扫码关注公众号           扫码咨询技术支持           扫码咨询技术服务
  
客服热线:400-901-9800  客服QQ:4009019800  技术答疑  技术支持  质量反馈  关于我们  联系我们
产品中心-北京博奥森生物技术有限公司
首页 > 产品中心 > 一抗 > 产品信息
KIFAP3 Rabbit pAb (bs-17059R)  
订购热线:400-901-9800
订购邮箱:sales@bioss.com.cn
订购QQ:  400-901-9800
技术支持:techsupport@bioss.com.cn
50ul/1180.00元
100ul/1980.00元
200ul/2800.00元
大包装/询价

产品编号 bs-17059R
英文名称 KIFAP3 Rabbit pAb
中文名称 驱动蛋白相关蛋白3抗体
别    名 FLJ22818; KAP 3; KAP-3; KAP3; KIF3AP; KIFA3_HUMAN; Kifap3; Kinesin associated protein 3; Kinesin-associated protein 3; SMAP; Smg GDS; Smg GDS associated protein; Smg GDS-associated protein.  
研究领域 细胞生物  染色质和核信号  信号转导  
抗体来源 Rabbit
克隆类型 Polyclonal
克 隆 号
交叉反应 Mouse,Rat (predicted: Human,Rabbit,Pig,Sheep,Cow,Chicken,Dog)
产品应用 IHC-P=1:100-500,IHC-F=1:100-500,IF=1:100-500
not yet tested in other applications.
optimal dilutions/concentrations should be determined by the end user.
理论分子量 91 kDa
检测分子量
细胞定位 细胞浆 
性    状 Liquid
浓    度 1mg/ml
免 疫 原 KLH conjugated synthetic peptide derived from human KIFAP3: 431-530/792 
亚    型 IgG
纯化方法 affinity purified by Protein A
缓 冲 液 0.01M TBS (pH7.4) with 1% BSA, 0.02% Proclin300 and 50% Glycerol.
保存条件 Shipped at 4℃. Store at -20℃ for one year. Avoid repeated freeze/thaw cycles.
注意事项 This product as supplied is intended for research use only, not for use in human, therapeutic or diagnostic applications.
PubMed PubMed
产品介绍 The small G protein GDP dissociation stimulator (smg GDS) is a regulator protein having two activities on a group of small G proteins including the Rho and Rap1 family members and Ki-Ras; one is to stimulate their GDP/GTP exchange reactions, and the other is to inhibit their interactions with membranes. The protein encoded by this gene contains 9 'Armadillo' repeats and interacts with the smg GDS protein through these repeats. This protein, which is highly concentrated around the endoplasmic reticulum, is phosphorylated by v-src, and this phosphorylation reduces the affinity of the protein for smg GDS. It is thought that this protein serves as a linker between human chromosome-associated polypeptide (HCAP) and KIF3A/B, a kinesin superfamily protein in the nucleus, and that it plays a role in the interaction of chromosomes with an ATPase motor protein. Several transcript variants encoding different isoforms have been found for this gene. [provided by RefSeq, Mar 2011]

Function:
Involved in tethering the chromosomes to the spindle pole and in chromosome movement. Binds to the tail domain of the KIF3A/KIF3B heterodimer to form a heterotrimeric KIF3 complex and may regulate the membrane binding of this complex.

Subunit:
Heterotrimer of KIFAP3, KIF3A and KIF3B. Interacts with RAP1GDS1/SMG GDS. Interacts with SMC3 subunit of the cohesion complex.

Post-translational modifications:
Phosphorylated on tyrosine residues by SRC in vitro; this reduces the binding affinity of the protein for RAP1GDS1.

Similarity:
Contains 5 ARM repeats.

SWISS:
Q92845

Gene ID:
22920

Database links:

Entrez Gene: 22920 Human

Entrez Gene: 16579 Mouse

Entrez Gene: 289168 Rat

Omim: 601836 Human

SwissProt: Q92845 Human

SwissProt: P70188 Mouse

SwissProt: D3ZK15 Rat

SwissProt: D3ZWA5 Rat

SwissProt: D4A603 Rat

Unigene: 433442 Human

Unigene: 4651 Mouse

Unigene: 163223 Rat



产品图片
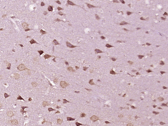
Paraformaldehyde-fixed, paraffin embedded (mouse brain tissue); Antigen retrieval by boiling in sodium citrate buffer (pH6.0) for 15min; Block endogenous peroxidase by 3% hydrogen peroxide for 20 minutes; Blocking buffer (normal goat serum) at 37°C for 30min; Antibody incubation with (KIFAP3) Polyclonal Antibody, Unconjugated (bs-17059R) at 1:400 overnight at 4°C, followed by operating according to SP Kit(Rabbit) (sp-0023) instructionsand DAB staining.
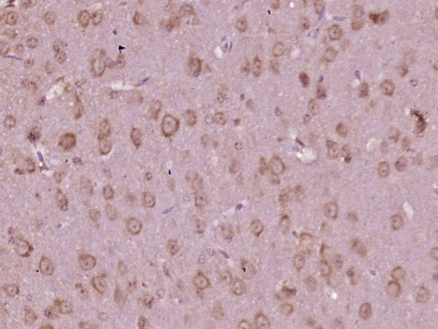
Paraformaldehyde-fixed, paraffin embedded (rat brain tissue); Antigen retrieval by boiling in sodium citrate buffer (pH6.0) for 15min; Block endogenous peroxidase by 3% hydrogen peroxide for 20 minutes; Blocking buffer (normal goat serum) at 37°C for 30min; Antibody incubation with (KIFAP3) Polyclonal Antibody, Unconjugated (bs-17059R) at 1:400 overnight at 4°C, followed by operating according to SP Kit(Rabbit) (sp-0023) instructionsand DAB staining.
版权所有 2004-2026 www.bioss.com.cn 北京博奥森生物技术有限公司
通过国际质量管理体系ISO 9001:2015 GB/T 19001-2016    证书编号: 00124Q34771R2M/1100
通过国际医疗器械-质量管理体系ISO 13485:2016 GB/T 42061-2022     证书编号: CQC24QY20047R0M/1100
京ICP备05066980号-1         京公网安备110107000727号