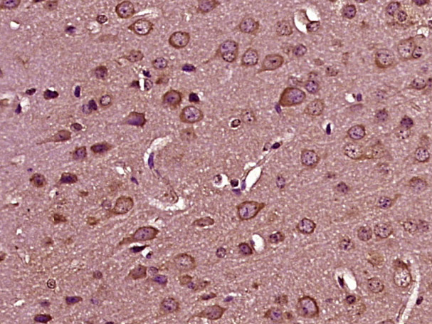
Paraformaldehyde-fixed, paraffin embedded (mouse brain tissue); Antigen retrieval by boiling in sodium citrate buffer (pH6.0) for 15min; Block endogenous peroxidase by 3% hydrogen peroxide for 20 minutes; Blocking buffer (normal goat serum) at 37°C for 30min; Antibody incubation with (LARP4B) Polyclonal Antibody, Unconjugated (bs-17104R) at 1:400 overnight at 4°C, followed by operating according to SP Kit(Rabbit) (sp-0023) instructionsand DAB staining.
版权所有 2004-2026 www.bioss.com.cn 北京博奥森生物技术有限公司
通过国际质量管理体系ISO 9001:2015 GB/T 19001-2016    证书编号: 00124Q34771R2M/1100
通过国际医疗器械-质量管理体系ISO 13485:2016 GB/T 42061-2022     证书编号: CQC24QY20047R0M/1100
京ICP备05066980号-1         京公网安备110107000727号